Чому у жінок з’являються поліпи в матці
Поліпи в матці з’являються в тканинах ендометрію та бувають декількох видів:
- За місцем розташування — в цервікальному каналі та тканинах.
- За будовою — аденоматозні, фіброзні, залізисті та ін.
В репродуктивному віці для жінок характерне утворення залізистих поліпів, фіброзних — для тих, у кого настав період менопаузи, вони викликають особливу тривогу у гінекологів. А ось аденоматозні потребують додаткового обстеження, оскільки утворюється поліп здатний перерости в онкологічні освіти.
Можуть виникати із-за того, що в організмі відбувається серйозний дисбаланс гормонів. Тільки лікар може сказати, чому з’являються поліпи, які причини їх викликають. Найпоширенішими серед них є:
- порушення нейроендокринних процесів;
- підвищення тиску;
- частота абортів;
- травми слизової матки;
- цукровий діабет;
- вагітність, з-за чого утворюються поліпи. У цей період найбільш поширені освіти в цервікальному каналі, і вкрай рідко в тканинах ендометрію.
Поліпом називають доброякісне утворення грибообразной форми, яке виникає в матці через збільшення її слизової оболонки і сполучних тканин. Поліпи можуть з’являтися на шийці і тілі матки, найчастіше виникають у жінок у віці від 40 до 50 років в період менопаузи.

У більшості випадків, поліпоз не представляє серйозної загрози жіночому здоров’ю, проте, в окремих випадках при відсутності лікування, здатна переродитися в злоякісну пухлину.
Виділяють наступні види поліпів:
- Фіброзний — з’являється у жінок зрілого віку в період клімаксу, внаслідок зміни гормонального фону і розростання сполучних тканин матки.
- Залозистий – зустрічається у молодих жінок і дівчат із-за розростання залоз, нагадує кісту, заповнений рідиною.
- Фіброзно-залозистий – являє собою симбіоз перших двох видів.
- Аденоматозный – з’являється з атипових клітин, вважається самим небезпечним, оскільки може переродитися в злоякісну пухлину.
- Плацентарний – виникає після пологів з клітин не повністю видаленої плаценти.
Чому у жінок з’являються поліпи в матці
Жінки, у яких діагностується таке захворювання, цікавляться у лікаря, чим небезпечні поліпи в матці, як вони могли з’явитися. Відповідь на перше питання завжди буде один — небезпечні, оскільки часто стають причиною передракового стану.
Поліпи здатні викликати порушення менструації, стати причиною безпліддя, труднощі з перебігом вагітності. Порушення циклу відбувається із-за того, що настає серйозний збій гормонів в організмі, в результаті чого менструації стають нерегулярними або сильними. Тому жінка може відчувати постійну втому, слабкість або втрачати свідомість.
Симптоматика протікання і діагностика захворювання. Враховуючи, що поліпи можуть утворитися з різних причин і деякий час зовсім не викликати занепокоєння, потрібно знати основні симптоми, щоб розуміти, чим небезпечний поліп в матці, як його виявити і що потрібно робити.
Запідозрити наявність такого захворювання дуже непросто, тому потрібно в першу чергу регулярно відвідувати гінеколога. Також часто поліп сигналізує про себе межменструальными кров’янистими виділеннями. Іноді кров з’являється під час статевого акту або після його закінчення.
В цервікальному каналі поліпи видно з допомогою дзеркал, які необхідні лікарю, щоб зробити обстеження.Зазвичай такі симптоми з’являються, якщо нарости мають великі розміри. Маленькі можна побачити тільки на огляді у гінеколога або під час діагностики.
Лікар запідозрив утворення поліпів, відправляє жінку на спеціальне обстеження. По-перше, це повинна бути эхоскопия. По-друге, проводиться гістероскопія матки. Це найбільш дієвий метод виявлення поліпів, надає багато інформації про стан матки, тканинах, утвореннях.
Эхограмма допомагає побачити поліпи, які досягають у розмірі 2,5 см, а гістероскопія підходить для виявлення поліпів різного розміру.По-третє, діагностується за допомогою ультразвуку. По-четверте, застосовується рентген, який проводиться за допомогою контрасту.
Головна мета будь-якої проведеної діагностики — це встановити характер освіти — доброякісний або злоякісний. Особливо це небезпечно для жінок, у яких настала менопауза.
Діагностика
- Порушення циклу – менструації проходять із занадто великою перервою або йдуть занадто часто.
- Рясні кров’янисті виділення під час місячних.
- У перервах між менструаціями спостерігаються рясні білі.
- Кров під час або після статевого контакту.
- Кров’яні виділення в перервах між менструаціями.
- Неприємні больові відчуття в нижній частині живота.
- Труднощі з процесом запліднення, безпліддя у жінок репродуктивного віку.
Деколи явні ознаки поліпа в матці відсутні, і хвороба протікає безсимптомно, її можна виявити лише випадково. Для цього існують різні способи діагностики:
- Огляд гінеколога. Поліпи на шийці матки можуть бути виявлені при відвідуванні гінеколога, тоді як утворення на тілі жіночого органу таким способом не діагностуються.
- УЗД малого тазу. При УЗД-обстеженні фахівець виявляє розширення порожнини, наявність захворювання на тілі матки.
- Гістероскопія. Таке обстеження призначається якщо є підозра присутності поліпів. Воно проводиться з застосуванням гнучкого приладу, обладнаного відеокамерою, який вводиться в порожнину жіночого органу і дозволяє побачити освіти, схожі на гриби рожевого, жовтого або багряного кольору. Гістероскопія не тільки виявляє наявність поліпів, але також дозволяє встановити їх розмір і при необхідності видалити.
- МРТ – один з найбільш точних методів діагностики. Проте, через високу вартість процедури, призначають лише при підозрі онкологічного захворювання.
- Цитологія – паркан мазка з полоти матки для виявлення аномальних клітин. Проводиться за допомогою спеціального приладу.
- Біопсія – мабуть, самий точний метод діагностики. Для аналізу забираються тканини, які досліджуються в лабораторії і дають повну картину про тип, структуру і причини появи поліпозу.
- Аналіз на гормони. Оскільки поліпи частіше за все є наслідком гормональних порушень, таке дослідження необхідно для призначення правильного лікування.
Оптимальним варіантом при виявленні поліпів, є їх видалення, але на сьогоднішній день є можливість медикаментозного лікування. Як правило, воно спрямоване на усунення неприємних симптомів хвороби і придушення нових утворень.
Для проведення комплексного лікування призначають гормональні препарати, вітаміни групи В, а для усунення больових симптомів — знеболюючі. Щоб зупинити розростання поліпів, застосовують:
- Гестагени, покликані заповнити гормон прогестерон. Препарати приймаються протягом 3 місяців.
- Комбінація оральних контрацептивів. Ці ліки застосовуються для лікування залозисто-кістозних і залізистих поліпів у молодих жінок. Курс прийому не менше 3 тижнів.
- Антибіотики призначаються, якщо поліпи викликані хронічною інфекцією.
Для того, щоб почати лікувальну терапію проти якогось захворювання, необхідно провести повну діагностику. Це необхідно для того, щоб точно визначити патологію, і проводити лікувальні заходи. Існує основні пункти для діагностики поліпа матки. Найважливішими з них є:
- Діагностичний огляд зовнішніх органів репродуктивної системи.
- Дослідження в дзеркалах шийки матки і піхви.
- Бімануальне дослідження.
- Ультразвукове обстеження пацієнтки.
- Застосування гістероскопа.
- Метрография.
- Гістологічне обстеження.
Крім основних методів діагностики існує і додаткові. Вони необхідні для уточнення попереднього діагнозу.

Другорядні методи діагностики:
- Застосування кольпоскопа.
- Взяття матеріалу для виключення ракових клітин.
- Клінічний аналіз крові.
- Дослідження сечі.
Ознаки поліпа в матці? Під час проведення клінічного огляду спостерігаються наступні діагностичні ознаки:
- Поява різних за характером болю, які притаманні під час сексу або після нього.
