Опис
Фронтит – захворювання, що характеризується запаленням слизової оболонки лобової пазухи.
Дане захворювання зустрічається серед людей різного віку, однак, згідно зі статистикою, у дітей фронтит діагностується дещо рідше. Також варто відзначити, що фронтит з однаковою частотою зустрічається як серед чоловіків, так і серед жінок.
https://www.youtube.com/watch?v=BQLf2zVZjlw
Запалення слизової оболонки лобних пазух відбувається під впливом інфекційного агента, в ролі якого, як правило, виступають патогенні мікроорганізми або віруси. Виділяють фактори, що сприяють розвитку фронтиту:
- переохолодження організму;
- гіпо – або авітамінози, що виникають, як правило, внаслідок одноманітного або недостатнього харчування;
- викривлення носової перегородки, яке може бути вродженим або набутим;
- різні травми носа;
- гіпертрофія мигдалин;
- наявність в організмі вогнищ хронічної інфекції.
Найчастіше з цією проблемою зіштовхуються люди, часто страждають ГРВІ. Як відомо, лобові пазухи за допомогою лобово-носового каналу з’єднуються з порожниною носа. Під час застуди спостерігається запалення слизової оболонки носової порожнини, яке супроводжується її набряком.
В результаті цього відбувається перекриття лобово-носового каналу, що тягне за собою порушення відтоку вмісту лобних пазух. Це призводить до застою вмісту лобових пазух, що є сприятливими умовами для росту і розвитку патогенних мікроорганізмів.
Виділяють такі форми захворювання:
- гострий фронтит, який в свою чергу поділяється на катаральний і гнійний (симптоми захворювання турбують не більше 4х тижнів);
- підгострий фронтит (тривалість захворювання становить від 4 тижнів до 3 місяців);
- хронічний фронтит (симптоми захворювання зберігаються понад 3х місяців).
Залежно від площі ураження виділяють односторонній (лівобічний або правосторонній) і двосторонній фронтит.

Прогноз захворювання сприятливий при своєчасному зверненні до лікаря. Також необхідно ретельно дотримуватися всі рекомендації спеціаліста, оскільки порушення режиму лікування загрожує розвитком ускладнень.
До найбільш небезпечних ускладнень відносять: поширення процесу на органи слуху і зору, що загрожує розвитком глухоти і сліпоти, ураження головного мозку, розвиток сепсису. Саме тому ні в якому разі не слід займатися самолікуванням, необхідно без уповільнень звернутися за допомогою в медичний заклад.
Як лікувати гострий фронтит
Гостре запалення слизової оболонки порожнин, розташованих в лобової кістки, отримало код за МКХ 10 «J01.1» і назву «Гострий фронтальний синусит». Парні синуси, заповнені повітрям, розташовані між бровами, трохи вище перенісся.
Симптоми гострого фронтиту:
- слабкість, нездужання;
- підвищення температури тіла;
- утруднення носового дихання;
- постійні головні болі або при нахилах вперед;
- почервоніння і набряк верхніх повік, перенісся;
- виділення гнійного вмісту з носа;
- порушення сприйняття запахів.
Блокування вмісту в синусі з-за сильного набряку слизової в просвіті лобово-носового каналу призводить до виникнення сильного болю в голові.
Дискомфорт посилюється після сну, при зміні положення голови, дотику до шкіри в області лобової кістки. Спостерігається почервоніння ока і сльозотеча з ураженої сторони. Періодично з’являються виділення з носових ходів.
Гострий фронтит (фронтальний синусит) – запальний процес у тканинах слизової оболонки лобової пазухи. Діагностують патологію не так часто, як гайморит, але вона має більш серйозні ускладнення. Виникає на фоні вірусних, бактеріальних або грибкових інфекційних уражень органів дихання, переохолодження.
Основні причини фронтального синуситу:
- неправильне положення перегородки вроджене або набуте внаслідок травм;
- збільшення розмірів носових раковин на тлі хронічного алергічного та медикаментозного риніту;
- новоутворення і поліпи.
На відміну від гайморової, лобова пазуха з’єднується з носовою порожниною не соустьем, а вузьким каналом довжиною 2,5 — 3 див Це створює передумови для утруднення відтоку вмісту з пазухи внаслідок набряку стінок каналу або закупорки його гнійним виділенням.
Основний метод лікування у дорослих – застосування антибактеріальних засобів у вигляді таблеток, спреїв. Головне показання для початку антибактеріальної терапії – виділення гнійного характеру. Тривалість антибактеріальної терапії – 10-14 діб.
Ефективні антибактеріальні засоби:
- на початковому етапі запалення допомагають спреї і краплі з антибактеріальними властивостями – Изофра, Биопарокс;
- при гострій формі призначають антибактеріальні препарати широкого спектру дії – Сумамед;
- при хронічній формі обов’язково роблять аналіз на чутливість патогенної мікрофлори до антибіотиків, застосовують такі препарати, як Амоксиклав, Ампіцилін.
Крім антибіотиків, в комплексну терапію включають антигістамінні лікарські засоби для зменшення набряклості – Діазолін, Супрастин. При закінченні густого слизу гнійного характеру призначають АЦЦ-лонг, додатково використовують знеболюючі та жарознижувальні лікарські засоби.

Додатково в схему лікування включають методи фізіотерапії – СВЧ, УВЧ, прогрівання синьою лампою, світлолікування. Всі ці засоби ефективні лише при легких формах патології, коли в слизу немає домішок гною. В іншому випадку будь-які методи прогрівання заборонені.
«Зозуля» – найбільш популярна і ефективна процедура для лікування різних запальних процесів органів дихання. Для промивання застосовують розчин фурациліну, інших лікарських препаратів. Така процедура добре допомагає очистити носові пазухи.
Лікування в стаціонарі необхідно при важких формах патології, у цьому разі препарати вводять ін’єкційним способом. Хірургічне втручання – трепанопункция лобової пазухи показана при відсутності позитивної динаміки після медикаментозної терапії – біль посилюється, температура постійно підвищена.
При лікуванні в домашніх умовах потрібно пам’ятати, що будь-які види прогрівання протипоказані при гнійному виді патології. Будь-які методи нетрадиційної терапії необхідно обговорити з лікарем.
Для якнайшвидшого усунення запалення потрібно часто промивати носові проходи розчином звичайної або морської солі – в 200 мл води розчинити 5 г солі, додати 1 г соди і 3 краплі олії чайного дерева.
Для інгаляцій можна використовувати гарячий картопляний відвар. Або приготувати розчин для інгаляцій з 1, 5 л окропу і 10 лаврових листків – парами потрібно дихати не менше чверті години.
Сік чорної редьки має сильну антибактеріальну властивість. Необхідно натерти свіжий овоч, віджати сік, закапувати по 1-2 краплі у кожен носовий прохід тричі на добу.
