Будова черепа. Скронева кістка
Череп людини утворений сукупністю кісток, які умовно поділяють на дві великі групи – кістки мозкового відділу і кістки лицевого відділу.
Крім цих кісток, в порожнині середнього вуха присутні три види парних кісточок – молоточок, стремінце і ковадло. Скронева кістка – кістка з групи мозкового відділу, що утворює основу черепа. У скроневої кістки цілий комплекс нервових стовбурів:
- переддверно-улітковий,
- лицьовий,
- вузол трійчастого нерва,
- блукаючий,
- язикоглоткового нерв.
Скронева кістка складається з трьох областей: лускатої, барабанної та кам’янистій. Луската область утворює бічні стінки черепа; барабанна частина – елемент, який оточує з усіх боків слуховий канал;
кам’яниста частина зовні виглядає як піраміда і виконує функцію вмістилища для середнього і внутрішнього вуха, крізь яку проходять також кровоносні судини. Піраміда включає в себе три поверхні – передню, задню і нижню. Нижня область утворює соскоподібний відросток.
Мастоїдит – це інфекційний запальний процес, що протікає в сосцевидном відростку скроневої кістки. Захворювання часто є ускладненням гострого отиту середнього вуха.
Перебіг запалення залежить від будови соскоподібного відростка. У більшості випадків мастоїдит виникає у людей, які мають великі комірки всередині відростка. Туди дуже легко проникає інфекція з барабанної порожнини.
Класифікація мастоидита:
- За місцем виникнення інфекції:
- Первинний (інфекція потрапляє безпосередньо в порожнину соскоподібного відростка).
- Вторинний (ускладнення запального процесу, що протікає в організмі).
- За характером перебігу захворювання:
- Типовий (виявляються всі характерні симптоми).
- Латентний (запалення протікає без яскраво виражених ознак).
На початковому етапі (ексудативна стадія) мастоидита запалюється слизова оболонка і окістя, порожнину наповнюється гнійним вмістом. Далі (альтернативна стадія) кісткові перегородки руйнуються, порожнина заповнюється грануляціями.
Структура відростка може бути різною, що складається з осередків, поділених між собою кістковими перегородками. Клітинки заповнені повітрям. У цьому випадку мова йде про пневматичної структурі. Якщо маленькі клітинки, наповнені всередині кістковим мозком, то має місце диплоэтическое будова.
Класифікація
Таку проблему вуха може викликати найпростіша інфекція. Мікроорганізми, коли потрапляють в оптимальну для себе середовище, починають активно розмножуватися. До речі, хвороба може передаватися і через кров. У такому разі захворювання вважається гематогенним.
Саме так інфекція потрапляє всередину наростів. Приміром, це відбувається при туберкульозі, сифілісі, сепсисі та ін Мастоїдит первинного типу виникає після того, як пошкоджуються відростки. Таке може статися через удару або черепно-мозкової травми.
По локалізації розрізняють правобічний мастоїдит і лівобічний. Рідше розвивається двосторонній мастоїдит – це запальний процес симетричного характеру, викликаний обширним ураженням інфекційними агентами.
По етіології виділяють 5 різновидів мастоидита.
Первинний – який розвивається безпосередньо в скроневої кістки без отиту і запалення в структурах органів слуху. Це рідкісний різновид захворювання і дуже небезпечна.
Вторинний – найпоширеніший варіант, що розвивається як ускладнення отиту.
Отогенний – викликаний поширенням запального процесу безпосередньо через внутрішні структури органів слуху.
Гематогенний – при якому інфекційні агенти потрапляють до місця запалення через кровоносну систему. При такій різновиди хвороби первинний запальний осередок буває як у вусі, так і в інших частинах організму.
Травматичний – розвивається в результаті травматичних ушкоджень черепно-мозкових травм, ударів, ударів. Бактеріальні агенти проникають в даному випадку безпосередньо через відкриту рану.
По виникненню інфекції розрізняються:
- первинний мастоїдит, з початковим попаданням запального агента в порожнину соскоподібного відростка,
- вторинний мастоїдит, що виникає як ускладнення запальних процесів організму.
Вторинний мастоїдит може виникати:
- в результаті середнього отиту, його називають отогенний,
- у результаті травм голови,
- як осередок при перебігу сепсису (септикопиемический вогнище).
За течією мастоїдит може бути:
- типовий, з наявністю усіх класичних симптомів,
- атиповий або латентний, мляво протікає запальний процес без виражених симптомів.
Що таке мастоїдит та соскоподібний відросток скроневої кістки – визначення захворювання
Соскоподібний відросток являє собою виступ конічної форми, розташований позаду вуха. Внутрішня будова соскоподібного відростка – це сукупність кісткових порожнин, заповнених повітрям і сполучених з середнім вухом (з барабанною порожниною) через соскоподібний печеру. Печера (антрум) – найбільша клітина соскоподібного відростка. До
кріпиться м’яз, складається з трьох компонентів – грудинного, ключичного та соскоподібного.
Структура відростка індивідуальна для кожної людини. Розрізняють три типу його будови. Пневматична будова – соскоподібний відросток складається з великих осередків, заповнених повітрям. Диплоэтическое будова – структура являє собою дрібні комірки, заповнені кістковим мозком. Склеротическое будова – комірчаста структура дуже слабо виражена.
Слід зазначити, що від типу будови соскоподібного відростка дуже сильно залежить протягом мастоидита. І в більшості випадків мастоїдит розвивається у осіб з пневматичним будовою соскоподібного відростка.
Причини
Основна причина мастоидита – це мікробна інфекція, активно розповсюджується в середньому вусі. У більшості випадків захворювання викликають пневмококи, стрептококи, стафілококи і гемофільні палички.
Інші причини виникнення мастоидита:
- Травми, що виникають при ударах, ранах, забиттях.
- Поширення інфекційних агентів з прилеглих лімфатичних вузлів (може бути спровокований хронічним тонзилітом).
- Туберкульоз.
- Утворюються в області соскоподібного відростка гранульоми.
- Сепсис.
- Вторинний сифіліс.
- Погано вилікуване простудне захворювання, внаслідок переросло у отит середнього вуха.
У деяких випадках мастоїдит може розвиватися одночасно з гнійним отитом. Але в більшості випадків він виникає приблизно через одну-два тижні.
У переважній більшості випадків мастоїдит є ускладненням гострого середнього отиту – запалення середнього вуха. Інфекція в даному випадку поширюється з барабанної порожнини в області соскоподібного відростка. Отже, викликають местоидит ті ж бактерії, що є причиною отиту, а саме:
- Streptococcus pneumoniae,
- Haemophilus influenzae,
- Moraxella catarrhalis.