- Больовий синдром в області живота, нижче пупка. Характер болю є виключно кістками.
- Гострі болі під час настання місячних.
- Порушення менструального циклу.
- Рясне виділення кров’яних згустків під час наступу циклу менструації (менометроррагии). Також виділення крові спостерігається між менструальними періодами.
- Неприємні кров’янисті виділення після статевого акту.
- При запаленні поліпа спостерігаються неприємні виділення білястого або жовтого відтінку. Запах при цьому смердючого характеру. Якість жінки при даній симптоматиці різко погіршується.
- Велика кількість виділюваного слизового характеру.
Використовуючи фізикальні методи діагностики, проводиться безпосередньо:
- Огляд зовні статевих органів.
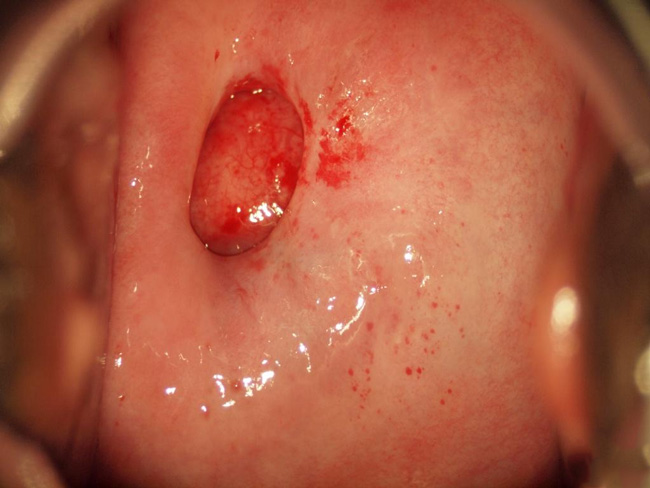
- Шляхом дзеркал вивчення шийки матки і піхви. При даному методі спостерігається формування, який оформлений і має чітке розмежування. За формою нагадує грушу, поверхня якої, гладковато. Колір даного новоутворення світло-червоного кольору.
- Вагінальне обстеження.
Але серед усіх методів дослідження вирішальним і ставить крапку в діагностики жінки є забір гістологічного матеріалу.
Ультразвукове дослідження дає можливість доктору визначити ступінь розширення шару матки зсередини, а також присутність різних новоутворень в жіночому органі – поліпів. Апарати останніх моделей, які мають різні діагностичні доступи високого рівня обстежити жінку і виявляти навіть поліпи невеликих розмірів. Частіше за тих, які не виходять за межі зіву зовнішньої порожнини.
Гістероскопія необхідна для того, щоб визначити рівень ураження поліпів, точні розміри і форма. Поліпи фіброзного походження на гістероскопії діагностуються, як утворення округлих і блідих форм.
При цьому розміри невеликі, близько 5-10 міліметрів у діаметрі. При цьому завжди присутній ніжка, досить щільна і кілька гладка. Васкуляризація даних поліпів на низькому рівні. Дуже часто відбувається помилкове обстеження гістероскопічних методом.
При наявності поліпів великих розмірів іноді плутають з слизової оболонкою, яка кілька атрофична. Також дані поліпи дуже тісно прикріплені до стінки органу. Якщо виявили поліп, то його потрібно повністю вивчити.
Обов’язково потрібно підрахувати розміри, локальність і довжину ніжки. Необхідно проводити диференціальну діагностику поліпів фіброзного походження і вузлів миоматозного генезу, які розташовані під слизовою оболонкою.
Перш чим приступати до лікування поліпів шийки матки, слід провести ряд обстежень, які допоможуть виявити повну картину проблеми. Для цього проводять такі аналізи:
- Сечі на визначення стану печінки і нирок, а також виявлення кровотечі;
- Бактеріологічний мазок. Визначення інфекцій.
- Аналіз гормонів.
- Гістологія біологічного матеріалу поліпа. Визначення виду освіти. При аденоматозном поліпи рекомендують видалення поліпа шийки матки.
- КТ і МРТ. Ціна такого методу діагностування новоутворень досить висока. Зазвичай проводять при підозрі на онкологію.

Також рекомендують провести дослідження, спрямоване на визначення стану маткової слизової. В якості інструментальної діагностики використовують:
- Кольпоскопію. Гінекологічний огляд за допомогою дзеркальця. Дає можливість побачити освіта з розміром від одного сантиметра.
- УЗД. Ультразвукова діагностика статевих органів може проводитися черевний або трансвагінальним способом. Останній метод УЗД дозволяє побачити поліп шийки матки.
- Гістероскопія поліпа матки. Під час процедури діагностики у піхву вводиться фиброскоп (гнучка трубка з камерою на кінці). Завдяки цьому можна побачити всі новоутворення, визначити їх розміри, а також виявити ризик небезпечного для життя переродження.
Один з найбільш безболісних методів діагностики поліпів матки — ультразвукове дослідження (УЗД). Однак введення спеціального датчика в матку дає більш достовірні результати. Таким способом можна легко розглянути наявність і характер поліпів.
Але бувають випадки, при яких лікар може наполягти і на процедурі гістероскопії. Ця процедура являє собою введення трубки в порожнину матки з мініатюрною камерою на кінці. Таким же методом береться аналіз для біопсії (дослідження характеру поліпа).
Обстеження з приводу поліпів матки включає збір гінекологічного та репродуктивного анамнезу, проведення піхвового огляду, УЗД малого тазу, гістероскопії і метрографии, роздільного діагностичного вишкрібання з гістологічним дослідженням ендометрія.
При гінекологічному огляді в дзеркалах можна виявити поліпи шийки матки, в той час як поліпи ендометрію зазвичай недоступні візуалізації та пальпації. При проведенні УЗД малого тазу звертає увагу наявність розширеної порожнини матки, потовщення ендометрія з чіткими розростаннями слизової однорідної структури.
Стандартом обстеження при поліпах матки є проведення гістероскопії – огляду порожнини матки гнучким приладом з відеокамерою, введеним через цервікальний канал. При цьому візуально в порожнині матки визначаються поодинокі або множинні, округлі або довгасті освіти, колір яких може бути блідо-рожевим, жовтим або темно-червоним. З допомогою гістероскопії визначається кількість, розміри, місце розташування поліпів, а також проводиться їх одномоментне видалення під візуальним контролем з подальшою морфологічної верифікації діагнозу.
Для отримання зразків тканин також проводиться діагностичне вишкрібання ендометрія. В процесі метрографии – рентгенографії порожнини матки з контрастним речовиною виявляються нерівні контури порожнини матки та наявність у них полиповидных виростів. Перед плануванням трансцервикального видалення поліпів матки потрібне обстеження жінки на інфекції (мікоплазмоз, хламідіоз, гонорею, трихомоніаз, кандидоз), бактеріологічне, онкоцитологічене і мікроскопічне дослідження мазків із статевих шляхів.
Які є види поліпів у матці
Класифікація поліпів залежить від їх будови і місця ураження. Фахівці виділяють наступні види освіти:
- дислокуються в шийці або в тілі матки;
- залізисті поліпи;
- фіброзні поліпи;
- залозисто-фіброзні поліпи;
- аденоми;
- плацентарні поліпи.
Зазначені освіти можуть бути поодинокими або розростатися в групу. Розміри варіюються від кількох міліметрів до кількох сантиметрів.
Поліп тіла матки можна умовно поділити на види за кількома ознаками.
- По структурі:
- залізисті, які виникають з залізистих клітин. Вони найчастіше з’являються у дівчат і молодих жінок. По виду вони можуть представляти кісту, наповнену рідиною;
- залозисто-фіброзні поліпи складаються з клітин маткових залоз і сполучної тканини. На дотик вони більш жорсткі і являють собою такі ж поліпи, що і залізисті, але більш щільні через обростання сполучною тканиною;
- атипові поліпи.
- За будовою:
- поліпи з широкою основою;
- поліпи з тонкою ніжкою.