Щоб поліпшити відтік слизу з ранку, перед сном потрібно вставити в ніс на півгодини турунди з лікувальною маззю. Змішати з 30 г рідкого меду, свіжого соку алое, цибулі і цикламена, мазі Вишневського. Повторювати процедуру потрібно щодня протягом 10-14 днів.
Гострий фронтит — швидко розвивається патологія в лобовій порожнини, яка має ряд проявів:
- різкий занепад сил;
- підвищений рівень показників термометра до 39-40 градусів за Цельсієм;
- мегренозная біль в області чола, яка зростає при поворотах голови;
- відсутність носового дихання;
- відділення продуктів гнійного запального процесу;
- бленорея;
- підвищена чутливість очей до світла;
- почервоніння очей;
- подпухлость століття;
- знижений сприйняття запахів;
- підвищення запальних показників у клінічному аналізі крові.
Фронтит (симптоми і лікування у дорослих людей можуть бути різними) усувається за допомогою проведення певних заходів, які зможуть допомогти погасити сильний, різко почався патологічний процес в організмі:
- послабити гострий патологічний запалення в порожнині чола;
- послабити прояви набряку в носі;
- відновити рух рідини в носових каналах;
- провести антибактеріальну терапію;
- необхідно застосувати фізіотерапевтичні процедури;
- загальнозміцнююча терапія вітамінами і імуностимуляторами.
Гострий фронтальний двосторонній синусит
Гострий фронтит визначається важким клінічним перебігом. Тому особливо небезпечний в дитячому віці. Спровокувати появу хвороби можуть різні процеси і різке зниження імунного статусу.
— лівобічний — така форма хвороби характеризується переважним ураженням лівої сторони лобової пазухи. Людина відчуває неприємні симптоми, відзначаються сильні головні болі, порушення дихальної функції, висока температура і загальне нездужання.
В залежності від факторів розвитку гострого фронтиту в лівій частині, він може бути ексудативним або продуктивним. У першому випадку утворюються гнійне або катаральне вміст. При другому типі нерідко формуються кистообразные ущільнення або відбуваються пристеночно-гиперпластичные процеси.
— правобічний — виражається ураженням правої частини лобової пазухи носа. Такий гострий фронтит має схожі ознаки з лівостороннім. Пацієнт, як правило, відчуває яскраві симптоми, у нього знижується працездатність і з’являються проблеми з носовим диханням.
При відсутності терапевтичного впливу, захворювання може прогресувати і поширюватися на обидві сторони. Тому при виникненні початкової клініки патології, слід негайно відвідати лікаря.

— двосторонній — найбільш важка форма гострого фронтиту, оскільки уражаються одразу дві частини лобових пазух. В такому випадку спостерігаються найбільш яскраві симптоми, людина відчуває значні проблеми з диханням, відзначаються головні болі пульсуючого характеру, що локалізуються на надбрівними дугами.
Особливо небезпечна така форма для маленьких дітей, оскільки високий ризик смертельного результату при запущених станах. Якщо гострий фронтит знаходиться на початковій стадії розвитку, прогноз більш сприятливий. Лікування формується в залежності від причини, віку пацієнта та інших особливостей.
Завдяки тому, що гострий фронтит визначається вираженою клінічною картиною, його вдається виявити своєчасно. Основною ознакою патологічного процесу вважається біль, що локалізується в області чола, пацієнт скаржиться на часті головні болі, які значно зростають при нахилах голови вперед.
Болі, залежно від тяжкості патології та фактор розвитку, можуть бути пульсуючими, сильними або середньо вираженими.
При нахилах голови вперед гострий фронтит проявляється максимально
Іншими, не менш значимими симптомами гострого фронтиту, є:
- Підвищення температури тіла.
- Утруднення дихання.
- Почервоніння і сльозоточивість очей.
- Запалення верхнього століття.
- Виражена набряклість обличчя, локалізоване переважно з одного боку.
- Сильні і рясні носові виділення, нерідко гнійного походження.
- Інтоксикація організму, що характеризується слабкістю, нездужанням, запамороченням.
Незалежно від того, що захворювання характеризується вираженими ознаками, встановити точний діагноз може тільки медичний спеціаліст. Тому самостійно припустити на підставі симптомів хворобу не можна, як і починати лікування.
З допомогою повноцінної діагностики, огляду пацієнта, лікар встановлює етіологію хвороби і розраховує грамотний терапевтичний підхід.
В якості дослідження гострого фронтиту, використовують такі процедури:
- Аналіз крові — допомагає підтвердити наявність патологічного процесу на підставі зміни складу крові.
- Ендоскопія — визначається застосуванням спеціального приладу-ендоскопа з камерою. Його вводять в носові ходячи для повної оцінки стану і виявлення поліпів або інших утворень.
- Ультразвукове дослідження — також необхідно для діагностики фронтиту, дана маніпуляція допомагає встановити поширення і вогнища ураження, виявити локалізацію хвороби і наявність кистообразных новоутворень.
- Риноскопія — пацієнту у носовий прохід вводять спеціальний прилад, завдяки якому вдається оцінити стан перегородки та слизової поверхні.
- Термографія — заснована на застосуванні високих температур. Процедура дають чіткі результати і допомагає розпізнати межі гострого фронтиту.
- Рентген дослідження ППН — необхідно для виявлення хвороби і ексудату в носових пазухах. Для цього роблять знімки всіх ділянок, щоб правильно поставити діагноз і визначитися з подальшим лікуванням.
Правобічний фронтит. На знімку рентгена видно рівень рідини в лобовій пазусі
Симптоми
Фронтит (симптоми і лікування у дорослих описані в багатьох медичних довідниках) має наступні прояви:
- Больові відчуття в лобової частини голови після сну.
- Закладеність носа.
- Гнильні виділення з носових отворів.
- В’язка рідина в ранкові години, після сну в носоглотці.
- Біль у надбрівних дугах, які не знімає прийом НПЗЗ.
- Лихоманка.
- Опухле верхню повіку з однієї або двох сторін.
- Почервоніння очей або одного ока (все залежить від локалізації запалення).
Будь-які тривалі запальні патології викликають негативний вплив на всі системи і органи в тілі людини.

До проявів хронічного процесу в лобовій пазусі відносяться:
- періодичний жар з підвищенням температури тіла;
- озноб;
- мігренозна біль;
- занепад сил;
- знемога;
- млявість;
- неможливість дихати носом;
- відчуття прострілів з боку ураженої пазухи;
- гнійні витікання з носових отворів;
- або навпаки – пересушена слизова носа.
Для лікування хронічно протікає патології лобних пазух доведеться запастися терпінням. Хвороба довгий час руйнувала організм, зокрема – носові порожнини, нервові закінчення на обличчі, відбулася загальна інтоксикація всього тіла.