Поширенню інфекції з області середнього вуха сприяють:
- знижений імунний статус організму;
- відсутність адекватного лікування отиту (несвоєчасне дренування барабанної порожнини, пізно проведений парацентез, отвір малого діаметру в барабанної перетинки або раннє закриття його, що перешкоджає відтоку гнійних мас).
Інфекція може проникнути у соскоподібний відросток гематогенним шляхом (з током крові) при туберкульозі, вторинному сифілісі, сепсисі.

Всі випадки мастоидита, описані вище, є вторинними (т. е. виникли на тлі іншого захворювання). Можливий і первинний мастоїдит. Він з’являється при пошкодженні комірок соскоподібного відростка внаслідок:
- удару;
- вогнепального поранення;
- черепно-мозкової травми.
У цих випадках в порожнину соскоподібного відростка потрапляє кров, яка є відмінним живильним середовищем для багатьох видів бактерій.
На тлі хронічних соматичних захворювань (туберкульоз, цукровий діабет, ревматичні хвороби, гепатит тощо) і патологічних процесів у носоглотці (хронічний риніт, синусит, фарингіт, ларингіт, трахеїт), а також при наявних зміни у структурі вуха (внаслідок травми, перенесені раніше отитів) гострий мастоїдит настає частіше і протікає важче.
від переважання того чи іншого залежить результат захворювання. Безсумнівно, що характер інфекції відіграє величезну роль. Хоча виникнення мастоидита не залежить від роду бактерій, проте на подальший перебіг його останні роблять істотний вплив.
Чим вирулентнее бактерії, тим тяжчі викликані ними зміни. Однак не менше значення належить і конституції хворого. Тому після загальних інфекційних захворювань, які ослаблюють опірність організму, частіше спостерігаються важкі форми мастоидита.
Але не тільки загальний стан організму надає свій вплив. Надається величезне значення також і станом слизової оболонки середнього вуха, яке називається «місцевої конституцією». Отити, перенесені в ранньому дитячому віці, змінюють анатомічна будова слизової оболонки настільки, що при виникненні гострих отитів особливо легко розвиваються тяжкі форми мастоидитов.

Нарешті, велике значення надається також неправильного лікування.
Пряма причина патології – проникнення у слизову, з’єднувальні та тверді тканини соскоподібного відростка патогенних мікроорганізмів. Часто це ті ж хвороботворні агенти, що викликають запалення середнього вуха (отит). Саме отит зазвичай і є первинною патологією. Сам по собі мастоїдит розвивається рідко.
Конкретного збудника можна виявити лише після лабораторної діагностики, але в більшості клінічних ситуацій це:
- Пневмококи;
- Стрептококи;
- Стафілококи;
- Грамнегативні бактерії.
Рідше зустрічаються синьогнійна паличка та анаеробні мікроби. Незалежно від різновиду інфекційних агентів запальний процес супроводжується місцевою реакцією організму на чужорідне вторгнення. Характерна ознака гострого мастоидита — наявність гною, що свідчить про активність лейкоцитів.
Причини
На появу мастоидита впливає безліч факторів. У список причин, здатних провокувати дану патологію у дитини, входять:
- травми соскоподібного відростка, що викликає розвиток первинного мастоидита;
- вторинне приєднання інфекції, яка поширюється отогенно з барабанної порожнини середнього вуха. Це може статися в результаті перфорації перетинки, її запізнілого лікування, а також з-за малих розмірів отвору (його роблять для очищення порожнини перетинки від гнійного вмісту). Збудниками можуть стати пневмококи, стрептококи, стафілококи і так далі;
- гематогенне проникнення інфекції в область соскоподібного відростка, що відбувається у разі сепсису або туберкульозу, наприклад;
- ослаблена імунна захист організму дитини, яка сприяє розвитку ускладнень таких захворювань як бронхіт, цукровий діабет, ревматоїдний артрит, туберкульоз, гепатит і так далі;
- патологій носоглотки, наприклад, синуситах, ринітах, ларингітах;
- ураження вуха, такі як зовнішній отит, аэроотит, які не отримали своєчасного і повноцінного лікування.
Симптоми
Початковий етап захворювання, найчастіше, не приносить дитині особливих занепокоєнь. Поступово він починає скаржитися на больові відчуття у вусі і за ним.
Шкіра за вушною раковиною набуває червонуватий відтінок, що є ознакою запальної реакції, і температура тіла малюка піднімається.
Дитина виглядає млявим, втомленим, часом може проявляти занепокоєння, перепади настрою, відмовляється їсти і часто плаче.
Тверда кістки соскоподібного відростка на дотик здається розм’якшеною і податливою, що свідчить про розвиток абсцесу.

Перехід інфекційного процесу в важку стадію загрожує паралічем лицьового нерва, поступовим утрачиванием слуху, крутіннями голови, менінгітом і гарячковим станом. При торканні опухлою частини шкіри за вухом дитина відчуває біль.
Хронічний мастоїдит в дитячому віці не має яскравих клінічних проявів за винятком періодичних больових відчуттів за вухом.
Для постановки достовірного діагнозу лікаря необхідно провести диференціальну діагностику мастоидита від інших захворювань вуха дитини. Це передбачає наступні дії:
- складання максимально повної клінічної картини хвороби, уточнення скарг пацієнта;
- проведення огляду і пальпації травмованого вуха і зони за ним;
- здійснення отоскопії – огляду вуха і барабанної перетинки за допомогою спеціального приладу – отоскопа;
- проведення тимпанометрії – тесту, який дозволяє визначити збереження функції ураженого вуха і виявити відхилення тиску в середньому вусі.
- До інструментальним методам діагностики в даному випадку належать:
- радіографія – метод, в ході якого застосовується радіографічний барвник, що дозволяє виявити локалізацію абсцесу і виключити факт поширення інфекції в мозок;
- аудіометрія — дослідження слухової функції дитини за допомогою камертона;
- рентгенографія – виявляє наявність вогнищ запалень і місць руйнування стінок кісток;
- комп’ютерна і магнітно-резонансна томографія черепної коробки – дають візуальне уявлення про органи слуху і кістках.
- У список лабораторних діагностичних заходів при дитячому мастоидите включаються:
- аналіз спинномозкової рідини, тобто забір ліквору для його подальшого вивчення на предмет наявності в ньому збудника інфекції;
- бактеріологічний посів виділень з хворого вуха для уточнення типу збудника і ступеня його чутливості до різних антибіотиків.
Ускладнення
Мастоїдит в дитячому віці може перерости в наступні ускладнення:
- сигмовидный тромбоз синусів;
- менінгіт;
- абсцес мозку;
- параліч лицьового нерва;
- втрата слуху.
Лікування
Мастоїдит потрібно лікувати виключно за допомогою лікаря, тому при появі перших скарг дитини на болі в області вуха, слід негайно показати його спеціалісту.