Перші два підвиди не представляють для здоров’я жінки великій небезпеці. А ось третій вид (атиповий), його ще називають аденоматозним по поліпом, — це вже предонкологическое утворення, яке потребує невідкладного оперативного втручання. Цей тип потрібно обов’язково видаляти — і чим раніше, тим краще.
Всі поліпи, як правило, виникають на тлі гормонального збою, тому нерідкі випадки, коли їх може виявити у себе вагітна жінка. Плоду їх наявність зазвичай не завдає шкоди, але при певних обставинах лікарі можуть настояти на видалення поліпа під час вагітності. Це бажано робити на ранніх термінах, а краще дочекатися народження дитини. Якщо поліпи були вилучені в період вагітності, необхідно перевірити їх наявність у післяпологовий період, так як вони можуть з’явитися знову.
Краще всього видаляти поліпи до настання вагітності. Пройшовши процедуру видалення і відновний період, можна сміливо планувати зачаття без ризику повернення новоутворень.
Існують також і плацентарні поліпи. Вони бувають після абортів, викиднів або ж пологів, при яких не до кінця відійшла плацента.
Які поліпи матки бувають? По різновидах поліпи матки диференціюються на такі види:
- Фіброзні.
- Залізисті.
- Аденоматозні.
- Залозисто – фіброзні.
З усіх поліпів, найчастіше зустрічається фіброзного походження. Діагностується така різновид захворювання у жінок після 45 років. Будова поліпа складається з тканин з’єднувального походження. В деяких випадках виявляються поодинокі залози.
Навпаки, залізисті поліпи зустрічаються у жінок молодшого віку, близько 20-25 років. Утворюються із сполучної тканини ендометрію. Вони ж у свою чергу складаються із залозистого епітелію.
З усіх різновидів поліпів, найбільш несприятливим є аденоматозного походження. Небезпека представляється тим, що вони можуть в швидкі терміни перепролиферироваться в ракову пухлину. Необхідно досконально вивчити дане утворення та не допустити переродження в клітини раку. Деякі лікарі вважають, що даний вид поліпів є передракової стадією.
Останнім видом поліпів є залозисто-фіброзний. Діагностується у жінок у віці 30-35 років. По-іншому його можна назвати змішаною, адже складається з залозистої і сполучної тканини.
Наступні компоненти присутні в будові поліпа матки:
- Судинне повідомлення по центральному каналу.
- Строма новоутворення.
- Заліза ендометріального походження.
Фіброзна строма, яка представляється ніжкою, складається з безлічі судин. Стінки судин досить потовщені. Поверх поліпа обволікається епітеліальною тканиною. Якщо поліп молодий, то він веде себе спокійно.
Але чим старше поліп тіла матки, тим починають виникати попадання інфекції, поява виразок. Результат даних явищ є повний некроз поліпа і біля лежачих тканин. У сукупності всіх процесів, що перераховані вище явища можуть призвести до переродження поліпа в рак матки.
Існує окремий тип поліпів, такий як плацентарний. Він виникає внаслідок важких пологів. Не виключена поява після абортів, викиднів або завмерлої вагітності. Із залишків плаценти відбувається поява даних поліпів.
Диференціювання з іншими поліпами можна провести досить нескладно. Плацентарні поліпи провокують затяжні кровотечі, які дуже складно зупинити. Якщо відбувається проникнення інфекції, то жінка далі не зможе мати дітей.
Дуже погано позначається на організмі жінки гіперпластичний поліп ендометрія в матці, відгуки пацієнток, які видаляли поліпи вкрай позитивні. Зазвичай поліпи вражають матку дифузно. Але в деяких випадках це не так.
Відбувається поступове збільшення, але за межі ураженої ділянки не виходить. З-за цього множинні поліпи не стінці матки починають рости вгору. Даний ізольований процес гіперплазії тканин ендометрія призводить до специфічного локального зростання.
Поліпи можуть розвиватися різними шляхами. Деякі новоутворення ростуть на звичайній слизовій оболонці. А частина може бути складовим процесу гіперплазії. В результаті чого у хворої жінки спостерігається гіперплазія ендометрію як локально на окремому ділянці, так і велике на всьому шарі.
Порушення гормонального фону, зокрема яєчників, що призводить до зростання поліпів в області ендометрію. Це є основним фактом, який призводить до даної патології. Величезна кількість виділення естрогену і мінімальне відтворення гестагену призводить до згубного розвитку гіперплазії ендометрії.
Спостерігається мінімальний прояв клінічних даних щодо поліпа в матці жінки. У деяких випадках симптоматика взагалі не спостерігається. Абсолютно однакові симптоматичні процеси поліпа матки і змін ендометрія гиперпластического походження.
За статистичними даними близько 30% спостерігаються рецидиви у жінок, яким було проведено видалення новоутворення. У більшості випадків це пов’язано з тим, що недостатньо повністю було зроблено видалення поліпа.
Частину ніжки була залишена фахівцем. Вагома частка поліпів у матці є доброякісного походження. Але в будь-якому випадку, переродження в ракові клітини поліпа є актуальним. Жіноча половина людства, у яких діагностовано поліп ендометрію в дні матки, зобов’язані повністю обстежитися, як клінічно, так і лабораторно. Лікування повинно бути зроблено негайно і на якісному рівні.
Поліп, дисплазія шийки матки лікуватися так, щоб позбутися від цього новоутворення. Серед основних методів лікування є оперативний та медикаментозний спосіб. Самого основного методу для купірування даного захворювання не існує. Лікування проводиться для кожного хворого індивідуально.
Які розміри поліпів у матці бувають? Для кожного хворого, для кожної жінки бувають абсолютно індивідуальні. В основному, розмір може варіюватися від 3-4 міліметрів і до 3-4 сантиметрів. Найчастіше діагностується розмірів поліпів близько 0.9 – 1.1 сантиметрів.

Як тільки була проведена остаточна встановлення діагнозу, оперувати потрібно тільки ті поліпи ендометрія в матці у родили, які в розмірах не менше 4 міліметрів. Це стосується також народжували жінок.
Дана цифра є досить рушимой. Адже за певних випадках не завжди звертають увагу на розмір поліпа, а на його динамічний ріст. Навіть якщо проводиться консервативне лікування, а поліп на дні матки все одно зростає, варто в швидкі терміни позбавитися від нього.
Як тільки ви прибрали цей стан необхідно постійно дотримуватися рекомендацій лікаря. Також обов’язковим є періодичне спостереження у свого лікуючого лікаря, щоб динамічно спостерігати стан репродуктивної системи. Необхідно всіляко спостерігати за своїм циклом менструації, уникати стресових станів, а також за загальним станом організму.
Для того щоб точно встановити діагноз, докторові необхідно скористатися міжнародною класифікацією захворювання.
Поліп складається з самого тіла та ніжки, за допомогою якої він кріпиться на слизової стінки матки. Існує кілька видів освіти:
- Фіброзні. Наріст має щільну структуру і складається з клітин сполучної тканини. Зазвичай діагностують у жінок в період менопаузи, як результат гормональної перебудови організму.
- Залізисті. Виникають у молодих жінок. Освіта складається з клітинних структур залозистої тканини. Всередині кістозного утворення часто знаходиться рідина.
- Залозисто-фіброзні. Поліп складається залізистих і сполучних тканин.
- Аденоматозні. Складається з атипово змінених клітинних структур. Такий поліп в порожнині матки схильний до малігнізації.
- Плацентарні. Іноді після пологів в матці залишаються мікроскопічні клітини плаценти, з яких надалі формуються нарости-поліпи.
В інтернеті легко знайти фото з різними видами наросту.
Структура поліпа матки представлена трьома основними компонентами: эндометриальными залозами, ендометріальною стромою та центральним судинним каналом. Поверхня поліпа вкрита епітелієм, ніжка включає фіброзну строму і товстостінні судини. Поліпи матки можуть виразкуватись, інфікуватися, некротизироваться, піддаватися клітинної метаплазії.
