Стоматитная ангіна
Запальні процеси в ротоглотці переслідують кожної людини на протязі життя. Стоматитная ангіна відноситься до ряду часто зустрічаються захворювань горла. Тонзиліт провокується не тільки бактеріями, а також різними вірусами, грибковими інфекціями.
Ангіна або, так званий, гострий тонзиліт — це інфекційне запальне захворювання, яке вражає тканини піднебінних мигдалин. Хвороба широко поширена і нерідко проявляється паралельно з іншими захворюваннями.
Наприклад, досить поширеною формою цієї недуги є стоматитная ангіна, — випадок при якому ангіна і стоматит протікають одночасно. З чим це пов’язано і як відрізнити одне захворювання від іншого, розказано в цій статті.
Стоматитная ангіна – досить рідкісне захворювання, яке вибудовується на симптомах двох різних процесах. Стоматит або ангіна, спровоковані герпесным вірусом, часто мають досить схожі ознаки. Тільки лікар зможе встановити безпомилковий діагноз при візуальному огляді.
Розпізнати ознаки хвороби не так складно, так як вони виражені найчастіше виразками, нальотами і ерозією на слизових поверхнях ротової порожнини. При ангіні такого виду у пацієнта діагностується виразковими покриттями на мигдалинах.
Стоматитная ангіна розвивається на всіх поверхні епітелію рота і горла одночасно. На виразкових наростах з’являється білуватий або жовтий наліт. Якщо пацієнт вирішить самостійно видалити плівку з пошкодженої тканини, виразка відкриється, що дуже небезпечно, інфікуванням прилеглих органів.
Ангіна стоматит, об’єднавшись, в гострій стадії протікають вкрай важко, особливо у маленьких пацієнтів. Якщо була діагностована кокова інфекція, тобто ризик появи спека з лихоманкою. Підвищується кількість виділеної слини, а проковтування їжі викликає сильні больові відчуття.
Лімфовузли збільшуються і болять при натисканні на них. За результатами аналізу крові лікарі зможуть виявити відхилення від норми лейкоцитозу. Зазвичай стоматитная ангіна у дитини не триватиме довше двох тижнів. Але запущений процес може протікати набагато довше з приєднанням вторинних інфекцій.
Визначити ступінь занедбаності хвороби зможе досвідчений лікар, який повинен підібрати найбільш результативний терапевтичний курс. Ефективність лікування найчастіше залежить від своєчасності звернення хворого до фахівця.
Від ангіни можна позбутися за півтори-два тижні, якщо регулярно проводити всі необхідні процедури. І тонзиліт, і стоматит вражають в основному людини з ослабленою імунною системою. Тому симбіоз даних хвороб більш поширений серед літніх людей, маленьких пацієнтів і страждають імунодефіцитом.
Стоматитная ангіна може вражати людей, у яких спостерігається витончення, дистрофія або авітаміноз. Відрізняється ця хвороба тим, що її можуть спровокувати різноманітні фактори, наприклад, гінгівіт, патології ясен, карієс, зубний камінь або недотримання гігієнічних правил ротової порожнини.
Як відрізнити стоматитную форму ангіни від інших захворювань, пояснити лікуючий фахівець. Пацієнту необхідно при появі перших ознак будь-якого запального або інфекційного процесу звертатися за кваліфікованою медичною допомогою.
Як і при будь-якому іншому вигляді ангіни, хворому необхідний постільний режим з відпочинком. В основі «лікарняному» дієти лежать теплі кашки, пюре та інша їжа, яка не може травмувати і дратувати уражені слизові рота і горла.
Якщо при хвороби у пацієнта спостерігаються інтенсивні болі, то необхідні препарати, засновані на пирамидоне. Також можливі ін’єкції «Пеніциліну» внутрішньом’язово і «Новарсенола» внутрішньовенно. Уражені ділянки рота і мигдаликів слід регулярно змащувати метиленової синню.
Так як патологічний процес може повернутися протягом 3-х-4-х тижнів, то рецидив можна попередити за допомогою антибіотичної курсу. Використовувати будь-які лікарські склади дозволяється тільки за призначенням лікаря. Самолікування небезпечно хронізації хвороби і різними ускладненнями.
Лікувальні процедури при такій різновиди хвороби повинні проводитися під строгим контролем ЛОРа. Для того щоб впоратися з ознаками обох запальних процесів, необхідно використовувати комплексне лікування. Можна застосовувати народні рецепти спільно з медикаментозними.
Полоскання горла і рота настоєм ромашки, шипшини або кори дуби допоможе усунути запальні вогнища. На виразкові освіти за допомогою марлі можна наносити розчин перекису, зеленки. Стрептоцитовый порошок здатний в короткі терміни знімати запальні ознаки.
Лікування повинно ґрунтуватися на циклі противірусних засобів, наприклад «Бонаферона». Для того щоб вивести патогенні токсини з організму і зміцнити імунну систему, слід користуватися антигістамінними препаратами у відповідності з призначеннями лікаря.
При стаціонарному лікуванні лікарі часто призначають уколи «Лізоциму» і медикаменти, засновані на «Продигиозоне». Гостру стадію патології усувають антибіотиками. Хворому рекомендовано витамизированная і висококалорійна дієта з рясним питним режимом.