Тому слід в першу чергу:
- відновити відтік секреторної слизу з порожнини чола;
- позбутися від гною в носовій порожнині;
- допомогти імунним процесів у боротьбі з хворобою.
Фронтит має низку характерних ознак, що значно полегшує діагностику. Ознаки гострої форми патології:
- біль в лобовій частині, яка стає більш інтенсивним при нахилах корпусу вперед, натисканні на надбрівні дуги;
- утруднене дихання носом, часто воно повністю відсутнє;
- погіршення нюху;
- рясні виділення гнійного або слизового характеру;
- збільшення сльозотечі;
- набряклість, почервоніння шкірних покривів у верхній частині обличчя.
Гостре запалення перетікає в хронічну форму через 1-2 місяці після початку запалення. Основна причина – неправильна або несвоєчасна медикаментозна терапія. Хронічний фронтит проявляється в більш слабкій формі – біль носить ниючий і гнітючий характер, у ранкові години з’являється багато мокроти з гноєм.
Ослаблення симптомів при хронічній формі не свідчить про початок процесу одужання. Саме така форма патології тягне за собою розвиток ускладнень і супутніх захворювань.
Без належної терапії інфекція поширюється на прилеглі тканини, лобову кістку, сітківку очей. Найбільш важкі ускладнення запалення у дорослих – остеомієліт лобової кістки, сепсис, менінгіт.
Гостра форма фронтиту у дорослих людей в основному виникає на тлі недолікованої застуди. Проявляється такими симптомами, як:
- Інтенсивні болі, що локалізуються навколо очей, в області перенісся і чола. При постукуванні або натисканні на лоб болючість помітно посилюється.
- Відчуття наростаючої розпирання в переніссі. Цей симптом, як правило, посилюється до вечора і при нахилах голови.
- Утруднене дихання.
- Виділення слизу з носових ходів.
- Нічний кашель. Виникає з-за того, що в горизонтальному положенні слиз починає стікати по задній стінці горла та подразнює рецептори слизового шару.
- Світлобоязнь і сльозотеча.
- Підвищення температури тіла до 38-39ºс С.
- Набряклість в області чола і під очима.
Гострий фронтит завжди протікає з симптомами інтоксикації. У хворого з’являється сильна слабкість, різко знижується працездатність, відсутній апетит.
Хронічна форма фронтиту виникає з причини недостатнього або неправильного лікування гострої форми. Якщо симптоми запалення повністю не проходять більше місяця, то можна сказати, що гостре запалення перейшов у хронічний.
Крім нежиті, на хронічний фронтит вказують наступні ознаки:
- Зниження нюху.
- Виражена припухлість області над бровами і століттями (особливо помітно вранці).
- Періодично з’являється кон’юнктивіт.
- Відкашлювання в’язкого мокротиння з запахом вранці.
- Постійне відчуття млявості, втоми.
- Періодичне підвищення температури тіла до 37,5 º С.
- Сильний кашель, що посилюється в горизонтальному положенні.
Клінічна картина залежить від ступеня тяжкості захворювання. При легких формах спостерігаються переважно місцеві прояви, поєднуються з ознаками вірусного риніту: погіршення носового дихання і нюху, помірною болем в надбрівної області, наявністю виділень з носа слизового або гнійного характеру. Деякі хворі скаржаться на дискомфорт або різь в медіальному куті ока. В залежності від того, яка саме пазуха залучена в патологічний процес, сильніше виражені симптоми з правої, лівої або рівномірно з двох сторін. Інтоксикаційний синдром зазвичай відсутня. Клініка зберігається до 5 діб, після чого зникає одночасно з симптомами ГРВІ або ж зберігається, що свідчить про приєднання бактеріальної флори.
Середньоважкий фронтит характеризується локальної вираженим болем розпираючого, пульсуючого характеру в правої або лівої надбрівної області. Больовий синдром посилюється при русі очних яблук, нахилі голови вперед або назад. Якщо пацієнт вважає за краще спати на спині, різке загострення болю спостерігається вранці, що пов’язано зі скупченням патологічних мас. Нерідко біль іррадіює в скронево-тім’яній ділянку, супроводжується відчуттям тиску «за очі». Виявляється загальний інтоксикаційний синдром, який проявляється підвищенням температури тіла до 38,0-39,0° С, слабкістю, нездужанням, підвищеною стомлюваністю, втратою апетиту і порушенням сну. Важка форма відрізняється сильною, іноді нестерпним болем, вираженої системної інтоксикацією, реактивним набряком повік, почервонінням і набряком шкіри в зоні проекції лобової пазухи, одутловатостью обличчя. У хворих частіше зустрічається фотофобія, сльозотеча, погіршення зору.
При хронічній формі в стадії ремісії симптоми захворювання відсутні або представлені виділенням малого обсягу патологічних мас з носа з боку ураженої пазухи і малоинтенсивной періодичної розлитий головний біль без чіткої локалізації. Ранньою ознакою загострення вважається відчуття «припливу» або «спека» в лобі. Потім виникає постійний больовий синдром з епіцентром над ураженим синусом тупого, сдавливающего характеру. Біль може посилюватися в кінці робочого дня, після тривалого нахилу голови, фізичного навантаження, іноді доповнюється відчуттям пульсації. Інтоксикаційний синдром при загостреннях має слабовиражений характер.
При важкому процесі для діагностики використовують комп’ютерну томографію, завдяки якій лікар досконально оглядає все пазухи і визначає причини.
Лікувальні процедури у дорослих людей майже не відрізняються від тих, які призначають дітям. Відмінності є лише в видах препаратів і те, що малюкам застосовують більш щадні методи.
В якості лікування у дорослих використовують:
- Лікарські засоби.
- Хірургічне втручання.
- Народні методи.
Лікувальні процедури починаються тільки після повноцінного обстеження, коли лікар точно поставить діагноз. У такому випадку, відповідно до тяжкості перебігу і форми патології, пацієнту прописують антибіотики, судинозвужувальні краплі, протинабрякові і протиалергічні засоби.
- При інфекційній етіології хворому можуть знадобитися жарознижуючі препарати — Парацетамол, Ібупрофен. Всі лікарські засоби слід застосовувати тільки після показання медичного фахівця, щоб не спровокувати розвиток побічних явищ та передозування.
- При використанні народної медицини в лікуванні теж слід проконсультуватися з лікарем. Якщо немає протипоказань можна використовувати рецепти. Вони найбільш ефективні при початковій стадії, коли симптоми менш виражені і їх не багато.