По морфологічній структурі прийнято виділяти поліпи матки залозистого, залозисто-фіброзного, фіброзного і аденоматозного типу. Поліпи матки залозистого типу утворені тканиною ендометрію, що містить залози; частіше розвиваються в молодому віці. Залозисто-фіброзні полипозные освіти мікроскопічно представлені залозами ендометрію і сполучною тканиною (стромою); зустрічаються у жінок зрілого віку. Поліпи матки фіброзного типу утворені переважно щільною сполучною тканиною, в якій присутні поодинокі залози; такі поліпи зазвичай діагностуються у жінок старше 40 років. Аденоматозні поліпи матки складаються із залозистого епітелію з ознаками проліферації, структурної перебудови залоз; мають передумови до переходу в рак ендометрію, тому вимагають до себе підвищеної уваги.
Серед поліпів матки окремо розрізняють плацентарні поліпи, які формуються з фрагментів неудаленной повністю плаценти внаслідок ускладненого аборту, пологів, мимовільного переривання вагітності, завмерлої вагітності. Плацентарні поліпи матки виявляються тривалими, рясними кровотечами, що в подальшому може призвести до інфікування і безпліддя.
- Залозистий. Цей вид складається з тканини залоз і здебільшого з’являється у молодих жінок.
- Фіброзний. Такий поліп розвивається із сполучних тканин і проявляється досить часто на тлі інших форм гіперплазії.
- Аденоматозный. Вважається, що це найбільш небезпечний вид поліпів, так як він є свого роду передумовою перетворення клітин у злоякісні пухлини.
- Також існує ще один вид поліпів — матковий. Він утворюється виключного після того, як жінка вже народила, а частина плаценти залишилась в порожнині матки, що призводить до її прирастанию до стінок. Як результат, спостерігається тривалий крововилив.
Які процедури дозволяють виявити поліпи?
Ефективний метод діагностування утворень – це УЗД. Якщо є необхідність уточнити дані, то рекомендується провести дослідження жіночої піхви за допомогою датчика.
Детально розібратися в питанні допоможе процедура гістероскопії. При її проведенні в матку запускається трубка тонкого діаметра, оснащена микрокамерой. Також для діагностики можливе введення в матку спеціального контрастної речовини, після дії якого робиться рентген.
Класифікація за МКХ
Існує основна класифікація, яка застосовується в більшості країнах світу – МКБ. Дана термінологія застосовується в Росії і в інших країнах пострадянського простору. Створено було для того, щоб проводити статистичні дані і враховувати частоту захворюваності з боку населення.
Класифікується поліп матки мкб 10 за таким принципом:
- Фиброзирующий.
- Залозистий.
- Слизовий.
- Аденоматозный (у деяких джерелах вказується, як атиповий).
Поліп тіла матки мкб 10 ділиться на кілька підпунктів. Така диференціювання виробляється за розмірами і формами:
- Крапельний.
- Сплощений.
- Округлий.
Якщо розглядати з боку оформленої ніжки за морфологічною ознакою ділиться на 3 типу:
- Тонкостінний.
- Широка.
- Щільна.
Розміри можуть бути абсолютно різними, в залежності від типу поліпа, який цервікального походження. Деякі можуть досягати величезних розмірів, до 3-4 сантиметрів.
Найчастіше розміри поліпів у жінок зустрічаються близько 5 міліметрів. За своєю забарвленні поліпи зустрічаються абсолютно різних кольорів. Деякі можуть бути рожевого відтінку, білі, пурпурові, навіть синюватого кольору.
Множинні можуть бути також з’являтися в результаті розростання декількох поліпозних груп.
Поліп тіла матки «84 0» вказується в різних документаціях, за Міжнародною Класифікацією Хвороб (МКХ n 84 0 поліп тіла матки). Дана нумерація необхідна для чіткого і швидкого вказання хвороби, для того щоб не було перешкод між іншими лікарями інших країн.
Поліп матки код за мкх 10 має свої винятки. Аденоматозный поліп тіла матки код за мкх 10 має свій окремий шифр (D 28.0). Другим винятком є плацентарний поліп ендометрія в матці мкб 10, який має свій шифр (Про 90.8).
Щоб досконально розібрати дане захворювання необхідно врахувати найважливіші компоненти поліпа. Існує три основних складових: заліза ендометріального походження, строма матки, а також судинний канал централізованого харчування. Оболонка даного новоутворення складає спеціальний епітелій, який захищає від зовнішнього впливу. Опорою поліпа є спеціальна ніжка фіброзного походження, яка зародилася з строми. А також живильним елементом поліпа матки є судини, у яких стінки щільні і еластичні. Якщо відбувається пошкодження і збій будь-яких складових поліпа або його самого, то виникають негативні наслідки для нього, в тому числі незворотні.
Необхідно врахувати той момент, що поліпи бувають не тільки на матці (тіло і шийка), але і в піхві, на вульві, а також в самому цервікальному каналі. Щоб проводити певну диференціацію, необхідно виділяти для кожної патології окремий шифр. Інтервал кодування для всіх поліпів є n80 – n98.
Якщо вивчити підрозділи, то існує деяка послідовність:
- Поліп тіла(n0).
- Поразка поліпом шийки(n1).
- Піхвовий поліп (n2).
- Вульвитный поліп (n3).
- Інші ділянки ураження поліпом репродуктивної системи (n8).
- Ідіопатичний поліп різної локалізації (n9).
Якщо поліпи локалізуються в шийці матки, а саме в самому каналі, то такий вид називається поліп цервікального каналу. Виходячи з цього, за класифікацією поділяються на наступні типи:
- Эпидермизированный.
- Залозистий.
Поліп эпидермизированного походження вистелена епітелієм багатошарового ряду. Цей епітелій за походженням – метапластический. Зустрічається даний тип поліпа в 20% всіх видів новоутворень матки.
Але для того щоб встановити достовірний діагноз, класифікації буде недостатньо. Необхідно знати клінічні прояви недуги.
Лікування
Утворилися поліпи в матці можуть стати причиною ряду важких наслідків для жіночого здоров’я. Виділяють такі патології, появу яких можна пояснити несерйозним ставленням до проблеми:
- анемія – синдром, що супроводжується зниженням рівня гемоглобіну;
- систематичні збої в менструальному циклі;
- неможливість зачати дитину;
- викидні;
- гіпоксія – недостатнє надходження кисню до плоду під час вагітності, що призводить до непоправних порушень в першу чергу ЦНС;
- онкологічні захворювання матки.
Якщо не приймати необхідних заходів і вчасно не вдатися до ефективного лікування, то з великою ймовірністю можуть виникнути серйозні ускладнення, які призведуть до трагічних наслідків.
Сучасний розвиток медичної науки дозволяє боротися з поліпами в матці без хірургічного втручання. Але такий метод лікування припустимо не завжди. Якщо у жінки виявлено одиночний поліп, то спеціальними препаратами успішно вдасться зменшити освіта в розмірах і навіть повністю ліквідувати.
Коли вік пацієнтки досить юний, фахівці вважають за краще не проводити оперативних втручань. Бувають випадки, що утворюються вирости у підлітків, а хірургічне висічення для родили жінок може призвести до негативних наслідків і навіть позначитися на репродуктивній функції.
Препарати гормональної групи допомагають знизити кількість гормону естрогену в організмі і, відповідно, підвищити прогестерон. Внаслідок цього усувається одна з головних причин утворення поліпів і вони з часом висихають і виводяться з організму з місячними.
Після проходження медикаментозного курсу обов’язково потрібно систематично проходити огляди у гінеколога, щоб запобігти розвиток утворень або виявити їх на ранніх стадіях.
Поліп тіла матки лікування вимагає швидкого і неотлагательного. В основному для усунення поліпів використовується хірургічне втручання. Воно є найбільш ефективним методом, особливо якщо жінка:
- безрезультатно пройшла лікування гормонами;
- має поліп розміром більше 1см;
- старше 40 років;
- також термінове оперативне втручання буде потрібно, якщо виявилися нові клітини, що викликають онкологічні захворювання.