Що робить лікар
План лікування розробляється у відповідності з віком дитини і станом його здоров’я. Як правило, вимагається перебування в стаціонарі під наглядом лікаря.
- Обов’язковим призначенням при мастоидите є антибактеріальна терапія, причому препарати можуть вводитися внутрішньовенно за допомогою катетера. При запізнілому лікуванні і розвитку ускладнень самопочуття дитини може бути рекомендовано хірургічне втручання, в ході якого лікар видаляє рідину середнього вуха.
- Це відбувається за допомогою спеціальної процедури – миринготомии, яка передбачає введення в барабанну перетинку невеликий трубки. Крізь неї гній виходить назовні, і інфекційні процеси слабшають.
У вкрай важких ситуаціях, при ураженні кісткових структур за вухом, лікар проводить операцію з її видалення.
Профілактика
В цілях попередження мастоидита в дитячому віці слід уважно ставитися до самопочуття дітей, займатися зміцненням їх імунітету, якісно і своєчасно лікувати будь-які захворювання, зокрема, пов’язані з органами слуху.
Стадії перебігу хвороби
Як вже було сказано, мастоїдит може початися з перших днів отиту, але ці ранні форми здебільшого виліковуються самі по собі шляхом поступового розсмоктування ексудату. Інше значення мають мастоїдити, що з’являються в більш пізніх стадіях отиту. Вони зазвичай не проходять самі собою, а вимагають прийняття певних заходів.
Важкі форми мастоидита можуть з’являтися в будь-якій стадії отиту. Особливої обережності вимагає мукозных отити, так як і після повного припинення гноетечения з барабанної порожнини процес в сосцевидном відростку може тривати, до того ж при дуже слабко виражених симптомах.
Таке ж мало помітне протягом може спостерігатися і у людей похилого віку внаслідок значної щільності і товщини corticalis. Навпаки, у маленьких дітей і при зовнішніх явищах може відбутися мимовільне лікування, так як у дітей субперіостальні абсцеси нерідко вказують не на мастоїдит, а на проходження гною з antrum’a назовні через незаросшую fissura mastoideo squamosa.
Різне протягом мастоидитов залежить також і від характеру епідемії. Помічено, що при одних епідеміях число мастоидитов, які потребують операції, значно зростає, а при інших, навпаки, не настільки велика.
Як правило, розвиток мастоидита зазнає дві стадії:
- ексудативну,
- пролиферативно-альтернативну.
Початкова стадія розвитку мастоидита – ексудативна, вона триває 7-10 днів. Протягом цього часу розвивається запалення слизової соскоподібного відростка. Слизова оболонка набрякає, комірки структури соскоподібного відростка закриваються, заповнюються гнійної масою і виявляються відокремленими від соскоподібної печери.
Пролиферативно-альтернативний етап перебігу хвороби характеризується руйнуванням перегородок, що розділяють клітинки і виникненням окремих груп комірок, які зливаються в об’ємні порожнини. Зміни відбуваються також у кісткомозкові і судинних структурах.
Іноді розвиток в середньому вусі холестеатоми може викликати різні патологічні процеси в організмі, в тому числі і мастоїдит. Що це таке? Холестеатома являє собою капсулу, що складається з ороговілих клітин епітелію.
Симптоми
При захворюванні розвиваються локальні і загальні ознаки.
До загальним ставляться:
- Висока температура;
- Слабкість, зниження працездатності;
- Підвищення кількості лейкоцитів, збільшення ШОЕ та інші ознаки запальної реакції;
- Зниження апетиту, безсоння.
Місцеві симптоми – біль у вусі і в скроневої кістки, зміна положення вушної раковини, протягом гною з вуха. Іноді виділення гною не відбувається, оскільки немає шляхів для його відтоку. Прояви захворювання виникають через 7-14 днів після початку отиту. Динаміка патологічних процесів при запаленні середнього важливо при діагностиці хвороби.
Іноді розвивається мастоїдит без температури: така ситуація характерна для літніх і ослаблених пацієнтів. Симптоми мастоидита у дітей більш інтенсивні, особливо в грудному віці.
Зовні хвороба проявляється у вигляді гіперемії і стоншування шкіри в районі соскоподібного відростка. Генетично носить пульсуючий характер, як і больові відчуття. Гнійна маса заповнює вушне отвір відразу після його очищення.
На пізніх стадіях хвороби кісткові перегородки соскоподібного відростка руйнуються, а внутрішні порожнини заповнюються гноєм. Спостерігаються прориви гнійних вогнищ в навколишні м’які тканини, внаслідок чого утворюються додаткові абсцеси (закриті осередки).
https://www.youtube.com/watch?v=WZLbH-bZcQc
Іноді патологічні прояви поширюються на ділянку шиї з боку запалення: такий варіант хвороби іменується «мастоїдит Бецольда». Цей різновид характеризується болем при повороті голови і провокує розвиток лімфаденіту.
Симптоми мастоидита поділяються на суб’єктивні і об’єктивні. До числа суб’єктивних симптомів відносяться болі позаду вуха, спонтанні і при натисканні на соскоподібний відросток. Болі на сосцевидном відростку при натисканні можуть спостерігатися на будь-якому місці його протягу, але улюбленими місцями є соскоподібного ямка, відповідна в глибині знаходиться атріуму, і верхівка соскоподібного відростка з її термінальними клітинами.
Інший важливий суб’єктивний ознака мастоидита полягає у відчутті пульсації в глибині вуха і стукоту в голові, синхронного з ударами пульсу. На початку захворювання і ця ознака не має значення, і тільки в більш пізніх стадіях хвороби він набуває характеру симптому, патогномоничного для скупчення гною в сосцевидном відростку.
Обміняється цей феномен тим, що внаслідок закладання вивідних проток повітряних клітин припухлою слизової остання ущемляється підлягає між кісткою і скопившимся гноєм. Кров, що циркулює в артеріальних судинах, повинна долати тут значний опір, тому хворий відчуває кожний удар пульсу.
Ознака цей, хоч і суб’єктивний, все ж може бути перевірений і об’єктивним шляхом: якщо хворий буде голосно рахувати в такт з ударами, які він відчуває, то рахунок буде співпадати з ударами пульсу, які контролює лікар.
З об’єктивних ознак мастоидита на першому місці стоїть скупчення гною між окістям і кісткою соскоподібного відростка – субпериостальный абсцес. Цей ознака майже з абсолютною достовірністю свідчить про наявність мастоидита.
Поява гною під окістям обумовлюється проривом його з клітин соскоподібного відростка під периост. Прорив може статися на будь-якому місці, але найчастіше він відбувається там, де є преформовані шляху у вигляді пронизують кістку кровоносних судин.