- В домашніх умовах для лікування гострого фронтиту використовують лікарські відвари для полоскання, роблять краплі і вводять в носові ходи турунди для зниження набряклості і носових виділень.
| Гостра | Хронічна |
|
|

Загальні ознаки такі:
- больовий синдром, який поширюється не тільки на область лоба, але і на скроні, очі;
- набряк слизової оболонки, з-за якого носове дихання утруднюється;
- ранкове відходження мокротиння;
- виділення з носових ходів (можуть бути слизовими або з домішкою гною).
При гострій формі хвороби запалення охоплює тільки слизову оболонку і при правильному лікуванні проходить за 2 тижні. Якщо терапія не була проведена, а симптоми ослабли, але не зникли, патологія придбала хронічний характер. Симптоми залежать від типу запального процесу:
- Катаральний. Тут людина відчуває головний біль (частіше в нічний і ранковий час). Полегшення настає після відтоку слизу з пазухи.
- Гнійний. Поява рясних виділень, пульсуючий біль біля перенісся, яка посилюється при поворотах голови. Температура тіла піднімається до 39… 40°С. Вночі та вранці у людини може з’являтися кашель. Ще фіксується боязнь світла і підвищена сльозоточивість.
- Односторонній. Температура тіла коливається в межах 37… 39°С, а виділення з’являються з однієї ніздрі.
При двосторонній формі біль відчувається симетрично, а слиз випливає з обох ніздрів.
Діагностика
Для того щоб визначити причину незадовільного стану організму, при перерахованих вище симптомів, необхідно вибрати правильного спеціаліста. Поставити діагноз «Фронтит» під силу тільки лікаря-отоларинголога.
Виходячи з того, що побачить лікар, він призначить додаткові обстеження:
- ультразвукове обстеження лобних пазух;
- за допомогою ендоскопа подивиться внутрішню частину носа;
- просвітить спеціальною лампою пазуху чола;
- призначить інфрачервону термографію;
- призначить бак-посів з носової порожнини;
- зробить біопсію внутрішньої тканини носа;
- призначити клінічний аналіз крові.
На підставі зібраних обстежень лікар зможе визначитися з діагнозом і призначити правильне лікування.
Катаральний синусит – це запальний процес в лобовій порожнини, який є початковою стадією прояви хвороби.
До першорядним методів лікування даного патологічного стану необхідно віднести:
- усунення гіперемії;
- використання антигістамінних (якщо хвороба спровокована алергією);
- прополіскування носа спеціальними лікувальними рідинами;
- антибактеріальну терапію;
- вдихання комплексних лікувальних ароматів.
Лікувальні заходи при запаленні лобових порожнин під час вагітності можливі при дотриманні певних правил:
- антибактеріальні засоби тільки місцеві;
- вдихання комплексних лікарських ефірних олій (якщо немає алергії);
- промивання носа лікарськими рідинами;
- при високій температурі необхідно приймати НПЗЗ;
- застосовувати для носа і порожнин кварцову лампу;
- пов’язки і аплікації з лікарськими засобами на область лоба;
- переміщення ліки за Проетцу;
- вдихання парів теплої рідини з додаванням лікарських засобів.
Постановка діагнозу здійснюється на підставі анамнестичних даних, результатів фізикального дослідження, загальноклінічних лабораторних тестів, бактеріологічного аналізу і променевих методів діагностики. При опитуванні хворого лікар-отоларинголог деталізує пред’являються пацієнтом скарги, з’ясовує захворювання або обставини, які передували розвитку поточних симптомів, перенесені травми, операції в області перенісся і чола. З метою детального обстеження проводяться:
- Фізикальний огляд. При візуальному огляді області надбровья визначається гіперемія, помірна набряклість. При натисненні або перкусії цієї зони пацієнт відзначає посилення больових відчуттів. Під час нахилу голови крім зміни інтенсивності больового синдрому посилюються носові виділення.
- Огляд носової порожнини. Риноскопія дозволяє виявити характерний симптом «гнійної смужки» – невелика кількість гнійного ексудату, що стікає з передньої частини середнього носового ходу. Видима слизова оболонка дещо гіперемована, набрякла.
- Рентгенографія. Рентген придаткових пазух є провідним методом діагностики. Для отримання максимально інформативною рентгенологічної картини дослідження проводять у бічній, прямий і заднеаксиальной проекції. На фронтит вказує затемнення порожнини, нерівність контурів пазухи, зниження її пневматизацію, наявність дефектів кісткових стінок.
- Комп’ютерна томографія. КТ навколоносових пазух призначається при низької діагностичної цінності рентгенографії, підозрі на розвиток орбітальних або інтракраніальних ускладнень. На томограмі чітко відображаються всі наявні зміни кісткових структур і вхідного каналу.
- Ендоскопія лобової пазухи. При неможливості достовірно визначити характер патологічного процесу в лобній пазусі і провести повноцінну диференціальну діагностику іншими методами виконують візуальний огляд вхідного каналу і порожнини пазухи за допомогою гнучкого ендоскопа.
- Бактеріологічне дослідження. Застосовується при неефективності емпіричної антибактеріальної терапії. В якості біологічного матеріалу використовують зразки тканин пазухи, отримані при пункції або трепанації, рідше – носові виділення. Бактеріальний посів дозволяє точно визначити збудника, оцінити його чутливість до основних груп антибіотиків.

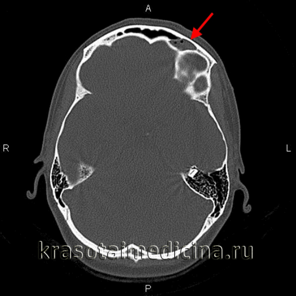
КТ придаткових пазух носа. Вміст з включеннями газу в лівій лобовій пазусі
Діагноз ставить ЛОР, який проводить такі діагностичні заходи:
- Збір анамнезу. Лікар фіксує скарги пацієнта, оглядає його, обмацує уражену область.
- Рентген пазух. Один з найбільш інформативних методів, що дозволяє визначити характер запального процесу, наявність новоутворень.
- Ендоскопія носа. Таким способом досліджується слизова оболонка носа і її пазух. Така діагностика малоінвазивна, виявляє аномалії в будові носової перегородки. Ще ендоскопія допомагає встановити точну причину запалення.
- Риноскопія. Дослідження показує стан слизової оболонки, наявність набряку, поліпів.
- УЗД пазух носа і чола. Дозволяє встановити обсяг запального процесу, проконтролювати хід терапії.
- КТ. Не тільки визначає локалізацію запалення і його причини, але і ступінь тяжкості.
- Диафаноскопия. Просвічування пазух, що застосовується для діагностики дітей і вагітних пацієнток.
- Термографія. Дає інформацію про температуру в різних частинах тіла
Додатково потрібно бактеріологічний посів виділень з носових ходів, аналіз крові (визначення наявності запального процесу), цитологічне дослідження.