Якщо лікар призначив вам операцію по усуненню поліпів, не варто лякатися цієї процедури. Сучасна медицина дозволяє зробити втручання безболісним, не залишає видимих шрамів, а також уникнути великих крововтрат.
- Гистероскопический метод являє собою менш травматичний спосіб лікування. Він призначений для визначення місця розташування поліпів і їх усунення. Вся процедура не займає більше 30 хвилин, жінка може піти додому самостійно в цей же день. Використовується щадна доза наркозу. Цю операцію проводять через пару днів після закінчення місячних, коли стінки матки найбільш тонкі і поліп легко «височить» над ними. Це дає можливість видалити новоутворення цілком. Лікар розкриває шийку матки за допомогою спеціального інструменту, а потім через піхву вводиться гістероскоп, спеціаліст спочатку оглядає з допомогою камери наявність і розташування поліпів. Потім за допомогою спеціальної петлі поліпи видаляються. Місце видалення відразу прижигается рідким азотом або йодом. Видалення поліпа здійснюється викручуванням — шляхом обертання наросту інструментом.
- Лапароскопічний метод здійснюється не через піхву, а через нижню частину живота. Таким методом лікарі можуть видалити матку у разі атипових поліпів. Через невеликий отвір (не більше 2 см) порожнина живота наповнюють вуглекислим газом для збільшення його розміру. Потім лапараскоп вводиться в матку і проводиться аналіз характеру поліпів. Далі віддаляється хворий орган, після чого жінка повинна перебувати на стаціонарному спостереженні лікарів близько тижня. Ця процедура дуже ефективна, якщо провести її вчасно. Завдяки цьому можливе повне запобігання ймовірності раку. Цей процес, завдяки досягненням сучасної медицини, не несе серйозних наслідків для здоров’я жінки, практично не залишає післяопераційних шрамів. Після проведення процедури жінка через 14 днів вже може повернутися до роботи.
Головне пам’ятати, що своєчасний візит до лікаря може усунути проблему на корені. Не варто запускати своє захворювання, тим самим ризикуючи залишитися без матки.
В першу чергу необхідно пройти поглиблене обстеження. Можливо, навіть в декількох лікарів, щоб зібрати якомога більше інформації, оскільки результат може залежати від безлічі факторів, аж до практичного досвіду лікаря.
Невеликі поліпи іноді можуть розсмоктуватися, однак, якщо вони починають розростатися і при цьому збільшується кількість кров’янистих виділень, то найкращий спосіб лікування захворювання поліпи в матці — операція.
Важливо звернути увагу на той факт, що звичайний огляд у гінеколога не здатний виявити хворобу. Для виявлення захворювання застосовуються такі дослідницькі процедури:
- ультразвукове сканування;
- гістероскопія;
- метрография;
- кольпоскопія;
- спермограма.
Розширене
дозволить виявити які-небудь зміни в структурі матки, виявити появу опуклостей і наростів на її поверхні.
Гістероскопія — метод дослідження матки з допомогою тонкого шланга, на кінці якого розташована мініатюрна відеокамера. Завдяки цьому виду діагностики поліп в матці можна легко виявити, їх число і розмір.
Крім того, даний спосіб дозволяє зібрати зразки тканини для обстеження на предмет злоякісних клітин. У разі, якщо в порожнині матки знаходиться дуже велика кількість новоутворень, то застосовується процедура гістеректомія.
Метрография дозволяє зробити рентген порожнини матки, в яку також запроваджується особливий контрастний реагент. В кінцевому підсумку лікар отримує зображення, на якому видно будь структурна зміна матки.
Кольпоскопія— це ще одна процедура, що дозволяє обстежити шийку матки і піхву. Метод проводиться з використанням спеціального приладу — кольпоскопа, здатний провести ретельний гінекологічний огляд.
У разі, якщо виявляються незвичайні утворення на стінках матки, лікар може також взяти частинки аномальних тканин і провести біопсію. Потім проводяться детальні лабораторні дослідження.
Видалення поліпа в матці призначається, якщо освіта не може розсмоктатися самостійно. Процедура представляє з себе особливу «відкручування» поліпа, а потім вишкрібання порожнини матки, застосовується одночасно з гістероскопією.
Найчастіше, щоб належним чином виконати вишкрібання, доводиться розширювати маткову область. Сама гістероскопія проводиться під загальним або місцевим наркозом. Після видалення поліпів у матці можуть спостерігатися незначні болі і не рясні крововиливи, пацієнтка відновлюється приблизно за одну або два тижні.
В якості профілактики пацієнтці рекомендується почати приділяти увагу своєму здоров’ю, фізичним тренуванням, правильно харчуватися і зміцнювати імунітет. Необхідно контролювати свою вагу, так як зайва маса може спровокувати повторну появу.
Лікування поліпів повинно бути призначено виключно лікарем. Це серйозне захворювання, яке вимагає ретельного огляду, і вже в залежності від того, які поліпи в матці, їх розміри та стан в цілому робиться висновок, на основі якого призначається певне індивідуальне лікування.
Для того, щоб привести в норму гормональний рівень, лікуючий лікар може прописати гормональну терапію, а також призначити курс лікування контрацептивними препаратами. Курс триває від трьох до шести місяців і при виникненні необхідності в цьому може бути продовжений.
Вибір препарату здійснюється в залежності від структури наросту, а також від рівня ураження порожнини матки захворюванням. У разі, якщо виникнення поліпів було викликано хронічними запальними процесами, пацієнтці призначається прийом лікарських засобів протизапальної характеру.
Всі призначаються препарати приймаються виключно радам лікаря, так як на особливості прийому впливає величезна кількість факторів, таких як вік пацієнтки, індивідуальні характеристики менструального циклу, наявність другорядних захворювань.
Лікування народними засобами може нести як позитивний результат, так і нульовою, в залежності від ступеня захворювання і додаткових ускладнень. Не варто відтягувати професійний огляд у лікаря, сподіваючись на народні методи.
Поява поліпів підвищує ризик розвитку онкологічних захворювань, так що при виявленні будь-якого виду утворень, необхідно негайно зайнятися лікуванням і з’ясувати, що саме стало причиною виникнення, є різні мутації і зміни в клітинах. Навіть молоді жінки схильні до цього, не кажучи вже про жінок старше 40 років.
Тому застосування народних засобів як основні не тільки малоефективне, а й досить небезпечно. Однак, якщо ж почати лікування ними вже після операції в якості підтримки гормонального рівня і імунітету, то це може принести додатковий позитивний результат.
Для цього можна використовувати різні трави, наприклад, чистотіл, борову матку, брусницю, шипшина, кропиву. Перш чим починати лікування, необхідно проконсультуватися з фітотерапевтом, щоб отримати рекомендації, так як навіть рослинні засоби, по суті, є лікарськими препаратами, а значить мають свої протипоказання, особливості вживання та побічні ефекти.
Користуватися ними рекомендовано виключно схемою, призначеної лікарем. Крім того, існує індивідуальна непереносимість та алергічні реакції на будь-який вид трав. Це може призвести навіть погіршення становища.
Оптимальним методом лікування поліпів матки служить ендоскопічна поліпектомія – видалення утворень в ході гістероскопії з подальшим вишкрібанням ендометрію. Поліпи на ніжці видаляють за допомогою «відкручування», ложе поліпа припікають електрокоагуляції або криогенним методом для виключення рецидивів. Після поліпектомії і вискоблювання на 3-4 добу проводиться контрольне гінекологічне УЗД.
Після гістерорезектоскопії поліпів матки протягом 10 днів можуть відмічатись мажучі кров’янисті виділення зі статевих шляхів, спазматичні болі. Для профілактики інфекції на цей період обмежується сексуальна активність. Подальша лікувальна тактика визначається гистотипом поліпа матки, віком пацієнтки і наявними порушеннями менструального циклу.