Залежно від ступеня поширення поднадкостничного гнійника, вушна раковина в більшій або меншій мірі відстоїть від бічної поверхні голови, позадиушная складка згладжена, вся вушна раковина зміщується донизу.
При пальпації відчувається флуктуація. Настільки ж надійною ознакою є утворення фістули на соскоподібний відросток внаслідок прориву гною назовні. У менш виражених випадках при мастоидите спостерігається просте згладжування позадиушной складки, припухання м’яких покривів на сосцевидном відростку і їх почервоніння.
Надзвичайно надійним ознакою є опущення задньо-верхньої стінки зовнішнього слухового проходу. Так як вона одночасно є передньою стінкою соскоподібного відростка і в той же час тут знаходяться прободающие кістка кровоносні судини, що йдуть з соскоподібного відростка в слуховий прохід і назад, то не дивно, що при запальних процесах у відростку спостерігається перехід процесу і на окістя слухового проходу, викликаючи її припухання, аналогічно периоститу зовнішньої поверхні відростка.

Припуханням окістя і обумовлюється западіння задньо-верхньої стінки слухового проходу. Зазначений ознака, в силу сказаного, тому представляється настільки ж надійною в сенсі діагностики, як і припухання зовнішніх покривів на сосцевидном відростку.
Наведені ознаки можна вважати характерними для типового мастоидита. Зважаючи на те, однак, що клітинна система соскоподібного відростка може заходити далеко в навколишні соскоподібний відросток частини, скупчення або прорив гною можуть викликати і не зовсім типові форми мастоидитов.
Так, іноді клітини соскоподібного відростка через верхню стінку кісткового слухового проходу поширюються в основу скулового відростка. При захворюванні цих клітин припухання м’яких покривів спостерігається попереду вушної раковини і поверх неї, причому часто відбувається більша або менша закриття очної щілини відповідної сторони. Такі форми мастоидитов називаються зигоматитами.
Інша різновид мастоидита виникає при прориві гною з соскоподібного відростка не на його поверхню, а під верхівку на шию. Опис цієї форми мастоидита вперше було зроблено Фрідріхом Бецольдом, на увазі чого її і називають Бецольдовским мастоідитом.
Виникнення останнього обумовлюється наступній анатомічною особливістю соскоподібного відростка: incisura digastrica на нижній поверхні верхівки соскоподібного відростка обмежена з обох бортів термінальними клітинами.
Стінки цих клітин дуже тонкі, і при прориві гною через клітини медіального борту indsurae mastoideae гній потрапляє під m. sterno-cleido-mastoideus, поширюючись звідси на шию. Прикритий товстої м’язом, гній на шиї не дає відчуття флуктуації, а лише обумовлює болючу припухлість м’яких покривів під соскоподібного відростка та їх почервоніння.
При цих формах мастоидита можливе поширення гною по м’яким частинам шиї або середостіння, чи у бік ретрофарингеальной клітковини, причому в першому випадку виникає дуже серйозне ускладнення у вигляді медіастиніту, у другому – ретрофарингеальный абсцес.

До менш надійним ознаками мастоидита відносяться: особливий вид барабанної перетинки – вперто тримається почервоніння, припухлість її і випинання в такому періоді хвороби, коли їй належало б уже повернутися до норми.
До цієї ж категорії симптомів відноситься профузное генетично. Велика кількість гною притаманне тільки початковим стадіям отиту. Надалі кількість гною має зменшитися. Профузні генетично в пізніх стадіях отиту вказує на те, що гній продукується не тільки в малій за розмірами барабанної порожнини, але ще й у додаткових резервуарах, якими є клітини соскоподібного відростка.
Стан температури тіла не є характерним при неускладнених формах мастоидита. Часто мастоїдит протікає або зовсім без підвищення температури, або при незначних підняттях її (37,1-37,5°С);
останнє характерно для мастоидитов, викликаних streptococcus muccsus. Але можливі й значні підвищення температури до 39°С і вище. Так як час дня, коли спостерігається особливе підняття температури не типово, то в сумнівних випадках необхідно вимірювати її частіше протягом доби.
У більшості випадків поява високої температури в більш пізніх стадіях отиту вказує не тільки на мастоїдит, але і на більш серйозне ускладнення, яке настало в залежності від нього.
Крім місцевих ознак, необхідно звертати постійну увагу і на загальний стан хворого, так як наполегливі головні болі, поганий апетит і сон, млявість, пригнічений стан та інше також притаманні не самому отиту, як такому, а настали ускладнень.
Необхідно також пам’ятати, що розповсюдження гною з клітин соскоподібного відростка може відбутися не тільки назовні, але і внутрішньо у бік лабіринту і в бік черепної порожнини. Цим власне і небезпечний мастоїдит.
Симптоми мастоїдит має різні, а проявляється він, як правило, разом із гнійним середнім отитом (на 2 або 3 тижні). Мастоїдит у дітей може розвиватися навіть при відсутності сформованого відростка кістки (до 3 років відросток ще не встигає сформуватися).
Звичайні симптоми недуги такі:
- зниження сприйняття звуків;
- підвищена температура тіла;
- головні болі;
- гострі больові відчуття за вухом;
- генетично, яке спостерігається з зовнішнього вушного проходу.
Якщо обсяг гноетечения значно перевищує розмір барабанної перетинки або ж вона пошкоджена, то це говорить про поширення захворювання далі середнього вуха. Якщо ж кількість гною незначно – інфекція не поширюється далі і цілісність барабанної перетинки зберігається.
У хворого можна спостерігати оттопыренность вуха, формування гладкості за вухом замість зазвичай розташованої там шкірної складки. Гній може поширитися на всі частини черепа, що викличе утворення тромбів, некроз окістя і утворення зовнішнього свища.
Симптоми
Лікування мастоидита – процес тривалий і трудомісткий. Тому для того, щоб досягти успіху в цій справі, дуже важливо виявити захворювання на ранніх стадіях. В залежності від того, як проявляються симптоми мастоидита, розрізняють типову і атипову форми захворювання. Для атипової або латентної форми хвороби характерний млявий перебіг, без яскраво виражених симптомів.
При типовій формі мастоидита хворі можуть скаржитися на різкий біль у вусі і в голові, яка поширюється до потилиці або лобі; опухлу область соскоподібного відростка. При різкому набуханні тканин, особливо при утворенні в них гнійного процесу, вушна раковина помітно відстовбурчується.
Що таке мастоїдит та соскоподібний відросток скроневої кістки – визначення захворювання
Оскільки соскоподібний відросток недорозвинений у немовлят, гній при середньому отиті проникає тільки в печеру скроневої кістки — антрум і призводить до розвитку гнійного антрита. Отит і антрит діагностуються у дітей зі зниженою опірністю організму, недоношених і рахитичных.