Якщо кваліфікований лікар призначить правильний терапевтичний курс, а пацієнт буде дотримуватися всіх рекомендацій, то впоратися з ознаками хвороби можна буде на 7-10 днів. Самолікування небезпечно, а відсутність медикаментозного курсу призведе до низки ускладнень.
Нещодавно теж стоматит вилікувала старшому синові. Для цього використовувала Стоматидин. Цей антисептик ще довго працює після нанесення. Навіть неприємний запах з рота перестав турбувати.
Зміст всього контенту, представленого на сайті носить лише ознайомчий і інформаційний характер, спрямований на формування у відвідувачів ресурсу більш чіткого уявлення про профілактику, симптоми і методи лікування простудних захворювань. Обов’язково проконсультуйтеся з лікарем.
Стоматит — це досить поширений інфекційний недуга, здатний вражати ротову порожнину. Існує безліч факторів, які можуть стати причиною його появи. Типові прояви стоматиту — невеликі ранки, які часто мають білувату забарвлення. Вони можуть локалізуватися на різних ділянках ротової порожнини, у тому числі і на мигдалинах.
Якщо стоматит виникає на гландах, лікарі зазвичай говорять про стоматитной ангіні. Така форма хвороби вважається досить важкою, хоч зазвичай і не виявляється занадто яскравою клінічною картиною.
Ознаки захворювання
У дорослих стоматитный тонзиліт характеризується наступними ознаками:гіпертермія;
- занепад сил;
- запалення горла;
- білястий наліт на мигдалинах;
- болі в гортані;
- ломота в тілі;
- нежить;
- покашлювання;
- опухлі гланди.
У дітей при стоматитной ангіні зазначається така клінічна картина:
- шлунково-кишкові патології;
- алергічні реакції;
- дрібні білі висипання у роті;
- судоми причини гіпертермії.
Діти досить часто підхоплюють таку хворобу. Патологія протікає в більш складній формі, чим у дорослих людей. Захворювання потребує лікування в умовах медичного закладу. При гострому розвитку комбінованої бактеріальної інфекції, чадо може задихнутися.
Цей процес є найнебезпечнішим. Багато батьків вважають за краще боротися з хворобою у дитини за допомогою народних засобів, але такі маніпуляції рідко приносять одужання. «Дідівські» методи можна використовувати, але в поєднанні з аптечними ліками, під контролем лікаря.
Стоматит і тонзиліт – це небезпечні патології, які згубно впливають на організм. Вони виліковуються в середньому черездень з моменту початку терапії.

Після вираженого тонзиліту виникає у вигляді ускладнення стоматит на мигдалинах або в ротоглотці. Як правило, стоматит зустрічається з причини не до кінця вилікуваним хвороби, відсутність гігієнічних заходів, не своєчасно наданій лікуванні.
Нерідко хвороби протікають одночасно. У таких випадках показана госпіталізація. Людині стає важко приймати їжу, ковтати. Такі симптоми усуваються допомогою знеболюючих препаратів на час, щоб повністю від них позбутися, слід погасити вогнище запалення.
Багатьох хворих цікавить, при стоматиті можна гуляти? Так, прогулянки на свіжому повітрі позитивно позначаться на стані організму пацієнта.
Ангіна зі стоматитом мають схожі загальні симптоми, але деякі ознаки патологій, все ж, відрізняються один від одного, саме на ці відмінності треба звернути особливу увагу.
Загальна клінічна картина стоматиту при ангіні проявляється за рахунок наступних симптомів:
- болі в області ротоглотки;
- підвищення температури тіла;
- утворення виразок і нальоту на слизових оболонках ротоглотки;
- ознобу;
- головного болю;
- труднощі з ковтанням їжі;
- збільшення шийних лімфовузлів;
- збільшення інтенсивності слиновиділення.
При наявності вищеперелічених симптомів розвивається ангіна і стоматит одночасно.

Людина може заразитися стоматитом під час контакту з хворим. Хвороба розвивається поступово: до появи перших ознак може пройти два дні або пару тижнів. Люди частіше схильні недузі в міжсезоння.
Симптоми стоматитной ангіни: наліт, виразки на слизовій оболонці мигдаликів.
Фахівці стверджують, що недуга викликають хвороботворні бактерії, які провокують стоматит. Стоматит і ангіна розвиваються на поверхні мигдаликів, а також по поверхні слизових ротової порожнини.
На ерозіях з’являється наліт білого або жовтого кольору. Під плівкою на уражених тканинах утворюються виразки. Гострий тонзиліт протікає важко, особливо у дитини. У хворого піднімається температура тіла, проковтування їжі і напоїв викликає хворобливі відчуття, з’являється підвищене слиновиділення.
У деяких випадках лімфовузли збільшуються в розмірах, болять при дотику. У крові хворого іноді виявляють підвищений вміст лейкоцитів. Найчастіше така форма тонзиліту триває не більше чотирнадцяти днів, проте на лікування запущеного недуги потрібно більше часу.
При появі перших ознак стоматиту можна відразу розпізнати захворювання і сплутати його з ангіною.
У дорослих
Дорослі легше переносять захворювання. Температура невисока, спостерігається почервоніння горла, набряк слизових оболонок. На поверхні можна побачити болючі виразки. Іноді при захворюванні збільшуються лімфатичні вузли.
У дітей
На відміну від дорослих, у дітей симптоми цієї хвороби виражені більш яскраво, діти дуже важко переносять захворювання.