При фіброзної структурі поліпа матки і відсутності менструальної дисфункції лікування обмежується полипэктомией з кюретажем матки. Залізисті або залозисто-фіброзні поліпи матки після їх видалення в будь-якому віці вимагають додаткового гормонального лікування. Для нормалізації гормональних процесів проводиться підбір оральної контрацепції (КОК – етинілестрадіол в комбінації з диеногестом або дезогестрелом), встановлення гормонального внутрішньоматкового засобу «Мірена», лікування гестагенами (прогестерон, норетистерон, дидрогестерон).
У разі виявлення аденоматозних поліпів матки потрібно більш радикальне лікування. Жінок пременопаузального та постменопаузального віку проводиться видалення матки – надпіхвова ампутація або гістеректомія. При онконастороженості або наявність ендокринних порушень показано виконання пангистерэктомии – видалення матки з аднексэктомией.
Чи можна вилікуватися від поліпів у матці без оперативного втручання?
Після видалення поліпів, щоб уникнути ризику розвитку ускладнень, слід 1-2 місяці дотримуватися певних правил:
- Не можна приймати гарячі ванни, відвідувати лазні і сауни.
- Уникати прийому ліків, що містять ацетилсаліцилову кислоту.
- Заборонені всі види фізичних навантажень.
- Утриматися від статевих контактів.
- Дотримуватися основні правила інтимної гігієни.
Народна медицина
Лікування без операції із застосуванням рецептів народної медицини буде ефективним, якщо поєднувати їх з гормональними препаратами. Хороші відгуки мають такі народні рецепти:
- 20 “суглобів” відростка золотого вуса залити 2 склянками горілки. Наполягати в прохолодному і темному місці приблизно 10 днів. 20 крапель засобу розвести в 100 мл води і вживати вранці і ввечері за півгодини до прийому їжі. Курс лікування триває місяць, а потім робиться перерва на 10 днів. Лікування потрібно проходити протягом 6 місяців.
- 6 ложок гарбузового насіння подрібнити в кавомолці. Додати 7 жовтків з варених яєць, а також півлітра рафінованої соняшникової олії. Протягом 20 хвилин засіб прогрівають на водяній бані, а потім приймають по чайній ложці один раз на день перед їжею. Пити за схемою: 5 днів прийом ліків, 5 днів – відпочинок.
- Досить ефективний лікувальний настій з календули, прополісу і ротокана. 1 ч. л. настоянки слід розвести у 100 мл води. Першу частину ввести у вигляді мікроклізми вранці, а другу – ввечері.
Поліпи в матці: лікування народними засобами
Також можна приймати відвари трав всередину — настояний золотий вус і вітекс священний. Подрібнені листки брусниці (4 ложки), кропиви і шипшини (по 6 ложок) залити окропом і дати настоятися. Пити по півсклянки три рази на день. Всі ці прийоми необхідно заздалегідь обговорити з лікарем, щоб уникнути несподіваних реакцій.
Поліпи в матці з одного боку зовсім не страшне захворювання, яке відносно легко можна вилікувати, але з іншого боку ця хвороба несе в собі чимало небезпек. Важливо не відкладати похід до лікаря при виникненні симптомів, якісно обстежитись і вчасно почати лікування, щоб уникнути негативного результату, так як від цього залежить не тільки рівень здоров’я, але й життя.
Поліпи в матці: причини появи
Поліпи можуть виникнути як у дівчат підліткового віку, так і у жінок, що знаходяться в постклиматическом періоді. Точні причини виникнення поліпів у матці до кінця не вивчені, однак, лікарі виділяють основні чинники їх появи:
- наявність хронічних запальних процесів;
- порушення гормонального балансу;
- ерозія шийки матки;
- підвищення рівня естрогену, що тягне за собою збільшення поліпа в розмірі;
- травми шийки матки;
- порушення ендокринної регуляції репродуктивної функції;
- зроблені у минулому аборти, а також установка внутрішньоматкового контрацептиву, наприклад, спіралі або кільця.
Відзначено, що у жінок, які страждають зайвою вагою і хворіють на гіпертонію, підвищений ризик появи поліпів у матці. Також сильний вплив мають порушення ендометрію, які призводять до того, що в порожнині матки утворюються своєрідні грудочки.
У генезисі поліпів матки головна роль відводиться нейрогормональному впливу і запальних змін ендометрія. Поліпи матки, як правило, розвиваються на фоні гормональної дисфункції яєчників і гіперстрогенії, які супроводжуються вогнищевою гіперплазією ендометрію у вигляді полиповидных розростань слизової. Поряд з поліпами матки у таких пацієнток можуть зустрічатися і інші захворювання, обумовлені эстрогенией, – залозиста гіперплазія ендометрію, міоми матки, аденоміоз, мастопатія, полікістозних яєчники і т. д.
Виникнення поліпів матки сприяють хронічні статеві інфекції та жіночі запальні захворювання (ендометрит, аднексит, оофорит), травматизація матки хірургічними абортами, выскабливаниями ендометрію, тривалим носінням ВМС. До групи ризику по розвитку поліпів ендометрію відносяться жінки з артеріальною гіпертензією, ожирінням, захворюваннями щитовидної залози, цукровий діабет, імунними порушеннями, нервово-психічними травмами.
Спеціалісти досі не зійшлися на думці, які ж передумови призводять до утворення поліпів. Пропонуємо вам найбільш поширені версії:
- порушення гормонального фону;
- розростання судин;
- наявність запальних процесів у внутрішньому жіночому статевому органі;
- раніше зроблений аборт або невдале вишкрібання;
- порушення в ендокринній системі;
- ожиріння;
- спадкова схильність до аналогічних утворень;
- пасивний спосіб життя;
- період лікування препаратом Тамоксифен;
- цукровий діабет;
- гіпертонія;
- постійний стресовий стан;
- пригноблена імунна система;
- наявність венеричних захворювань.
Причинами розвитку поліпів матки може бути також високий рівень естрогенів або ж, навпаки, брак такого гормону, як прогестерон.
Чому з’являються поліпи? Однозначної відповіді на це питання досі не знайдено, є лише кілька версій:
- Гормональний збій. З віком у період менопаузи у жінок відбуваються гормональні зміни, різко зростає кількість естрогену в крові, що призводить до утворення поліпів, а зменшення прогестерону веде до їх активного росту.
- Судинні зміня. При закупоривании або розростання судин навколо них утворюються поліпи.
- Запалення. При запальних процесах у тканинах матки утворюється велика кількість лейкоцитів, що призводить до зростання її клітин і появи утворень.
- Аборти і викидні. При неякісному медичному втручанні при аборти і викидні посилюється ріст клітин на окремих ділянках матки.
- Збої в роботі ендокринної системи. Всі залози в організмі взаємопов’язані і збої в роботі будь-якої з них провокує вироблення великої кількості гормонів.
- Цукровий діабет і високий тиск призводять до порушення кровообігу і змін в клітинах.
- Зайва вага. Надлишкова маса тіла може стати причиною вироблення естрогену.
- Спадковість. Поліпи вважаються спадковим захворюванням, тому тим, у кого в роду була така жіноча хвороба варто бути уважними до свого здоров’я.
- Відсутність рухової активності призводить до застою крові в порожнині матки і полипозу.
Причин утворення поліпів ендометрія в матці безліч, але виділяють основні:
- Найголовніша причина зростання поліпів у матці – гормональні порушення в жіночому організмі.
- Наявність небезпечних захворювань, таких як цукровий діабет, проблема зайвої ваги.
- Випадковий викидень чи аборт.
- Встановлені протизаплідні спіралі.
- Наркоманія, вживання алкоголю, тривале паління.
- Інфекції, отримані статевим шляхом.
- Ослаблений імунітет.
- Порушення метаболізму.
- Групи ризику жінок у віці від сорока до п’ятдесяти років.
- Спадковість.
У такої неприємної хвороби, як поліп тіла матки, причини, в основному, полягають у зміні гормональних властивостей яєчників.
Також поліпи матки, її шийки можуть викликати і механічні фактори — множинні аборти, хірургічні втручання, вискоблювання порожнини матки.
Невідповідні норми особистої гігієни також можуть спровокувати утворення поліпів.