Відмінна риса патології у малюків — швидкий розвиток субпериостального абсцесу, часто без руйнування кістки.
Клінічні симптоми мастоидита у дітей:
- Лихоманка,
- Плач,
- Примхливість,
- Неспокійний сон,
- Поганий апетит,
- Симптоми менінгізму,
- Рясні гнійні виділення.
Отоскопические прояви: вибухання барабанної перетинки, зміна її кольору, набряклість, появою пульсуючого рефлексу в місці перфорації.
Мастоїдит – це запальне ушкодження соскоподібного відростка скроневої кістки (за вухом), має інфекційне походження.
Мастоїдит може розвинутися при зараженні інфекцією або бути ускладненням гострого середнього отиту.
Клінічно мастоїдит проявляється підвищенням температури тіла, інтоксикацією, болем і пульсацією в ділянці соскоподібного відростка, набряком, гіперемією завушної області, болем у вухах, зниженням слуху. Мастоїдит займає 5-10% отоларингологічних захворювань у дітей.
До причин виникнення мастоидита відносяться:
- Поява вторинного мастоидита, обумовленого отогенний поширенням інфекції з барабанної порожнини середнього вуха. Збудниками інфекції виступають: паличка інфлюенци, пневмококи, стрептококи, стафілококи тощо Перехід інфекції з середнього вуха відбувається через дренування при пізньому прорив барабанної перетинки, несвоєчасному проведенні парацентезу, занадто малому отворі в барабанної перетинки або його закриття грануляційною тканиною.
- Рідко мастоїдит розвивається при гематогенному (через кров) проникнення інфекції у соскоподібний відросток, коли у хворого розвивається сепсис, вторинний сифіліс, туберкульоз.
- Первинний мастоїдит можливий при травмуванні комірок соскоподібного відростка. При отриманні травми патогенні мікроорганізми розвиваються в крові, яка виливається в осередку відростка.
- Мастоїдит може розвинутися на тлі ослабленого імунітету при хронічних захворюваннях, таких як бронхіт, цукровий діабет, ревматоїдний артрит, туберкульоз, пієлонефрит, гепатит.
- Мастоїдит з’являється при патології носоглотки (синусит, хронічний риніт, ларинготрахеїт, фарингіт).
- Може виступати ускладненням перенесених раніше травм (зовнішній отит, аэроотит, адгезивний середній отит та ін), які були погано проліковані.
У дітей у віці до 6 років соскоподібний відросток не розвинений, тому на його місці є тільки піднесення, всередині якого розміщена печера.
Соскоподібний відросток розширює скроневу кістку черепа і виконує структурну функцію опорної точки для м’язів шиї.
Він містить кілька повітряних осередків, які за своїм зовнішнім виглядом нагадують стільники і відбуваються з антрального відділу.
Барабанна порожнина середнього вуха пов’язана з соскоподібного відростка з допомогою невеликого каналу, який проходить через скроневу кістку. Сосцевидні повітряні осередки пов’язані з середньою черепною ямкою, а ззаду з черепною ямкою.
- Мастоїдит відбувається, коли гнійна інфекція проходить від середнього вуха, постраждалого від отиту до соскоподібного повітряним клітинок. Інфекційний процес викликає запалення соскоподібного відростка і оточуючих тканин, і може призвести до кістковому знищення.
- Мастоїдит поділяють на гострий (класичний), коли мастоїдит є ускладненням гострого середнього отиту, а також хронічний (латентний) виникає у зв’язку з хронічним гнійним середнім отитом або холестеатомой. Хронічний мастоїдит розвивається більше трьох місяців, а гострий мастоїдит – менш чим три тижні.
При гострому мастоидите в організмі є пряма бактеріальна інфекція в сосцевидном відростку. Шкіра, закриває соскоподібний відросток, позаду вуха, запалюється і, як наслідок стає червоною, а саме місце припухлим.
Інфекція може також поширюватися безпосередньо донизу, створюючи нарив в м’язі, яка приєднана до соскоподібного відростка.
Хронічний мастоїдит формується, коли є хронічний запальний процес, який зачіпає соскоподібний відросток. Як правило, це хронічне запалення середнього вуха, при якому є перфорація в барабанної перетинки. При хронічному мастоидите немає руйнування кістки.
Запалення в самому сосцевидном відростку досить рідко. Це майже завжди є результатом запалення або інфекції в середньому вусі.
По мірі прогресування мастоидита за вухом може утворитися значний набряк, відриваючи його вперед. Тверда кістка під шкірою стає досить м’якою і пластичною, що вказує на абсцес. Якщо інфекція перейшла у важку форму, то можуть проявитися небезпечні симптоми, наприклад, параліч лицьового нерва, глухота, запаморочення, менінгіт і тромбоз у бічній пазусі, лихоманка.
При мастоидите заушная область стає припухлой, а дитина скаржиться на біль при пальпації.
Дихальна і нервова системи дитини підлягають ураження при мастоидите. Стан дитини може бути млявим, так і гипервозбужденным – дитина може плакати, погано спати, апетит різко погіршується.
При хронічному мастоидите немає ніяких змін, крім нерегулярної біль за вухом. Зазвичай хронічна форма проходить досить безсимптомно, за винятком часу загострення захворювання, тоді біль стає багатшим.
Симптоми мастоидита можуть збігатися з клінічною картиною інших захворювань, тому необхідна диференціальна діагностика.
Діагноз ставиться після проведення:
- Аналізу симптоматики.
- Огляду і пальпації завушної області (на захворювання вказує припухлість і почервоніння шкіри за вухом).
- Отоскопії (огляду зовнішньої частини вуха і барабанної перетинки за допомогою отоскопа).
- Тимпанометрії (тесту, що визначає функціонування середнього вуха. Допомагає виявити будь-які зміни тиску в середньому вусі). Даний тест – важке випробування для дітей молодшого віку, тому що дитина повинна сидіти дуже тихо, не плакати, не говорити і не рухатися.
- Радіографії – метод діагностики за допомогою застосування радиографического барвника, що використовується для виявлення абсцесу під шкірою або визначення поширення інфекції в мозок.
- Аудіометрії – дослідження гостроти слуху за допомогою камертона, що проводиться для встановлення наявності або відсутності приглухуватості.
- Рентгенографії – показує запалені клітинки і руйнування кісткових стінок, утворюють заповнені повітрям стільники в соскоподібного порожнини.
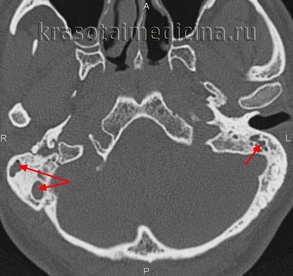
- Комп’ютерної томографії черепа – використовується для перегляду зображення поперечного перерізу по горизонталі і вертикалі. КТ показує детальні зображення будь-якої частини тіла, в тому числі кісток, м’язів, жиру і органів.