Характерні ознаки стоматиту у малюків:
- При огляді горла можна спостерігати почервоніння і набряк тканин.
- Висока температура.
- Слизова оболонка покривається ранками.
- Лімфатичні вузли запалюються і збільшуються.
- Локалізація виразок буває одиночним або болячки розташовуються групами.
Лікування стоматитной ангіни в домашніх умовах
Окремої уваги заслуговують випадки, коли вже наявна ангіна ускладнюється приєднанням стоматиту. Така ситуація не є рідкістю, адже при гострому тонзиліті імунітет сильно знижується, із-за чого різні бактерії, віруси і грибки можуть призводити до виникнення інших захворювань.
Ангіна, яка доповнюється приєднанням стоматиту, цілком може лікуватися в домашніх умовах. Але при цьому важливу роль грає дотримання всіх рекомендацій лікаря.
У дитячому віці будь захворювання проявляється гостріше. Одночасне розвиток ангіни і стоматиту може спровокувати повна відсутність апетиту і безсоння. Малюк стає примхливим, а в грудному віці відмовляється від грудей.
Відрізнити стоматит або ангіна може тільки лікар. Терапія стоматитного тонзиліту включає в себе засоби, спрямовані на усунення симптомів обох недугів і обробку виразкових утворень ротової порожнини.
Для лікування застосовують антибіотики широкого спектра дії, анальгетики, антигістамінні, протизапальні та противірусні препарати. Терапія у малюків відрізняється застосуванням щадних засобів.
Для полегшення стану часто застосовуються народні засоби: полоскання відваром з кори дуба, протирання ротової порожнини содовим розчином. Після основного курсу лікування хворому рекомендується вітамінотерапія.
Досить часто ангіна супроводжується стоматитом – запальним процесом слизової рота. Інфікування починається саме з стоматиту, після з’являються симптоми ангіни. Захворювання виникає, тому що знижується імунітет після грипу, ГРВІ.
Здрастуйте, шановні читачі! Дуже часто, особливо у дітей, тонзиліти переходять у різні ускладнення, наприклад, в хворобливі виразки в порожнині рота.
А ще буває так, що запалення гланд розвивається після виразкового запалення або одночасно з ним (стоматит під час ангіни).
У всіх подібних ситуаціях хворому необхідно особливу лікування, а про те, яке саме і як відрізнити стоматит від ангіни, вам розповість ця стаття.
Як вже зазначалося, стоматит і ангіна – хвороби, які нерідко супроводжують один одного. Це може бути пов’язано не тільки з раніше перенесеними вірусними або бактеріальними інфекціями ротоглотки, але також з неправильним підходом до питання терапії.
Ангіна і стоматит одночасно – часті явища в людей, які займаються самолікуванням. Нерідко пацієнти не можуть правильно визначити, який саме патології вони страждають, тому вдаються до вельми сумнівним, а тому небезпечним для здоров’я методам терапії.
Але найгірше те, що деякі молоді мами не вважають за доцільне вести дітей до лікаря, а застосовують антибіотики на свій розсуд. З цієї причини ангіна, поєднується зі стоматитом, у малюків розвивається частіше, чим у дорослих.
Часто у пацієнтів, хворих на ангіну, одночасно діагностують стоматит — запалення слизової порожнини рота. Інфікування організму починає проявлятися саме з симптомів стоматиту, потім виникають ознаки ангіни.
Ангіною прийнято називати запальне захворювання, що вражає поверхню неба, носоглотковий і мовну мигдалину.
Ангіна відноситься до інфекційно-алергічних хвороб гострої форми. Може викликатися різними збудниками: вірусами, бактеріями.
При стоматиті виразки і афти проявляються на поверхні слизової оболонки всієї ротової порожнини. Стоматит може бути:
- бактеріальним;
- вірусним;
- грибковим;
- променевим, внаслідок променевої хвороби;
- хімічним, у вигляді опіків ротової порожнини кислотою або лугом.
Ознаки стоматиту у дітей до року майже не відрізняються від тих, що проявляються у дорослих: погане самопочуття, порушення сну, примхливість, відмова від їжі. Занепокоєння можуть плутати з прорізуванням зубів, кольками чи застудою.
Якщо на початковій стадії розвитку стоматиту не почати лікування, то запалення може поширитися углиб на мигдалини.
Таке захворювання називають вже стоматитной ангіною. На відміну від звичайної, цьому випадку виразки розвиваються області мигдаликів і слизової оболонці всій поверхні рота одночасно.
Гостра стадія проявляється підвищенням температури, гострим болем при ковтанні, слабкістю. Можуть збільшитися лімфовузли і вболівати при натисканні.
Зазвичай захворювання виліковується за два тижні, але у важких випадках симптоми можуть триматися протягом місяця.
Після встановлення точного діагнозу, буде призначено правильне лікування.
Важливо! Для початку терапії необхідно виявити інфекційний агент, який спровокував запалення. Робити це повинен виключно лікар, з допомогою лабораторних аналізів.
Яке має вирішувати відразу кілька завдань:
- полегшення самопочуття;
- усунення інфекції;
- загоєння виразок.
Для знеболювання у дітей використовуються препарати ібупрофену та парацетамолу, які також можуть бути використані для зниження температури.
Після визначення типу збудника призначається лікування антибіотиками або противірусними препаратами.