Причини фронтиту
При фронтиті запалюється слизова оболонка, що вистилає пазуху. Причини фронтиту можуть бути різноманітні, від них залежить форма і тяжкість захворювання.
- Інфекція найчастіше викликає фронтит. При цьому запалення може виникати одночасно і в гайморових, і в лобових пазухах. У такому випадку у хворого діагностують гайморит і фронтит. Причиною можуть стати грип, ГРВІ, дифтерія, скарлатина. Збудниками вірусного фронтиту є аденовіруси, риновіруси, коронавіруси.
- Бактеріальний фронтит викликають стрептококи і стафілококи.
- Причиною запалення лобової пазухи може стати і грибкова інфекція. Це трапляється, якщо в організмі людини є осередки інфекції: каріозні зуби, абсцеси.
- Алергії та бронхіальна астма викликають запалення і набряк слизової. При цьому перекривається отвір, який забезпечує вихід рідини з лобової пазухи.
- Носові поліпи (доброякісні утворення округлої форми) також можуть викликати запалення.
- Травми носа і навколоносових пазух, викривлення носової перегородки і гіпертрофія носових раковин, чужорідні тіла також можуть стати причиною запалення лобових пазух.
Фронтит (симптоми і лікування у дорослих описані далі) має свої причини.
Як правило, це наслідок інших проблем зі здоров’ям:
- гостра респіраторна інфекція;
- гостра респіраторна вірусна інфекція;
- застуда;
- алергічний тривалий нежить;
- травми носа і голови;
- грибкові інфекції;
- вигин в носовій пластині;
- наслідок сильного охолодження;
- хронічні запальні патології в організмі;
- аутоімунні процеси.
Ступінь тяжкості і форма патології залежать від етіологічних факторів. Причини розвитку фронтиту такі:
- тривалий риніт, викликаний алергеном, бактеріальної або вірусної інфекцією;
- викривлення носової перегородки, хронічний гайморит, бронхіальна астма;
- зараження пазух стафілококом або стрептококом;
- респіраторна патологія;
- поліпи або сторонні тіла в носових ходах;
- травмування лицьових кісток;
- злоякісного новоутворення або доброякісного характеру.
Сторонні тіла в носі нерідко стають причиною розвитку фронтиту у дітей. Запальний процес може також виникати через зниження імунітету.
В етіології гострого запалення лобного синусу провідну роль відіграє ГРВІ, викликана риновіруси, аденовіруси, коронавирусами або респіраторно-синцитіальної інфекції. При хронічних формах як інфекційного агента частіше виступають бактерії – представники кокової мікрофлори (Staphylococcus aureus, Streptococcus pneumoniae) в асоціації з Moraxella catarrhalis і Haemophilus influenzae. Рідше стають збудниками пневмококи, псевдодифтерийная паличка, патогенні гриби. Виділяють ряд факторів, що сприяють розвитку фронтиту:
- Захворювання верхніх дихальних шляхів. Включають гострі та хронічні риніти, аденоїдити, фарингіти, тонзиліти, гайморити, тубоотиты та інші патології, є потенційним джерелом патогенної мікрофлори. Крім того, в цю групу відносяться виражені розростання аденоїдних вегетацій і доброякісні пухлини, які перекривають просвіт гирла каналу синуса.
- Імунодефіцитні стани. Виникнення фронтиту може бути обумовлено зниженням реактивності та резистентності організму, що спостерігається при Сніді, злоякісних пухлинах, масивної антибактеріальної, променевої або цитостатичної терапії, гемобластозах, генетичних аномаліях, цукровому діабеті, гіпотиреозі, аутоімунних патологіях.
- Травматичні пошкодження. Сприяти запалення лобової пазухи можуть травми або оперативні втручання, результатом яких стала деформація або закупорка вивідного протоку або звуження лобного синусу. Сюди ж відносять аномалії розвитку, що призводять до аналогічних змін – викривлення носової перегородки, деформацію гратчастого лабіринту і середньої носової раковини.
У частих випадках гострий фронтит є наслідком життєдіяльності патогенних мікробів. Тому наявність інфекційного процесу ускладнює перебіг хвороби, і провокує утворення ускладнень.

Коли різні мікроби і віруси адсорбуються на слизовій оболонці, вони швидко розмножуються і проникають всередину організму, локалізуючись в одній або двох пазухах.
Крім такої причини, факторами розвитку патології можуть виступати:
- Низький імунний статус, який утворився внаслідок
Долечивайтесь завжди при ГРВІ, Грипі, ГРЗ у запобіганні розвитку фронтиту
дефіциту вітамінів і важливих елементів, після перенесення операції і інших причин.
- Гострі респіраторні захворювання, що вражають носову порожнину і пазухи.
- Інфекційні процеси, які є на даний момент або були не до кінця вилікувані (ГРВІ, ГРЗ, грип).
- Поява поліпів.
- Різні форми травмування носа, перегородки і кісток черепа.
- Погана екологія (брудне повітря, наявність фізичних чи хімічних подразників).
- Проникнення в носову порожнину чужорідних тел.
В такому випадку мікроби потрапляють на вже сформовану і сприятливу для них середовище, і швидко розмножуються.
ЯМИК – метод
Зазвичай на першому етапі причиною запалення стають віруси, що проникають в околоназальные порожнини при застуді. Потім приєднується бактеріальна флора. Рідше зустрічається алергічний фронтит. В цьому випадку характерні симптоми гострого запалення лобових пазух поєднуються з ознаками ріно-кон’юнктивіту. Захворювання зазвичай носить сезонний характер, приурочене до цвітіння певних рослин.
Запалення лобових пазух може бути катаральним і гнійним. Перша різновид часто передує утворенню і накопиченню гною. По локалізації розрізняють гострий лівобічний фронтит, правосторонню і двосторонню форми.
Діагноз “фронтит” встановлюють в результаті обстеження черепа і УЗД пазух носа. Лікуванням фронтиту обов’язково повинен займатися ЛОР-лікар.
Основна спрямованість лікування фронтита:
- Усунення запалення.
- Зменшення набряклості слизового шару.
- Поліпшення відтоку слизу.
- Знищення бактерій, вірусів і грибків.
Для повного одужання іноді необхідно одночасне застосування декількох груп препаратів. Антибактеріальні препарати призначають лише в тому випадку, якщо в мазку визначені бактерії або виявлена висока вірогідність розвитку важких ускладнень. Найчастіше застосовують поєднання місцевих і системних антибіотиків.
Із засобів з місцевим впливом призначають препарат Биопорокс, спрей Изофра.
З антибіотиків більшості пацієнтів рекомендують приймати:
- Аугментин;
- Амоксицилін;
- Амписид;
- Флемоксин;
- Солютаб;
- Цефаклор;
- Цефтриаксон;
- Суммамед;
- Азитроміцин.