- Магнітно-резонансна томографія (МРТ) – діагностична процедура, яка використовує комбінацію великих магнітів, радіочастот та комп’ютерні технології для отримання детальних зображень органів та структур в організмі.
- Аналізу спинномозкової рідини (паркан ліквору для визначення наявності інфекції)
- Бактеріологічного посіву виділень з вуха – береться для визначення виду збудника.
Лікування мастоидита визначатися лікарем на основі віку дитини, загального стану здоров’я, історії хвороби, протяжності захворювання. Лікування проходить тільки в умовах стаціонарного спостереження.
Лікування мастоидита зазвичай вимагає госпіталізації та повної оцінки стану лікаря-отоларинголога. Дитині, у більшості випадків, призначають антибіотики через внутрішньовенний катетер. Доктор зобов’язаний переконатися, що хворий завершує свій курс антибіотиків, які вибираються в залежності від збудника.

У важких випадках необхідно хірургічне втручання, щоб злити рідину з середнього вуха.
Трубка поміщається для запобігання скупчення гнійної рідини, а також призначається відповідна терапії антибіотиками. При миринготомии інфекція, як правило, відступає легко. Трубка розміщується на період 6-12 місяців.
Якщо інфекція серйозна, лікар призначає мастоидэктомию – проводиться для видалення зараженої кістки за вухом. Втрата слуху може статися з причини важкої інфекції, особливо якщо присутні холестеатома.
Якщо інфекція продовжує поширюватися, незважаючи на лікування антибіотиками, можуть виникнути наступні ускладнення: сигмовидної тромбоз синуса – згусток у великій відні поруч з соскоподібного відростка, менінгіт, абсцес мозку – це скупчення гною та інфекції, яка може виникнути в головному мозку.
До профілактичних заходів належать такі:
- Підвищення рівня імунітету, особливо у тих дітей, у яких є хронічні захворювання.
- Раннє і повне лікування отиту, точне виконання рекомендацій лікаря.
- Спостереження і ведення лікування в одного лікаря. Це дозволяє лікарю оцінити ефективність лікування з плином часу. Він і в разі необхідності зможе скоригувати його.
Симптоми
Нетипові форми мастоидита
Крім типових форм захворювання, у медицині розрізняють нетипові форми мастоидита. До найпоширеніших форм відносяться:
- зигоматицит,
- верхівкові-шийний мастоїдит, має чотири підвиди,
- сквамит,
- петрозит.
Зигоматицит – це різновид мастоидита, при якому запальний процес поширюється на виличної відросток, виникає набряк вилиці в області перед вушною раковиною. Після набряку утворюється абсцес.
У дитячому віці можуть виникати «неправильні» форми зигоматицитов – абсцес, який не зачіпає клітини кореня скулового відростка. Так як у дітей добре розвинена лише печера, то у них часто розвивається антрит – запальний процес на слизовій оболонці антрума соскоподібного відростка. Раніше це захворювання призводило до високої дитячої смертності.
Сквамит – це гнійний процес, який зачіпає скроневу кістку.
У разі якщо запальний процес починається в пірамідної області скроневої кістки, виникає петрозит. До речі, розвиваються петрозиты повільно.
Захворювання органів слуху можуть закінчуватися повним одужанням хворого з припиненням болю і відновленням слуху. Але нерідко неадекватна терапія викликає розвиток різноманітних ускладнень.
Наприклад, мастоїдит являє собою одне з ускладнень отиту — здавалося б, банальне запалення середнього вуха.
Лікування мастоидита досить складне і часто буває хірургічним, а його симптоми можуть протікати у нетипових формах, чим ускладнюють постановку діагнозу.

Якщо доторкнутися область за вухами, можна виявити соскоподібний відросток, який являє собою кістковий виріст з порожниною всередині.
Остання має сполучення з середнім вухом, у зв’язку з чим протікають там процеси можуть відбиватися на стані скроневої кістки.
Також соскоподібний відросток відділяється невеликий тонкою пластинкою від черепної порожнини, і цим обумовлена небезпека мастоидита для здоров’я найважливішого органу.
- Також в залежності від зони ураження хвороба здатна бути лівосторонньої, правобічної, двостороннім. Якщо патологія розвивається самостійно, вона є первинною, якщо виникає на тлі інших захворювань — вторинною.
- Гострий мастоїдит частіше протікає спільно з гострим гнійним отитом, або діагностується після удаваного одужання. Він розвивається стадійно: спочатку проходить ексудативну, потім — деструктивну стадії. Хронічний мастоїдит виникає при переході легких форм гострої форми хвороби в уповільнене запалення при неадекватній терапії.
- Мастоїдит у дітей до 6 років іменується антритом. Остаточне формування соскоподібного відростка відбувається до 6 років, коли він знаходить анатомічна будова у вигляді гратчастої порожнини з внутрішніми перемичками. До цього віку на місці відростка є піднесення з печерою всередині (антрумом).
Причини мастоидита
Первинний мастоїдит можливий при травми, поранення, операції, забитті, переломі, коли інфекція потрапляє безпосередньо у вогнище запалення, що трапляється досить рідко.
- Більшість випадків захворювання пов’язані з проникненням бактерій з середнього вуха у соскоподібний відросток скроневої кістки, при цьому мастоїдит визнається ускладненням гнійного отиту і вважається вторинним.
- Також вторинна запальна патологія соскоподібного відростка можлива при сепсисі, коли інфекція поширюється гематогенним шляхом, при гнійному лімфаденіті, якщо бактерії проникають у кістку контактним шляхом з-за близькості знаходження лімфовузлів.
- Специфічні інфекції, такі, як сифіліс і туберкульоз, теж можуть провокувати розвиток вторинного інфекційного мастоидита.
Передумовами для появи мастоидита на тлі отитів є:
- знижений імунітет;
- наявність хронічних хвороб вуха та інших ЛОР-органів;
- грануляції в області середнього вуха;
- присутність бактерій з високою стійкістю до препаратів;
- неправильне лікування гострого гнійного отиту, в тому числі запізніле дренування барабанної порожнини; Дізнайтеся, як правильно лікувати хронічний гнійний середній отит
- пневматичний тип будови відростка (за кількістю переважають комірки, заповнені повітрям, над гніздами з рідиною);
- падіння резистентності організму на тлі цукрового діабету, інших соматичних хвороб.
При розвитку мастоидита спочатку, на ексудативної стадії, запалюється слизовий шар комірок соскоподібного відростка.