Важливо! Самостійно приймати антибіотики категорично заборонено, оскільки у разі вірусної природи захворювання це марно і може погіршити перебіг хвороби.
Поряд з аптечними препаратами для лікування, можна використовувати і народні засоби. Для зняття запалення рекомендуються полоскання відварами, приготованими з лікарських трав череди, шавлії, ромашки, календули.
Фото 1. Лікар проводить огляд уражених ділянок ротової порожнини і горла у дитини, яка захворіла на ангіну.
Хворому в першу чергу потрібен постільний режим і відпочинок. Необхідна легка, тепла, пюреобразная їжа, не дратує слизову. Можливо годування дітей через трубочку.
Щоб уникнути цих неприємних захворювань, необхідно дотримуватися важливі правила:
- вчасно і до кінця лікувати вогнищеві інфекції;
- не нехтувати антибіотикотерапією у разі бактеріальної ангіни або стоматиту, доводити прописане лікарем лікування до кінця з потрібною дозуванням;
- уникати переохолоджень, плавно загартовуватися;
- добре обробляти ягоди, овочі і фрукти перед їх вживанням;
- ретельно мити руки перед їжею;
- стежити за гігієною рота;
- виключити контакти з людьми, хворими на ГРВІ, ангіну, стоматитом.
Для профілактики патологій у дітей, необхідно ретельно мити іграшки, дезінфікувати пляшечки і соски.
Нерідкі випадки, коли під час ангіни у хворого може запалитися слизова порожнини рота, яка спровокує появу стоматиту. Обидва захворювання розвиваються на тлі зниженого імунітету або ГРВІ.
Якщо попередником ангіни і стоматиту був герпес, то для обох захворювань характерні такі ознаки, як наліт, виразки і рани на слизових.
Методи лікування
Терапевтичні заходи для боротьби з тонзилітом бактеріальної або вірусної природи повинні бути комплексними. Лікування полягає в погашенні вогнища запалення, загоєння ранок.
- Рекомендується використовувати традиційне і народне лікування одночасно.
- Ангіна стоматит провокує сильні больові відчуття, їх можна послабити за допомогою ряду спазмолітичних засобів.
- Якщо болі не проходять, додають народні засоби для посилення ефекту.
- Лікарі рекомендують проходити фізіотерапевтичні процедури для уникнення рецидивів хвороби.
- Можна гуляти при стоматиті? Прогулянки показані при такому захворюванні. Свіжий кисень допомагає організму впоратися з недугою.
Стоматит на мигдалинах фото відображає клінічну картину патології. Як правило, гнійний наліт на мигдалинах провокує сильну біль.
Крім стандартної терапії, необхідно обов’язково обробляти виразки в роті, щоб інфекція не поширювалася. Ретельно підходите до лікування малюка, інакше все може закінчитися хронічною формою.
Намагайтеся полоскати горло антисептичними засобами, відварами трав. Дуже важливо, щоб хворий дотримувався дієти, дотримувався постільний режим. У меню увімкніть мелконарезанного їжу, свіжовичавлений сік, що не буде дратувати слизову.
Щоб організм швидше відновився, приймайте вітаміни. У тому випадку, коли у хворого виникає нестерпний біль, виписують препарати з Пирамидоном. Додатково внутрішньом’язово вводять Пеніцилін.
Щоб позбутися від неприємних симптомів, необхідно як можна частіше полоскати горло відваром шипшини, ромашки. Лікувати захворювання необхідно тільки під наглядом лікарів. Якщо хворий бажає зупинити запальний процес в порожнині рота, можна використовувати різні універсальні засоби, які не зашкодять здоров’ю. Наприклад, добре допомагає содово-сольовий розчин йод.
При стоматиті настій, розчин тримайте кілька хвилин у роті, потім ретельно прополощіть гортань, рот. Для обробки виразок використовуйте розчин перекису, синьки. Необхідно змочити марлю розчин і прикласти до ураженої слизової.
На початку розвитку стоматиту, тонзиліту набряклість знімайте маззю з додаванням Інтерферону. Додатково фахівець призначає Госипол, Флореналевую мазь. До того, як проводите обробку маззю, обов’язково промийте порожнину рота антисептичним розчином, трав’яним настоєм.
Ускладнення після хвороби, фото з поясненнями
На розвиток стоматиту після ангіни впливає кілька чинників:
- наявність вогнищ інфекції в ротовій порожнині;
- лікування захворювань неефективними медикаментозними препаратами;
- ослаблений імунітет.
У багатьох захворювання з’являється при небажанні вчасно звернутися до лікаря і почати лікування, тобто, як багато хто думає: «саме пройде».
Виразки на мигдалинах можуть з’явитися вже після успішного одужання після ангіни. У такому разі їх появі сприяє низька активність імунітету і пригніченість природної мікрофлори.
Після важко перенесеної ангіни, можлива одна з рідкісних форм ускладнень, яка виражається у виникненні стоматиту у ротовій порожнині. Це трапляється у зв’язку зі зниженням місцевого імунітету.
Патогенна мікрофлора спускається з горла і мигдаликів, вражає слизову оболонку рота. А також причиною буває грибкова інфекція, яка дуже часто виникає у зв’язку зі зниженням імунного захисту.