Якщо встановлена вірусна етіологія запалення, то необхідні препарати з противірусними властивостями. Грибкова інфекція знищується протигрибковими засобами.
Крім антибіотиків, пацієнтам з фронтитом також призначають:
- Судинозвужувальні краплі (Називин, Галазолін, Виброцил). Вони необхідні для полегшення дихання, але використовуються не більше 5 днів.
- Антигістамінні засоби (Тавегіл, Супрастин, Димедрол). Зменшують набряклість в носових ходах, полегшують перебіг синуситу.
- Жарознижуючі засоби (при підвищенні температури вище 38,5 ° С).
- АЦЦ (прискорює і полегшує виведення із запаленої пазухи в’язкого, гнійного секрету).
- Гомеопатичні засоби (Синуфорте, Синупрет, Циннабсин). Вони володіють протизапальними властивостями і підсилюють відходження слизу.
- Анальгетики та спазмолітики (при сильних болях).
У разі хронічної форми фронтиту виникає необхідність у проведенні хірургічного лікування. Це може бути ендоскопічна операція на лобовій пазусі, спрямована на усунення причин запалення і санацію пазухи.
Подібні операції проводяться під наркозом. Ендоскопічне обладнання дозволяє хірургові безперешкодно наблизитися до вивідному отвору лобової пазухи – лобне кишені, розширити його микроинструментами і видалити патологічний вміст.
Трепанопункция – ще один спосіб хірургічного втручання, при якому вміст з лобової пазухи видаляється через невеликий отвір в лобової кістки. Прокол виконується тільки при тяжкій формі захворювання.
Трепанопункция
Фізіотерапія
З фізіотерапевтичних методів призначаються:
- УВЧ терапія.
- Лазеротерапія. Порожнина носа опромінюють пучком світла особливого спектру, під впливом яких підвищується обмін речовин, посилюється процес регенерації.
- Електрофорез.
- Метод «зозуля». Промивання носа ліками, яке заливають в одну половину носа, а потім відсмоктують з іншого. Під час процедури хворий лежить на спині і каже «ку-ку, ку-ку». Це робиться для того, щоб розчин не попадав у носоглотку.
Метод «зозуля» і ЯМИК-процедура
Народні засоби
Лікування фронтита народними засобами допустимо тільки при легких формах хвороби. Воно може доповнювати терапію, призначену лікарем.
Для того, щоб добитися позитивного результату, необхідно дотримуватися загальні рекомендації, які містять такі правила:
- послабити гіперемію пазух носа;
- необхідно видалити з порожнини носа гнійну рідина;
- вбити бактерії, мікроби і грибки (якщо такі є);
- сприяти хорошій роботі порожнин носа;
- підвищувати загальну опірність організму;
- стимулювати імунну систему.
Метод «Зозуля» або по-іншому спосіб введення лікарської рідини за методом розробника Проэтцу, є дуже ефективним способом лікування всіх форм синуситів.
Процес «Зозуля» заснований на введенні в одне носове отвір лікарського засобу з одночасним відсмоктуванням препарату і патологічного вмісту пазухи і носової порожнини через інше носове отвір, за допомогою витягають пристрою.

Під час проведення процедури необхідно спокійно дихати, лежачи на спині, голову задерти вгору і проговорювати «ку-ку, ку-ку, ку-ку». Тривалість процедури до 20 хв.
ЯМИК – це катетер, який необхідно вводити в порожнині пазух. При цьому не робиться проколу. Даний метод впливає на всі порожнини носа відразу. Перед початком терапії треба в порожнину носа ввести місцевий знеболюючий препарат. Пацієнт сидить на стільці, голова ураженої пазухи дивиться вгору. ЯМИК вводять у носову порожнину.
За допомогою ін’єкційного шприца балони пристрою наповнюються повітрям. Хворий опускає ніс вниз і в протилежний бік ураженої порожнини одночасно. Відсмоктується патологічна рідина. Далі пацієнт лягає на бік, ніс звисає в ту сторону, де є пошкодження.
Спеціаліст вливає ліки в ЯМИК – катетер – порожнини носових пазух наповнюються ліками. Далі слід видалити повітря шприцом з катетеральных балони. ЯМИК виймають з носової порожнини. Тривалість терапії становить близько 25 хв за 1 раз. Курс розрахований на 10-12 дренажів.
Інгаляція – це метод вдихання вологого або сухого повітря. Дія даного способу лікування фронтита засноване на позитивному впливі вдихуваних парів рідини або повітря, збагаченого лікарськими препаратами.

При цьому інгаляції надають позитивний ефект:
- зволожують слизову носової порожнини, уражену запальним процесом;
- розчиняє гнійні і застійні освіти;
- полегшує дихання носом.
В домашніх умовах потрібно просто над посудом з теплою лікарської рідиною потримати голову і подихати носом. Тривалість такої процедури становить близько 10 хв.
Операційне втручання при лікуванні фронтиту – це крайня міра, яка необхідна при відсутності ефекту від медикаментозного лікування і сильному скупчення гнійної рідини.
- Лікар робить отвір у районі лобової порожнини. Дана процедура допомагає відходити гнійного вмісту пазухи.
- Виконання хірургічної маніпуляції за допомогою светопроводящего приладу – ендоскопа.
- Оперативне втручання відкритим способом. Спеціаліст розрізає уражену порожнину, звільняє її від запального освіти.
Середньотяжкі та тяжкі форми патології вимагають постійного спостереження медичного персоналу, тому пацієнти госпіталізуються в отоларингологічне відділення. При фронтиті легкого ступеня тяжкості можливе амбулаторне лікування. Основні цілі проведеної терапії – відновлення дренажу та аерації синусів, видалення патологічних мас, профілактика ускладнень. План лікування включає:
- Медикаментозні засоби. В якості стартової антибіотикотерапії використовують захищені амінопеніциліни, рідше – цефалоспорини II-III покоління. В подальшому можлива заміна медикаментів згідно з результатами тестів на антибиотикочувствительность. Також застосовують нестероїдні протизапальні препарати, деконгестантів, антигістамінні засоби, місцеві антисептики, вітамінні комплекси. При интоксикационном синдромі показана інфузійна терапія з плазмозамінниками, сорбентами.
- Оперативне втручання. Полягає в зондуванні синуса після анемізації слизової оболонки носа, трепанопункции пазухи через нижню стінку з промиванням її дренуванням порожнини і, ендоназально розтині з допомогою жорстких ендоскопів. При необхідності проводять відкриті операції через передню стінку або шляхом розширення лобово-носового каналу з резекцією передньої групи клітин гратчастої кістки.
- Фізіотерапія, консервативні заходи. Фізіотерапевтичні процедури при фронтиті представлені електрофорезом з місцевими анестетиками, фонофорезом з кортикостероїдами та антибіотиками на лобову стінку ураженої пазухи. Регулярно проводиться анемізації слизової носової порожнини з судинозвужувальними краплями, промивання з водно-сольових розчинів або місцевими антисептиками.