Ендокринна система тісно пов’язана з функціонуванням гормональної вироблення, тому проблеми з щитовидною залозою можуть призвести до поліпів.
Крім того, причинами утворення можуть стати цукровий діабет, надмірна вага, малорухливий спосіб життя, спадкова схильність до захворювання, прийом тамоксифену (препарат для лікування пухлин).
До ознаками, що говорить про наявність у жінки поліпів, можна віднести наступні фактори:
- сильне і хворобливе кровотеча під час менструації;
- збій менструального циклу;
- після статевого акту нерідко можна замінити невеликі кровотечі, які виникають при травмуванні поліпа;
- прозорі або білі виділення з неприємним запахом між місячними;
- при наявності великих поліпів, можливі постійні болі і тяжкість внизу живота.
На думку лікарів, спровокувати утворення поліпів можуть нейрогормональні зміни в організмі, а також запальні процеси, що відбуваються в ендометрії. Існує кілька версій. Основні причини виникнення поліпів наступні:
- Гінекологічні захворювання: ендометріоз, кіста, дисфункція яєчників;
- Період вікових гормональних сплесків (статеве дозрівання і менопауза);
- Травмування слизової матки під час діагностики або процедури вискоблювання і гістероскопії;
- Травми під час пологів і абортів;
- Запалення слизової матки;
- Депресивні стани і стресові ситуації;
- Цукровий діабет;
- Зайва вага і ожиріння;
- Малорухливий спосіб життя і застій крові в області малого тазу;
- Спадковість;
- Інфекційні хвороби, які пов’язані із запальним процесом (хламідіоз, молочниця).

Також існують гормональні причини утворення наростів, які важливо усунути перед тим, як видаляти поліпи:
- Патології гіпофіза. Утворення гормону естрогену відбувається в гіпофізі. При травмі голови, важкого отруєння або в ході операції на мозок може відбуватися пошкодження гіпофіза, що провокує вироблення великої кількості гонадотропного гормону, що впливає на синтез естрогену. В результаті починають формуватися нарости, а потім діагностують поліпоз.
- Збої в роботі надниркових залоз, які також впливають на концентрацію гормонів в крові.
- Кіста і пухлини. В результаті формування кісти яєчників яйцеклітина не здатна вийти в період овуляції. В результаті цього відбувається вироблення великої кількості естрогену. При цьому пухлини яєчників, можуть містити в собі клітини, які самі виробляють гормон і призводять до гіперплазії ендометрії.
- Оральні контрацептиви і гормональні препарати. Якщо не дотримуватися рекомендованих доз або організм має індивідуальну чутливу реакцію до подібних засобів, то можуть утворюватися аденоматозні освіти, які в більшості своїй здатні перероджуватися в злоякісні пухлини.
Наслідки
Найстрашніше, чим може закінчитися утворення поліпів у матці – це переродження клітин у злоякісні пухлини. Але не менш небезпечними ускладненнями є:
- Проблеми під час виношування плоду. Є ризик позаматкової вагітності, що тягне за собою патології і розрив маткових труб. На пізніших термінах може відбутися відшарування плаценти, що призведе до викидня.
- Труднощі при зачатті. У результаті великого скупчення поліпів або його розростання, зародок не здатний прикріплятися до стінок матки.
- Кровотечі. В результаті розростання освіти і проростання кровоносних судин може виникнути кровотеча. Жінка відчуває постійну сонливість, слабкість на тлі розвитку анемії. Якщо кровотечі не припиняються, тоді, швидше за все, сталося переродження клітин.
- Злоякісне переродження. За статистикою саме аденоматозні поліпи матки перетворюються в пухлини. При цьому руйнуються всі здорові клітини, новоутворення активно розростається. Весь процес супроводжується рясними крововтратами.
В результаті хірургічних процедур можуть виникнути серйозні ускладнення:
- Утворення рубців і спайок. Відбувається при сильному пошкодженні слизової оболонки матки. Надалі це тягне за собою труднощі з зачаттям, а також безпліддя.
- Гематометра. В результаті появи спайок на шийці матки виведення крові може бути ускладнене, що призводить до її скупченню в матці і подальшому утворенню патогенних мікроорганізмів.
- Запалення. В результаті проникнення інфекції починається тривалий запальний процес, що може навіть призвести до безпліддя.
- Перфорація матки. Поява наскрізного отвору в стінці органу може статися під час вискоблювання (наосліп) або ж операції на ендометрії з великою кількістю спайок і рубців. Утворилося запалення лікують із застосуванням антибіотиків та операції.
Багатьох цікавить питання: чи може поліп матки знову сформуватися навіть після повного хірургічного видалення. На жаль, немає повної гарантії, що рецидиву не відбудеться. Лікарі рекомендують регулярно проводити обстеження та лікувати всі хронічні запальні процеси.
Як вже згадувалося, ігнорування лікування поліпів може призвести до небажаних ускладнень, наприклад, порушення правильного функціонування статевої системи. Також часто виникають такі наслідки, як безпліддя, розлад виділення гормонів, загальний гормональний збій.
Виникнення поліпів негативно впливає на перебіг вагітності, підвищуючи тим самим загрозу викидня і пологів на ранніх термінах. Видалити поліпи в матці після пологів стане єдино можливим виходом з цього становища.
Якщо жінка збирається робити екстракорпоральне запліднення (ЕКЗ), то в такому випадку необхідно спочатку провести вишкрібання порожнини матки, а залік вже проводити процедуру підсаджування ембріона.
Небезпечним наслідком поліп ендометрія в матці є їх перерост в злоякісну пухлину. Крім того, поліпоз може стати причиною безпліддя або збою менструального циклу, який згодом стимулює розвиток анемії. Поліп матки при вагітності нерідко ускладнює період виношування плоду і пологи.
Прогноз і профілактика поліпів матки
Особливістю перебігу поліпів матки служить їх схильність до рецидивів. Рецидивуючі поліпи матки в 1,5% випадків схильні до злоякісного перетворення; найбільший ризик розвитку раку ендометрію пов’язаний з аденоматозными поліпами. Тому після закінчення лікування з приводу поліпів матки пацієнтки залишаються під наглядом гінеколога. При відсутності лікування поліпів матки розвивається анемія, безпліддя. Наявність поліпів ендометрію підвищує ймовірність викидня і вимагає врахування цього фактора під час ведення вагітності.
Профілактика поліпів ендометрію полягає в своєчасному і точному пролечивании запальних захворювань матки і придатків, корекції дисфункції яєчників, обережне проведення внутрішньоматкових маніпуляцій.
Після лікування поліпів жінці необхідно спостерігатися у гінеколога, щоб захистити себе від рецидивів і переродження поліпів в рак.
В цілях профілактики потрібно своєчасно і ретельно проводити профілактику і лікування запальних процесів у матці і придатках, коригувати розлади функцій яєчників, безпечно проводити внутрішньоматкові процедури.
Поліпозу, як і будь-якого іншого захворювання простіше запобігти, чим лікувати, якщо дотримуватися нехитрих заходів профілактики: вживати в їжу екологічно чисті продукти; жити в екологічно безпечних районах;
не переохолоджувати жіночі репродуктивні органи; не мати безладних статевих зв’язків; займатися спортом; приймати протизаплідні засоби тільки після консультації лікаря; регулярно проходити медичне обстеження у гінеколога.
Отже, поліпи в матці досить неприємне захворювання жіночої репродуктивної системи. При їх появі можуть виникнути неприємні симптоми, наявність які закликає негайно почати медикаментозне лікування або видалити проблему операційним шляхом.
Після операції потрібно продовжити лікування, приймати призначені препарати. Але поліпоз простіше запобігти, чим лікувати, тому важливі профілактичні заходи.
Симптоми поліпів матки
Поява і зростання поліпа може і не супроводжувати якими-небудь симптомами, тому часто жінка може і не знати про його існування. У такому разі ще більшої важливості набуває регулярне обстеження хоча б раз на півроку.