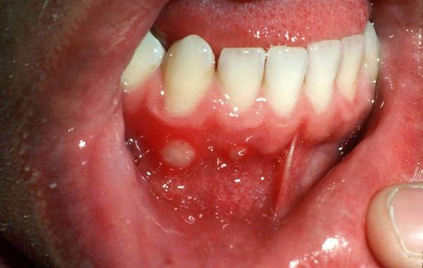
Фото 2. Одне з ускладнень після ангіни – стоматит, у такій ситуації бактерії від мигдалин поширюються далі по ротової порожнини, з-за чого утворюються виразки.
Фото 3. Сама ангіна розташована в горлі, запалення утворюються і гнійнички, які викликають температуру і сильний біль у горлі.
Фото 4. Запалені ділянки розташовується на небі і горлі, мають малиновий колір з білими вкрапленнями.
https://www.youtube.com/watch?v=RIoKJ_pdP-8
Зниження імунітету може бути пов’язано з:
- хронічними захворюваннями;
- недотриманням гігієни рота;
- вираженою алергічною реакцією на що-небудь;
- ГРВІ;
- алкоголізацією або курінням;
- первинним або вторинним імунодефіцитом.
Лікування стоматиту після ангіни
Важливо! Діагностикою причини розвитку стоматиту, а також призначенням лікування повинен займатися тільки лікар.
Так як захворювання пов’язане зі зниженням місцевого імунітету, призначаються місцеві антисептичні, протигрибкові розчини та мазі для обробки виразок. В іншому, лікування повинно бути симптоматичним, спрямованих на полегшення самопочуття.
Медикаменти для прийому всередину
Як лікувати стоматитный тонзиліт? Етапи терапії.
- Гортань слід регулярно обробляти антисептичними розчинами. Перерви між процедурами повинні становити 1-2 години. Орошувати горло можна такими розчинами, як «Фурацилін», водою з морською або солоної сіллю, перекисом водню.
- Щоб зняти запальний процес, рекомендується застосовувати спреї «Інгаліпт», «Пропосол».
- Послаблюють больові спазми в гортані такі ліки, як «Лизобакт», «Стрепсілс».
- Вітамінні комплекси підбираються з віком, вони необхідні для зміцнення захисних функцій організму.
- Антигитстаминные медикаменти знижують ризик виникнення алергічних реакцій. Популярні засоби від алергії – «Зіртек», «Цетрин».
- Щоб знизити температуру вживають препарати на основі парацетамолу, приміром, «Ибуклин», «Нурофен». Вони також актуальні при вірусної ангіні.
- При бактеріальному тонзиліті, як правило, доктор виписує антибактеріальні засоби. Найбільш актуальні медикаменти пеніцилінового ряду, але у випадку тяжких течій патології, алергічних реакціях, виписують макроліди та цефалоспорини.
Комплексне лікування включає прийом противірусних ліків. Відмінно зарекомендував себе Бонаферон (приймайте протягом 5 днів). Для того, щоб вивести токсини, зміцнити імунітет, потрібно приймати антигістамінні лікарські засоби – Супрастин, Димедрол, а також препарати з кальцієм.
Отже, ангіна та стоматит – неприємні недуги, які призводять до різних ускладнень, тому так важливо вчасно вжити заходів.
Комплексна терапія стоматитной ангіни включає в себе противірусні ліки, наприклад, Бонаферона. Один цикл прийому медикаменту тривати п’ять днів. Щоб позбутися від токсинів і зміцнити імунну систему лікарі призначають антигістамінні препарати (димедрол, супрастин та ін
), вітаміни, ліки, що містять кальцій. Фахівці також призначають медикаментозні засоби з продігіозаном, ін’єкції лізоциму. При лікуванні гострої форми хвороби лікарі рекомендують приймати антибіотики.
Хворому необхідно є вітамінізовану, калорійну їжу, пити теплі напої у великих кількостях, вживати поросяти, ягняти негарячі страви, полоскати ротову порожнину після кожної трапези.
УВАГА! Інформація на сайті представлена виключно для ознайомлення! Жоден сайт не зможе заочно вирішити Вашу проблему. Рекомендуємо звернутися до лікаря за подальшою консультацією і лікуванням.
Характер і причини захворювань
Існує кілька основних факторів, здатних спровокувати виникнення стоматитной ангіни, при якій запалення мигдалин є наслідком стоматиту. Серед них:
- Ослаблення імунітету.
- Тривалий прийом антибіотиків в анамнезі.
- Наявність вогнищ інфекції в ротовій порожнині, наприклад, каріозних зубів тощо
Що стосується стоматиту, який має вторинний характер і виникає на тлі наявної ангіни або незабаром після одужання, то його найчастіше провокує сильне падіння імунітету і порушення повноцінної мікрофлори ротової порожнини, викликане прийомом антибіотиків.
В тому, як відрізнити стоматит від ангіни, чудово допомагають розібратися вже одні тільки їх визначення. Як вже було сказано вище, ангіна являє собою гостру форму прояву інфекційного захворювання під назвою тонзиліт.
Причинами виникнення даної хвороби є мікроорганізми-збудники, якими, в залежності від виду можуть бути віруси, грибок або бактерії. Найбільш поширеним збудником ангіни вважається бактерія стрептокока, яка, нерідко, протягом досить тривалого часу, може бути присутнім у тканинах піднебінних мигдалин і верхніх дихальних шляхів, не приводячи до хвороби.