Із-за набряку отвори окремих осередків виявляються закритими від загальної печери і барабанної порожнини.
Так як порушується вентиляція, судини розширюються, їх стінки починають виділяти набряклу рідина (транссудат). Поступово рідина на тлі інфікування бактеріями стає гнійною.
На даній стадії хвороби при відсутності своєчасного лікування з’являється єдина порожнину з гноєм — емпієма.
Подальше протягом вже призводить до серйозних ускладнень, так як процес досягає мозкових оболонок.
Зазвичай хвороба виникає через 1-2 тижні з моменту початку отиту і переходу його в гнійну форму. Рідше мастоїдит з’являється одночасно з початком отиту або через 1-3 дні після травми. Симптоматика захворювання буває загальної та локальної. Серед загальних ознак зазначаються:
- слабкість;
- підвищення температури, особливо, якщо після отиту вона вже прийшла в норму;
- зниження працездатності;
- падіння апетиту;
- інші ознаки інтоксикації.
Місцеві ознаки:
- посилення гноєтечі з вуха, але часто на тлі порушення відтоку гною його витікання, навпаки, припиняється;
- біль у вусі, сосцевидном відростку;
- посилення болю вночі, охоплення нею всій половини голови з боку ураженого вуха;
- сильний біль при натискуванні на соскоподібний відросток;
- шум у вусі;
- зниження слуху, іноді виражене;
- почервоніння та набрякання шкіри за вухом;
- згладжування завушної складки;
- оттопыренность вуха вперед;
- іноді — припухлість шиї і болючість поворотів голови.
Слід зазначити, що на першій стадії захворювання майже не відрізняється по клінічній картині від гострого отиту, так як основні ознаки — це біль у вусі, підвищення температури тіла, головний біль, виділення з вуха і т. д.
Майже завжди гострий гнійний отит закінчується проривом перетинки (мимовільним, штучним) і дренуванням порожнини, але при цьому запальний процес при супутньому мастоидите продовжує набирати силу.
Гній стає густим, сливкообразным, заповнює всередині комірки соскоподібного відростка і утворює емпіему, що дає вже більш важку симптоматику.
Більш легким варіантом прорив гнійного вогнища є його спрямованість під шкіру, коли в області соскоподібного відростка з’являється велика припухлість і формування свища. У цьому випадку своєчасне, повноцінне лікування призводить до повного одужання без наслідків. Але поширення гною по інших напрямках веде до різноманітних ускладнень:
- в область внутрішнього вуха — до лабиринтиту і невриту слухового нерва; Читайте докладніше про запаленні внутрішнього вуха
- в виличної відросток — до флегмоні очниці, эндофтальмиту, панофтальмиту;
- в область межфасциального простору шиї — до флегмоні шиї, потім — до гнійного медиастиниту;
- у порожнину черепа — до менінгіту, енцефаліту, абсцесу мозку, тромбозу сигмовидного синуса;
- нерідко при мастоидите формується кілька шляхів відтоку гнійної рідини з важкими наслідками для людини.
Після проникнення інфекції в сигмовидный синус найчастіше розвивається сепсис і гостре порушення кровообігу головного мозку, і врятувати людину від загибелі в такій ситуації досить складно.

Атипові форми мастоидита являють собою найбільший ризик неправильної або уповільненою постановці діагнозу, проведення лікування та розвитку ускладнень. Поява такого типу патологій залежить від збудника, наприклад, його стійких до дії ліків форм, від стану імунної системи, від віку, будови скроневої кістки і т. д.
Основна відмінність атипових форм мастоидита — відсутність характерної клініки і характерна стадійність перебігу. Найчастіше у хворого не з’являється гній, болі у вухах не помітні, температура може залишатися нормальною.
Виділяються такі нетипові форми мастоидита:
- Верхівкові-шийковий мастоїдит, або абсцес Бецольда. Призводить до формування на шиї під соскоподібного відростка гнійного вогнища.
- Зигоматицит. Являє собою поразка скулового відростка скроневої кістки.
- Сквамит. Дане захворювання полягає в гнійному ураженні луски скроневої кістки.
- Петрозит. Така форма мастоидита охоплює піраміду скроневої кістки.
- Чителевский мастоїдит. Запалюються кутові комірки відростка, які стикаються з задньою черепною ямкою. Є дуже небезпечним захворюванням, так як загрожує ускладненнями з боку головного мозку.
- Сухий мастоїдит. У даному випадку запалення соскоподібного відростка проходить без виділення гною.
- Інші атипові форми, викликані слизовим стрептококом, актиномицетом, фузоспирохетозом. Можуть протікати змазано і приводити до розвитку хронічних форм хвороби.
Досвідчений лікар за характерною клініці і в ході огляду, збору анамнезу поставить діагноз вже на першому прийомі. Якщо форма патології атипова, то буде потрібно додаткове обстеження:
- отоскопія;
- аудіометрія;
- микроотоскопия;
- клінічний аналіз крові;
- юакисследование виділень з вуха;
- рентгенографія голови;
- КТ скроневої кістки;
- МРТ головного мозку;
- офтальмоскопія і т. д.
Зазвичай при отоскопії у хворого виявляється запалення барабанної перетинки, рясне відділення гною. Диференціювати хворобу потрібно з отитами, кістами та гнійними норицями в області вуха, з туберкульозними проявами. Якщо мастоїдит вже дав ускладнення може знадобитися екстрене хірургічне втручання.
Методи лікування
Діагностика
Діагностування мастоидита не завжди буває легким і іноді представляє труднощі навіть для лікарів з великим клінічним досвідом. При наявності таких ознак, як субпериостальный абсцес або фістула на сосцевидном відростку постановка діагнозу, здавалося б, повинна бути найбільш легкою, але насправді і тут можуть представлятися труднощі.
При обмеженому запаленні зовнішнього слухового проходу іноді запальний процес може з його стінок поширитися на м’які покриви соскоподібного відростка. У таких випадках позаду вуха виходить також згладжування зморшок і припухлість, а іноді і нагноєння, симулюють субпериостальный абсцес при мастоидите.
Бецольдовский мастоїдит можна змішати з глибоким шийним лімфаденітом. Головною відмінністю при мастоидите служить безпосередній перехід пухлини з верхівки соскоподібного відростка на шию.
З інших ознак звертають особливу увагу на западіння задньо-верхньої стінки, випинання барабанної перетинки з пролапсом слизової в задньо-верхньому сегменті і на кількість гною в пізньому періоді отиту, а також на пульсацію і стукіт в голові.
Там, де це можливо, вдаються до допоміжних прийомів, передусім, до рентгенографії. Значення цього методу зменшується тим обставиною, що просте запальне припухання слизової оболонки клітин соскоподібного відростка дає таку ж смытость контурів, як і захворювання кісткових перекладин.