Якщо ж поліп дає про себе знати, то це проявляється у таких симптомах:
- порушення циклу менструації, довгі затримки чи ранній прихід;
- кровотечі або мажучі виділення між менструальними циклами;
- різкі зміни інтенсивності менструації — від сильного до слабкого і навпаки;
- синці під час і після статевого акту;
- хворобливий статевий акт;
- спазмообразная біль внизу живота.
Найчастіше симптоми проявляються саме через порушення менструального циклу і поява кров’янистих виділень. Коли поліп збільшується, матка починає скорочуватися, що призводить до відкриття її отвори.
Таким чином вона намагається виштовхнути поліп в область піхви. Це викликає розтягування ніжки поліпа і порушення кровообігу, що в кінцевому підсумку призводить до порушення некротичних зв’язків у поліпи.
Гірше, коли існуючий поліп не викликає абсолютно ніяких симптомів. Крім того, багато жінок, навіть знаючи про діагноз, але не відчуваючи при цьому дискомфорту, вважають, що наявність поліпа — це нестрашно і безпечно, а в кінцевому рахунку він і сам пройде.
Залозистий поліп в матці може перерости у злоякісну ракову пухлину, що піддасть небезпеці не тільки всю статеву систему, але й життя жінки. Крім того, виникнення поліпів дуже небезпечно при вагітності, так як вони викликають кровотечу і з-за цього збільшується поширення інфекції далі області поразки поліпа.
Поліпи бувають як маленькі, так і великі. Маленькі в більшості випадків не перевищують у діаметрі двох сантиметрів і є не надто небезпечними. Вони мають великий шанс бути видалені без наслідків.
Метрорагія — один з можливих симптомів, супутніх появи поліпів, що характеризується рясним кровотечею. Такий процес вкрай небезпечний для жінки та її здоров’я. Щоб уникнути цього, необхідно пройти діагностичне вишкрібання або зробити операцію.
Одним з важливих критеріїв, чому слід звернутися до лікаря, є той факт, що схожі симптоми викликає міома. Поліпи в матці утворюються з тканини ендометрію, а міома — з м’язової. Перші утворюються на стінках порожнини матки, друга — глибоко в м’язовому шарі.
Незалежно від будови поліпів матки, всі вони викликають подібну симптоматику. Після періоду безсимптомного течії виникають дисфункціональні маткові кровотечі, які можуть носити циклічний або ациклічний характер. При поліпах матки відзначаються менорагії – рясні місячні, сукровичні передменструальні виділення, мажучі кров’яні виділення поза менструації і після статевого акту, метрорагії, кровотечі в менопаузі. Постійні крововтрати часто призводять до значної анемізації, що супроводжується блідістю шкірних покривів, запамороченням, слабкістю.
Для поліпів матки великих розмірів типово поява патологічних слизових белей, переймоподібних болів унизу живота, дискомфорту та болю під час статевого акту. У жінок репродуктивного віку поліпи ендометрію часто викликають безпліддя, у вагітних – збільшують ризики викидня і передчасних пологів.
Симптоми поліпів матки схожі з проявами ендометріозу, міоми матки, загрози викидня, тому потребують професійного обстеження у гінеколога.
Для того, щоб діагностувати будь-яке захворювання необхідно ретельно вивчити клінічні прояви у хворого. Що стосується новоутворення в області матки, то симптоми можуть бути різними. Різноманітність залежить від ступеня ураження, локалізації і від різновиду недуги.
- Больовий синдром в області живота, нижче пупка. Характер болю є виключно кістками.
- Гострі болі під час настання місячних.
- Порушення менструального циклу.
- Неприємні кров’янисті виділення після статевого акту.
- Рясне виділення кров’яних згустків під час наступу циклу менструації (менометроррагии). Також виділення крові спостерігається між менструальними періодами.
- Поява різних за характером болю, які притаманні під час сексу або після нього.
- При запаленні поліпа спостерігаються неприємні виділення білястого або жовтого відтінку. Запах при цьому смердючого характеру. Якість жінки при даній симптоматиці різко погіршується.
Із-за того що у хворої жінки спостерігаються часті кровотечі стан може дещо погіршитися. У деяких пацієнток анемія діагностується. В результаті чого спостерігається часта втрата свідомості, апатія, адинамія, швидка стомлюваність і зміна шкірних покривів (блідість).
У жінок більш старшого віку, коли настає період клімаксу, яскраво спостерігаються кровотечі маткового походження. Дуже схоже дане явище як звичайне менструальна виділення, якщо там поліпи в матці, симптоми та наслідки вкрай непередбачувані. Якщо жінка не може зачати дитину, причиною може бути поліп в матці – симптоми і відгуки людей незадовільні. Якщо це так, то необхідно в найкоротші терміни пройти повний курс обстеження, щоб швидко купірувати хвороба або виключити патологію.
В одних випадках довгий час не виникає ніяких симптомів хвороби, в інших трапляються ускладнення при наявності маленького поліпа. Фахівці рекомендують звернути увагу на деякі симптоми.
- Через три дні після менструації поява кровотечі.
- Збій менструального циклу.
- Під час сексуального контакту неприємні больові відчуття. По закінченню статевого акту виділення кровянистого характеру.
- Наростаюча біль внизу живота.
- Нерегулярна овуляція.
- Неможливість зачати дитину.
Пухлина маленьких розмірів найчастіше протікає безсимптомно, а великі поліпи можуть стати причиною серйозних проблем. Тому їх потрібно лікувати вчасно. Для виявлення причини поліпів у матці необхідно звернутися до гінеколога.
Для обстеження матки застосовують ультразвукове дослідження. Щоб розпізнати діагноз проводять огляд зі спеціальним приладом. Точний діагноз лікар поставить під час проведення всіх необхідних досліджень.
Часто пацієнтки пізно звертаються за допомогою. Тривалий профілактичний огляд веде за собою ряд ускладнень:
- Рясні кровотечі в матці, що призводять до тяжкого ступеня анемії.
- Потреба органів в кисні і поживних речовинах із-за недостатності крові.
- Міома матки, передраковий стан.
Щоб уникнути факторів ризику розвитку поліпів у матці, необхідно:
- Відвідувати гінеколога кілька разів на рік.
- Зменшити масу тіла.
- Налагодити менструальний цикл.
- Знизити маніпуляції всередині матки.
Вчасно звернувшись до фахівця за діагностикою, можна минути серйозні ускладнення. А після детального дослідження приступити до лікування.
Виходячи з даних процесів, які були описані вище, грають важливу роль. Можуть спостерігатися й інші симптоми, які з’явилися з-за збоїв гормонального фону. Найважливішими серед них є:
- Надлишкове відкладення жиру.
- Підвищення рівня цукру в крові (гіперглікемія).
- Поява доброякісно пухлини в матці – міома.
- Поразка і запальний процес яєчників – полікістоз.
На превеликий жаль, даний тип поліпів у матці спостерігаються досить часто. За статистикою близько 65% пацієнток страждають такою формою. Негативний чинник полягає в тому що, дана різновид більш схильна, перетворюватися на злоякісні форми.
До більш сприятливою формою можна віднести поліпи автономного характеру. До таких новоутворень можна віднести поліпи фіброзного, залозистого або змішаного характеру. Клінічні прояви при таких формах більш нешкідливі і не яскраво виражені. Додаткових симптомів не спостерігається.
Якщо виявлені поліпи в матці – симптоми і лікування позитивні відгуки від пацієнтів, яким видалили новоутворення. Існує ряд методик, які виправдали себе, і є ефективними у ряді ситуацій (лазер, гистеросокопия, вишкрібання та ін).
Виявляється патологія наступними ознаками:
- кровотечі між місячними;
- кров’яниста слиз після статевого акту;
- білі непрозорі виділення;
- біль або дискомфорт під час зносин;
- рясність і нерегулярність менструацій;
- відсутність вагітності протягом 1 року.
Ось такими симптомами супроводжується поліп в матці. Лікування без операції полягає в прийомі гормональних препаратів. Але ліки мають бути призначені гінекологом, який має перед собою результати аналізів.