Що стосується маленьких діток, то всі лікувальні процедури необхідно проводити в умовах стаціонару під чуйним наглядом лікаря.
Лікування в такому випадку визначається декількома методами, які встановлює медичний фахівець, грунтуючись на стані малюка і формі перебігу хвороби.
- Для полегшення дихання і зниження набряклості в носовій порожнині використовують назальні краплі, інгаляції, антибіотики і оперативне втручання.
- Ефективними краплями вважаються Синупрет, їх необхідно використовувати певний час, тривале використання забороняється. Завдяки їх мінімальним протипоказань і побічних дій, вони широко застосовуються для лікування гострого фронтиту.
- Інгаляції роблять за допомогою лікарських препаратів або народних засобів — лаврового листа, лікарських рослин та картоплі.
- Хірургічне лікування призначається в крайніх випадках, якщо медикаментозна терапія не має потрібного ефекту.
Апарат магнітотерапії для лікування гострого фронтиту
Для кращого відділення носовій слизу і швидкого одужання лікарі нерідко вдаються до використання фізіопроцедур. З них найбільш поширеним при гострому фронтиті вважається магнітотерапія. Вона призначається як дорослим, так і дітям, визначається застосуванням електромагнітних хвиль високих частот.
Протизапальні засоби
Гомеопатичні лікарські засоби необхідно приймати в лікуванні запальних захворювань пазух носа. При далеко зайшли процесах можна комбінувати з традиційними ліками.

Фармакологічна промисловість для лікування і профілактики фронтиту представляє такі ліки:
- Аква маріс.
- Назомарин.
- Синуфорте.
Гомеопатичні препарати слід використовувати для полоскання, закопування, інгаляцій, орального застосування, розсмоктування, у вигляді мазей і аплікацій.
Лікарські засоби: краплі, спреї, які мають судинозвужувальну ефектом, необхідно застосовувати у лікуванні синуситів. Препарати з такою дією знімають гіперемію в носі, що сприяє носовому диханню і нормальним процесів між носом і його порожнинами (пазухи).
До таких ліків відносять:
- Виброцил.
- Ксимелин екстра;
- Септаназил.
Лікарські препарати, які впливають на регуляцію теплообміну в організмі, необхідно приймати в лікуванні синуситів тільки в тому випадку, якщо рівень стовпчика на термометрі піднявся вище позначки 38,1 градус за Цельсієм.

Наприклад:
- Нимид.
- Ібупрофен.
- Індометацин.
Всі перераховані ліки мають здатність не тільки відновлювати нормальний рівень температури тіла, але й знімають запалення в організмі.
Лікарські препарати з протизапальним ефектом потрібні як додатковий, допоміжний засіб у комплексній терапії синуситів. Засоби цієї групи є як оральні, так і для місцевого застосування, але у всіх одна мета – придушити синтез ейкозаноїдів, що викликають запалення в організмі.
До препаратів з таким ефектом відносяться:
- Эреспал.
- Амиспирон.
- Метаспрей.
Лікування фронтита у дорослих і зняття симптомів можна проводити за допомогою народних методів і засобів.
Існує маса рецептів, які необхідно використовувати в домашньої терапії фронтиту:
- Лікування фронтита з допомогою листя лавра благородного. Потрібно взяти емальований посуд, покласти в неї листя лавра благородного – близько 10-12 листків. Залити 1 л води. Поставити на вогонь і довести до кипіння. Зменшити вогонь, залишивши воду з листям на повільному вогні протягом 10-15 хв. Вимкнути газ, відставити посуд. Накрити її кришкою. Настояти розчин до стану слабкого пара. Відкрити кришку і вдихати пари отриманого лікарського розчину протягом 10 хв. Пар не повинен обпалювати обличчя і носові ходи. Цей засіб сприяє відходженню гнійного вмісту з носових пазух і порожнин.

- Застосування масок з білої глини. Необхідно взяти білу глину, яка володіє хорошими протизапальними властивостями. Розвести її в невеликій кількості теплої води або води з додаванням нітрофуралу. Ретельно перемішати. Нанести на пошкоджену пазуху. Дати висохнути. Умити обличчя. Процедуру треба проробляти протягом 10-14 днів.
- Інгаляції з додаванням ялинових шишок. Необхідно взяти молоді ялинові чи соснові шишки. Помістити їх в емальовану каструлю. Залити водою і кип’ятити протягом 10-15 хв. Відставити з вогню і закрити кришкою. Через 20-30 хв необхідно подихати парою з шишок. Тривалість процедури близько 15 хв. Пари не повинні обпалювати обличчя і ніс. Робити процедуру слід кожен день на ніч, протягом 2 тижнів з додатковим використанням судинозвужувального спрею.
- Використання розчину ялинових шишок, м’яти, ромашки для промивання носа. Необхідно покласти рослинні компоненти в емальовану каструлю. Довести до кипіння і відставити з печі. Закрити кришкою. Після того, як рідина охолоне необхідно процідити і отриманим розчином промивати ніс вранці і ввечері, в обидві ніздрі. Робити процедуру потрібно протягом 10 днів.
- Закапування носа на ніч сумішшю масел шипшини та обліпихи. Для цього необхідно аптечне масло двох препаратів змішати. Використовувати на ніч, перед сном, закопуючи на піпетці в кожну ніздрю, треба задерти голову вгору. Масло знімає запальний процес і зволожує пересушену запаленням слизову носа.
Синуфорте, Синупрет та Циннабсин — засоби для лікування гострого фронтиту в домашніх умовах. Вони відрізняються за складом і застосування, хоча поширена думка про взаємозамінність цих препаратів.
Випускається у формі таблеток для розсмоктування. Приймають при неускладненому фронтиті і гаймориті для покращення виведення ексудату. Засіб краще допомагає при закладеності носу в перші дні хвороби.
Лікарський препарат містить комбінацію трав’яних екстрактів з переважанням флавоноїдних сполук. Форми випуску: таблетки та сироп. Компоненти розріджують слиз в пазухах носа, надають антибактеріальну дію.
Приймають Синупрет протягом 7-10 днів для зменшення запалення і набряклості слизової носа. Засіб менш ефективно при водянистої слизу, краще допомагає при густих жовтувато-зелених виділеннях з носа.
Випускається у формі порошку для приготування назальних крапель. Чинить місцеву протинабрякову дію, полегшує відтік секрету з придаткових пазух у носоглотку. Синуфорте застосовується при гострих і хронічних синуситах, але не підходить для лікування запалення слизової, викликаного алергією, поліпами, утворенням кісти в навколоносовій порожнини.