Причиною переродження певної кількості шкідливих бактерій в небезпечне інфекційне захворювання, яке може мати наслідки для життєво-важливих органів і навіть цілих систем організму, є створення відповідних умов, можна сказати, оптимального середовища для розвитку ангіни.
Саме тому, у переліку причин, що призводять до гострого тонзиллиту, значаться ще й додаткові фактори. До них відносяться: ослаблений (з різних причин) імунітет організму, перенесені раніше інфекційні хвороби, високий рівень стресу, перевтома, не до кінця вилікувані захворювання порожнини рота, наявність шкідливих звичок (куріння, зловживання алкоголем).

Тим часом, стоматит являє собою запальне захворювання слизової оболонки порожнини рота. Іншими словами, досить часто, наявність такого захворювання, як стоматит, є умовою для розвитку ангіни при некоректному або повністю відсутньому лікуванні.
Хоча, часто неважливо, яке захворювання розвивається першим, стоматит або ангіна. Також, як гострий тонзиліт може наступати після запалення слизової порожнини рота, в якості вторинної патології, так і стоматит може розвиватися після ангіни.
Тонзиліт – запалення мигдалин, яке найчастіше провокується хвороботворними бактеріями.
Захворювання може бути гострим або хронічним, без терапії викликає ускладнення на серце і суглоби (ревматизм), частіше спостерігається у дітей у віці до 18 років.
Стоматит – виразкове запалення слизових оболонок рота, яке може статися як у дитини, так і у дорослого, механізм виникнення і причини якого ще не повністю вивчені.

На думку лікарів, хвороба пов’язана з реакцією імунної системи людини на певні подразники (бактерії, віруси, алергени, токсини тощо).
Стоматит при ангіні – цілком поширене явище. Більше скажу, ці хвороби можуть провокувати один одного.
Але буває і так, що у людини розвивається щось одне і він не може самостійно визначити, що саме, з-за чого починає лікуватися неправильно, чим ще більше посилює свій стан.
Крім стандартного тонзиліту, з подібними ускладненнями протікає герпетичний вірусний тонзиліт і запалення рота на тлі ангіни (герпесной) спостерігається набагато частіше, чим на тлі бактеріальної.
• за результатами спеціальних аналізів.
Розпізнати і розрізнити ці патологічні процеси неважко, до того ж вони цілком успішно виліковуються. Однак без допомоги кваліфікованого медичного фахівця не обійтися, інакше можна посилити захворювання і викликати виникнення неприємних ускладнень.
Часто стоматит при ангіні у дітей розвивається на тлі бактеріальної інфекції – стафілококової, стрептококової та ін. Але іноді виникнення хвороби відбувається на тлі безконтрольного прийому протимікробних засобів при тонзиліті.
Факторами, що призводять до розвитку стоматиту при ангіні у дітей і дорослих, можуть виступати:
- недотримання правил гігієни ротової порожнини;
- переохолодження;
- опік слизової ротоглотки;
- зловживання гострою і солоним;
- травми слизових оболонок рота або мигдалин.

Ангіна і стоматит одночасно у дитини часто виникають через звички пхати пальці, іграшки та інші сторонні предмети в рот. Причому спочатку відбувається розвиток стоматиту, а вже на його тлі виникає катаральна або навіть гнійна ангіна.
- ослаблений імунітет;
- виснаження організму;
- хронічні захворювання;
- задавнені недуги ротової порожнини;
- шкідливі звички.
Основною причиною розвитку стоматиту від ангіни є ослаблення захисних властивостей організму. Якщо два недуги з’явилися одночасно, їх симптоматика більш важка. Виникають:
- виразкові новоутворення;
- набряки лімфатичних вузлів;
- поява крові в слині;
- погіршення сну і апетиту;
- хворобливі відчуття при повороті шиї;
- ломота зчленувань;
- нудота.
Щоб зрозуміти, яке саме захворювання турбує хворого: стоматит або ангіна, насамперед слід ознайомитися з кожним недугою окремо. Ангіна є гострим запаленням неба, носоглоткової і язичної мигдалин.
Відносять ангіну до інфекційно-алергічних хвороб гострої форми. Вона буває гнійна, герпесная, вірусна і виникає при прямому контакті з хворим, може передаватися через питво, їжу або через повітря і слину хворого.
Нерідко гострий тонзиліт може виникнути в результаті сильного переохолодження або супроводжувати таких захворювань, як анемія, скарлатина, грип або дифтерія. Симптоми і лікування вірусної, гнійної ангіни, інших її форм повинен встановлювати виключно лікар.

Стоматит являє собою ураження слизової оболонки ротової порожнини, яке виникає у зв’язку з реакцією імунної системи на зовнішні подразники. Стоматит зустрічається як у дорослих, так і у дітей і може бути:
- бактеріальний, викликане стафілококами і стрептококами;
- вірусний, при якому відбувається ураження вірусом Епштейн-Барра або простого герпесу;
- грибковий, часто з’являється після тривалого вживання антибіотиків;
- променевої, є результатом променевого недуги;
- хімічний, являє собою опіки ротової порожнини кислотою або лугом.
Антисептичні препарати
До такої групи належать протимікробні засоби, які затримують розвиток патогенних мікроорганізмів, також вбивають мікроби. Коли бактерії перестають розвиватися, бактерицидний вплив діє на повну потужність, вони повністю гинуть.
Які засоби антисептичної дії ефективні при тонзиліті?