В перші дні захворювання, до відвідування лікаря застосовуються спреї Изофра або Полидекса з фенилэфрином. Якщо не проводиться мікробіологічний аналіз слизових виділень, то лікар призначає антибактеріальні препарати широкого спектру дії. Як правило, лікування фронтита починають із застосування препаратів Аугментин, Амоксиклав.
При неефективності антибіотиків однієї групи призначають Азитроміцин або Цефалексин. Також замінюється ліки при алергії у хворого на компоненти препарату. Можлива коригування терапії після виконання аналізу на бактеріальну флору і отримання результатів. Тривалість прийому залежить від виду препарату, в середньому антибіотик приймають від 5 до 10 днів.
Зазвичай симптоми і лікування гострого фронтиту у дорослих є більш серйозною проблемою, порівняно з аналогічним захворюванням у дітей. Одна з причин — складність відтоку слизу через порівняно вузький канал довжиною до 2,5 см
Народним способам лікування фронтита відводиться допоміжна роль. Використовуються розчини харчової солі, настої ромашки, чебрецю для промивання носа. Прогрівання допустимо тільки при відсутності високої температури і гнійного процесу. Застосовуються відварене яйце, сіль в мішечку, вдихання теплого пара.
Оперативне втручання
Коли лікарські засоби не здатні боротися із захворюванням,
Проведення трепанопункции при гострому фронтиті
хворому призначають операцію. Особливо вона показана у тому випадку, якщо крім основних симптомів гострого фронтиту, приєднуються головний біль постійного і тривалого характеру, часте підвищення температури тіла.
Найбільш поширеним методом хірургічного втручання вважається трепанопукция, яка визначається розтином лобових часток і вивільненням гнійного вмісту. Крім широкої поширеності, процедура характеризується деякими недоліками. Головною є травматизм шкірного покриву і кістки, які заживає тривалий час.
Сучасними, набирають популярність, процедурами для лікування гострого фронтиту, є:
- Пункція пазухи — обумовлюється застосуванням спеціальної тонкої голки, маніпуляція триває не більше 15 хвилин, проходить швидко і безболісно. Ускладнення і шрами, як правило, відсутні.
- Операція з використанням ендоскопа — спрямована на розширення отвори в лобової пазухи і природний відтік виділень.
Ускладнення при фронтиті
При несвоєчасному і неякісному лікуванні гострого фронтиту, патологія може спровокувати розвиток серйозних ускладнень, які можуть зачіпати область очей і внутрішньочерепні зони.
Для першого випадку характерні:
- Періостит — визначається запальним процесом окістя, згідно з формою фронтиту, протікає з наявністю або відсутністю гною і на місці орбіти глава формується інфільтрат.
- Остиомиелит — ураження кісткової тканини.
- Флегмона — характеризується запаленням очної сітківки, в результаті чого око трохи виступає з орбіти.
Для другого випадку характерні:
- Субдуральный абсцес.
- Епідуральний абсцес.
- Менінгіт.

Загальними наслідками гострого фронтиту вважаються сепсис, пансинусит і полисинусит.
Ускладнення хвороби пов’язані з несвоєчасним або неадекватним лікуванням, наявністю вираженого імунодефіциту. Найчастіше інфекція поширюється на інші придаткові пазухи, провокуючи розвиток двостороннього фронтиту, гаймориту, етмоїдиту, сфеноидита. В результаті деструкції нижньої стінки лобової пазухи процес переходить на тканини очниці, що проводить до орбітальним ускладнень: реактивного набряку клітковини, абсцесу і флегмоні століття або орбіти, остеопериоститу очниці. Без своєчасного лікування ці ускладнення здатні провокувати компресію і ішемію очного нерва, і, як результат – стійке порушення зору аж до сліпоти.
При карієсі задній або верхньої стінки пазухи розвиваються внутрішньочерепні ускладнення, зумовлені проникненням гнійних мас і патогенних мікроорганізмів в передню черепну ямку. Можуть формуватися арахноїдит, менінгіт, енцефаліт, абсцеси тканин головного мозку, тромбоз венозних синусів. У важких випадках відбувається гематогенна дисемінація бактерій і продуктів їх життєдіяльності, що стає причиною сепсису, утворення метастатичних вогнищ інфекції в інших органах – печінці, легенях та ін. Все риногенные інтракраніальні ускладнення та септичні стани пов’язані з високим ризиком летального результату, потребують лікування в блоці реанімації та інтенсивної терапії.
Вони небезпечні незалежно від того, хронічно або гостро протікає хвороба. Виділяють такі ускладнення фронтиту:
- поширення інфекційного процесу на кісткову тканину;
- інфікування очниці, внаслідок чого формуються флегмони і абсцеси;
- сепсис;
- менінгіт;
- відмирання тканин;
- абсцес мозку.
Якщо терапію не почати вчасно, людина може повністю втратити нюх, у нього падає гострота зору, руйнуються кісткові перегородки між пазухи.
Фронтит, як і інші види синуситу, обов’язково потрібно лікувати. Відсутність своєчасної й правильної терапії, а також переривання курсу лікування призводять до таких наслідків, як:
- Поширення інфекції на поруч розташовані пазухи. В результаті можуть розвинутися сфеноидит, етмоїдит, гайморит.
- Перехід запалення на очну ямку і окологлазничные області (абсцес повік, флегмона).
- Поширення гною в головний мозок (викликає утворення абсцесів і менінгіт).
Фронтит (симптоми і лікування у дорослих повинен знати отоларинголог) при неправильному відношенні до призначення лікаря або ігнорування загального стану може призвести до ускладнень.
Чим загрожує не лікування фронтит:
- запаленням кори головного мозку;
- запальним процесом в очних яблуках;
- наривом століття;
- гнійниками в ЦНС;
- отравлениме організму продуктами розпаду процесу хвороби.
Антибіотики при фронтиті

Антибактеріальні засоби широко застосовують при запаленнях в організмі, якщо тільки вони не вірусної або грибкової етіології.
Для лікування запальних процесів в носових порожнинах фармакологічна промисловість випускає багато різновидів лікарських засобів:
- антибіотики пеніцилінового ряду;
- бета-лактамні антибактеріальні засоби;
- макроциклічні антибактеріальні засоби.
Якщо збудник патологічного запалення в порожнині чола – це бактерії, то необхідно призначати:
- Антибактеріальні засоби пеніцилінового ряду: Медоклав; Амоксил; Панклав.
- Бета-лактамні антибактеріальні засоби: Абитракс; Цефтріаксон; Лаваксон.
- Макроциклічні антибактеріальні засоби: Азимед; Азитроміцин; Зиомицин.
Антибактеріальні засоби при фронтиті слід застосовувати у вигляді інгаляцій, ін’єкцій, инсоляций, полоскань, закапувань і таблеток.