- «Хлорамін Б». Ліки виглядає у формі жовтуватого порошку, володіє слабким запахом хлору. Медикамент використовують для лікування виразок, екзем на слизовій гортані.
- «Паноцид». Випускається у вигляді таблеток, кожна з них містить у собі хлор. Ліки застосовується у вигляді антисептика, спринцювання і обробки ранок.
Антисептичні препарати обов’язкові до прийому за стоматитном тонзиліті. Дозування та графік прийому призначає лікар.
Провокуючі фактори
Стоматит легко виникає у людей зі слабким організмом, які не надто піклуються про своє здоров’я або ж відновлюються після важких хвороб, оперативних втручань та ін. Ризик хвороби високий у дітей і літніх людей. Посприяти виникненню захворювання може:
- Дистрофія.
- Шкідливі звички. У дорослих до них можна віднести зловживання алкоголем і куріння, а у дітей — манеру тримати пальці в роті або ж пробувати всі предмети «на зуб».
- Регулярні переохолодження, недостатньо правильний спосіб життя, а також нездорове харчування.
- Психоемоційне напруження.
- Недостатній догляд за ротовою порожниною.
- Праця в умовах високої шкідливості.
Рецепти народної медицини

«Бабусині» методи лікування тонзиліту користуються попитом і в сьогоднішні дні. Такі рецепти славляться своєю простотою, практично відсутністю побічних ефектів, високою ефективністю.
- Обробка гортані прискорить процес одужання. Чим рекомендують полоскати ротоглотку?
- лимонною кислотою;
- сольовим розчином;
- картопляним або морквяним соком (їх можна змішувати);
- буряковий сік з додаванням оцту;
- настій з бузини;
- відвар евкаліпта;
- яєчний білок також добре знімає запалення, його потрібно збити в склянці, додати 1 десертну ложку солі.
Цими засобами можна обробляти ротоглотку 5-10 разів в день. Вони допоможуть послабити больові відчуття, посприяють погашення запального процесу.
- Щоб підвищити імунітет і надати протимікробну дію на організм, необхідно вживати чай з шипшиною, лимоном, журавлиною, брусницею, чебрецем, липою та медом.
- Ингалировать дихальні шляхи можна з допомогою соснових бруньок, трав’яних відварів, часнику і «Зірочки».
Народні зілля не є самостійним методом лікування патології. В ряді випадків вони здатні викликати алергічну реакцію. Щоб уникнути небажаних змін в організмі, необхідно попередньо порадитися з лікарем.
• відвар квіток ромашки – для полоскання горла і ротової порожнини;
• відвар кори дуба – застосовується таким же чином, має в’яжучу дію;
• відвар шипшини – приймається всередину для зміцнення імунної системи;
• масло обліпихи – прискорює регенерацію слизових.
Народні лікарські засоби не можна приймати при наявності алергії на трави або на інші компоненти складу, інакше симптоми запалення епітелію всередині рота стануть більш вираженими і важкими.
На цьому все, дорогі читачі. Тепер ви знаєте, що ангіна і стоматит одночасно цілком можуть бути у людини. Якщо залишилися запитання, задавайте їх у коментарях під статтею та діліться своїм досвідом.
Діагностика
Діагностику повинен проводити тільки компетентний фахівець: він огляне пацієнта, призначить аналізи. Діагностика недуги включає в себе різні дослідження, (цитологічні, імунологічні та інші), огляд ротової порожнини.
Комплексні дослідження допоможуть встановити причину появи захворювання, а потім визначити методи лікування і призначити медикаментозні засоби. При появі перших ознак запалення необхідно якнайшвидше звернутися до лікаря.
Не можна запускати хворобу, так як це загрожує серйозними наслідками. Самолікування також вкрай небезпечно для здоров’я хворого. Варіанти терапії, призначеної лікарем, будуть залежати від причини захворювання і стану пацієнта.
Зазвичай діагноз стоматитная ангіна лікарі можуть поставити після уважного огляду пацієнта та збору анамнезу. При огляді медики звертають увагу на характерні виразки на різних ділянках ротової порожнини і мигдалинах.
Як відрізнити?
Досвідчений лікар може відрізнити звичайну ангіну, ускладнену стоматитом, від стоматитной ангіни без всякого праці:
- Якщо мова йде про звичайне тонзиліті, то перші його ознаки — висока температура, сильний біль у горлі, набряк мигдаликів. Виразки в ротовій порожнині можуть з’явитися через кілька днів і бути по суті ускладненням первинної хвороби.
- Якщо у пацієнта розвивається стоматитный тонзиліт, то спочатку у нього в ротовій порожнині (на щоках і яснах) з’являються виразки, які згодом можуть переходити на мигдалики, викликаючи їх запалення.

Стоматолога досить поглянути на загальну клінічну картину захворювання, уважно оглянути пацієнта і прислухатися до його скарг, щоб діагностувати стоматит.
У рідкісних випадках лікарі призначають лабораторну діагностику. Сюди входить бакпосів мазка або зіскрібка, ПЛР-дослідження на герпес, кандидоз. Якщо хвороба не буде піддаватися лікуванню, необхідно пройти обстеження на наявність системних захворювань.
Не варто займатися самолікуванням, краще всього, щоб лікар призначив курс терапії. З метою діагностики використовуються імунологічні, цитологічні дослідження, уважно оглядається порожнину рота. Комплексне лікування дає можливість дізнатися причину хвороби, потім підібрати необхідні лікарські препарати.
Не запускайте патологію, інакше все закінчиться серйозними наслідками. Неадекватне лікування призведе до тяжких наслідків, ще більше ускладнить захворювання. Все може закінчитися серйозними і неприємними наслідками.
При розвитку тонзиліту разом зі стоматитом дитині, як і дорослому, потрібна кваліфікована медична допомога. Для діагностики часто буває досить провести ретельний огляд ротової порожнини та слизової оболонки мигдаликів.
Обов’язковим заходом є проведення загальноклінічного аналізу крові. При стоматитном тонзиліті відзначається збільшення кількості лейкоцитів у біоматериалі.
Гнійна ангіна і стоматит у дитини вимагає особливої уваги з боку лікаря. В цьому випадку проводиться мазок на бакпосів. За допомогою бактеріологічного дослідження визначається тип патогенної мікрофлори, який викликав розвиток тонзиліту.

Відрізнити стоматит від ангіни може тільки фахівець після проведення всіх необхідних досліджень. Тільки після діагностичних заходів доктор підбирає необхідні лікарські засоби та методи лікування. Для постановки диференціального діагнозу лікаря необхідно:
- оглянути пацієнта і зібрати докладний анамнез;
- оцінити результати цитологічного дослідження матеріалу з уражених ділянок;
- розшифрувати імунологічний аналіз.
Хто найчастіше піддається хвороби?
Будь-яке захворювання чревате ускладненнями, якщо його не лікувати. Стоматитный тонзиліт викликає ряд наслідків, які можна уникнути, якщо чітко слідувати рекомендаціям лікаря.
Прогресування хвороби призводить до ряду наслідків:
- удушення;
- ураження серцевого м’яза;
- перикардит;
- ускладнення на суглоби;
- кровотечі з мигдалин;
- рубцювання ротоглотки;
- проблеми із зором.
Такі ускладнення частіше розвиваються у дітей до 15 років. Нерідко патологія набуває хронічне протягом, з яким боротися набагато складніше.
Тонзиліт, стоматит найчастіше вражає слабкий організм. Найчастіше патологію виявляють у людей з низьким імунітетом. Захворювання вражає виснажений організм, розвивається при дистрофії. Також проблема може бути спровокована пародонтозом.
Відсутність грамотного лікування може призвести до розвитку кандидозної, герпесной, афтозний форми захворювання. Щоб вилікувати «сильні» (вище названі) стоматити, доведеться застосовувати сильнодіючі препарати.
Кандидозний являє собою інфекційне захворювання, яке може виникнути внаслідок ненормованого прийому антибіотиків, при недотриманні правил особистої гігієни, під час вживання в їжу брудних овочів і фруктів.
Афтозний – саме, мабуть, важке захворювання, яке може тривати протягом декількох років. Лікування може не дати позитивного результату, і рецидив захворювання знову з’явиться. Під час афтозного запалення слизової порожнини рота спостерігається посилене слиновиділення, почервоніння слизової, набряки, поодинокі та численні виразки.
Профілактика і заходи
Лікування стоматитной ангіни передбачає постільний режим, емоційний спокій. Чоловік повинен бути вкрай обережним, необхідно виконувати такі правила:
- харчуватися легкою їжею (кашами, пюре, супами);
- виключити куріння, вживання алкоголю;
- їсти багато фруктів, овочів;
- пити багато рідини (морсів, компотів, трав’яних чай);
- зволожувати повітря в кімнаті, так як в сухому кисні розмножуються бактерії;
- проводити щоденне вологе прибирання.
Профілактичні заходи допоможуть підвищити імунітет, зміцнити організм після перенесеного патологічного процесу. Лікарі рекомендують зрошувати ротову порожнину антисептичними розчинами до тих пір, поки виразки не заживуть.
Також радять проводити медичну профілактику. У неї входять вакцинації в період сезонних спалахів хвороб, планові обстеження. Закріпити результат лікування допоможуть фізіотерапевтичні процедури.
Навіть при повному лікуванні захворювання необхідно знати, що стоматит може з’явитися знову. Тому, щоб не допустити повторного зараження, потрібно дотримуватися правил особистої гігієни і проводити профілактичні заходи.
Профілактика запалення слизової полягає в:
- Щоденне очищення зубів від нальоту. Чистити зуби потрібно вранці і ввечері. Якщо є брекети або протези, необхідна більш ретельна гігієна.
- Один раз в півроку рекомендується відвідувати стоматолога.
- Їжа повинна бути збалансована за наявності вітамінів і мікроелементів.
- З раціону харчування бажано прибрати солоні, гострі, пряні страви. Вони дратують слизову і травмують її.
Хвороба може виникнути в результаті зниження імунітету, тому щодня потрібно вживати заходів для зміцнення імунної системи. Слід відмовитися від виснажливих дієт, шкідливих звичок, бажано зберігати спокій у будь-якій життєвій ситуації і захистити себе від стресів.
При розвитку захворювання важливо звернутися до лікаря за призначенням правильного лікування. Добрий результат можна отримати, застосовуючи для лікування народні засоби, проте слід знати, що герпесный і кандидозний стоматити не можна вилікувати рецептами народної медицини, так як поява недуг носить вірусний і грибковий характер.