У типових клінічних ситуаціях мастоїдит неважко діагностувати. Захворювання виявляється за допомогою зовнішнього огляду, пальпації та ендоскопії вушної раковини. Однак при атиповому розвитку хвороби необхідні додаткові дослідження: КТ, МРТ, рентгенографія.
Метод МРТ при мастоидите визначає локалізацію гнійних вогнищ, відтік з яких порушений. Методи візуалізації показують ступінь інтенсивності запальних процесів і виявляють деструктивні зміни в кістковій тканині.
Якщо лікарям невідомі збудники захворювання, проводиться бактеріальний посів гнійних виділень з вуха. Визначення точної різновиди хвороботворної мікрофлори необхідно для призначення цілеспрямованої лікарської терапії.

Прогноз при мастоидите не завжди сприятливий. Це захворювання викликає важкі ускладнення. Коли запалюються клітинки, відбувається і поразка сигмоподібного синуса. У подальшому розвиваються тромбофлебіт та флебіт.
Якщо гнійні маси потрапляють в певні місця на шиї, то це провокує гнійну форму мастоидита. Процес розвивається досить стрімко. Це провокує і інші ускладнення внутрішньочерепного типу.
Для цього необхідно вчасно виявити захворювання. Займається цим отоларинголог. Але є випадки, коли ситуація дуже складна і виявити захворювання важко, особливо якщо це атипова форма. Необхідно провести аудіометрію, отоскопію, вивчити завушний простір.
Так можна виявити запальні процеси. Якщо в барабанної перетинки виявлено отвір, то в цьому може бути причина кровотечі. Аудіометрія дозволяє виявити приглухуватість. Крім того, необхідно зробити ренгтенографию черепа, комп’ютерну томографію, МРТ та інше.
У першу чергу використовується консервативне лікування. Хворий обов’язково повинен дотримуватися постільного режиму. Необхідно забезпечити для нього спокій. Якщо є проблеми вуха, то призначаються препарати з протизапальними та протибактеріальної властивостями.
Лікування повинно допомогти усунути всі симптоми, які викликає запалення вуха. Призначається інтенсивна терапія медикаментами. Потрібно забезпечити відтік гнійних мас з середнього відділу вуха. Цей варіант допомагає на ранніх стадіях розвитку хвороби. Якщо вчасно не почати лікування, то не обійтися без хірургічного втручання.
Як правило, діагноз «мастоїдит» встановлюють, ґрунтуючись на історії хвороби пацієнта. При цьому враховуються перенесені патології вуха, проведена терапія, наявність/відсутність ускладнень; оцінюється порушення загального стану здоров’я.
Крім того, в постановці діагнозу не останню роль відіграють скарги пацієнта, огляд і пальпація області вуха, результати отоскопії, аудіометрії, лабораторні дослідження виділень з вуха, офтальмоскопія та біомікроскопія очей.
Комп’ютерна томографія – стандартний метод, за допомогою якого діагностують мастоїдит. Що це таке? Даний вид діагностики дозволяє чітко розглянути всі структури черепа і оцінити масштаби розвитку гнійних процесів та їх дальність від головного мозку і лицьового нерва.
Ця методика заснована на поетапному дослідженні структури будь-якого об’єкта – порівнюється ефект впливу рентгенівського випромінювання на відмінні по щільності тканини. Отримані дані піддаються складній комп’ютерній обробці.
наприклад, допомагає виявити нечітко помітні перегородки осередків в результаті запального процесу, що явно свідчить про розвиток мастоидита. Крім того, при підозрах на мастоїдит, проводять клінічний аналіз крові і гною з вуха на чутливість до антибіотиків.
Для того щоб поставити діагноз «мастоїдит», може знадобитися консультація не тільки отоларинголога, але і інших фахівців – невролога, стоматолога, офтальмолога, хірурга.
Діагноз мастоїдит ставиться комплексним дослідженням пацієнта. У нього включені наступні методи:
- Отоскопія – виявляє патологічні процеси, що відбуваються в барабанної перетинки.
- Дослідження слуху, аудіометрія.
- Рентген черепа (прицільний).
Ускладнення мастоидита потребують консультації фахівців:
- невролог;
- нейрохірург;
- офтальмолог.
Крім того проводять МРТ та КТ головного мозку.
Діагностувати явний мастоїдит не представляє складності. Більш важкою вважається діагностика нетипового типу захворювання, коли явних симптомів (набряк, нагноєння, болючість) не спостерігається.
Важливим методом дослідження хвороби є рентгенографія. А ось найбільш дієвими вважаються КТ і МРТ кісткових тканин скроневої області.
Лікар проводить огляд барабанної перетинки та області за вухом. Також можуть бути призначені аналізи крові. У цьому випадку, цікавить лікаря параметр — це ШОЕ. Ця характеристика може говорити про запальний процес в організмі і його інтенсивності.
Види верхівкові-шийного мастоидита
До верхівкові-шийного мастоидиту відносять:
- Бецольдовский мастоїдит – патологія, при якій гній поширюється в область грудино-ключично-соскоподібного м’яза, і в районі верхівки соскоподібного відростка виникає припухлість. Вогнище патології може бути непомітний на бічній проекції томографії скроневої кістки. Симптомом цієї форми мастоидита на початковій стадії є погана рухливість шиї.
- Мастоїдит Четелли – патологія, при якій гній проникає в задню поверхню соскоподібного відростка.
- Мастоїдит Муре – захворювання, при якому гній поширюється між м’язами шиї внаслідок запалення шийних лімфатичних вузлів, утворюється абсцес. При цьому спостерігається припухлість шиї, згодом можуть утворитися свищі.
- Мастоїдит Орлеанського – патологія, при якій в районі верхнього відділу грудино-ключично-соскоподібного м’яза утворюється набряк, з хворобливістю при натисканні. Однак при цьому не спостерігається виділення гною з вуха, на відміну від Бецольдовского мастоидита.
Наслідки
Найсерйознішими ускладненнями мастоидита є ураження лицьового нерва:
- виникає асиметрія обличчя,
- кут рота або очі опускається вниз,
- обличчя стає схожим на маску,
- віко погано закривається.
Другим небезпечним ускладненням мастоидита стає прорив гною в порожнину черепа з формуванням запалення мозкових оболонок або речовини мозку. При цьому виникають загальні симптоми інфекції:
- лихоманка із запальними змінами в крові,
- порушення сну і апетиту,
- нудота і навіть блювота,
- відмова від їжі через біль у вусі.
Як лікувати мастоїдит?
Лікування симптомів мастоидита призначається тільки після повного обстеження хворого. Воно буває консервативне і хірургічне, яке проводиться в умовах стаціонару (у ЛОР-відділенні).
Часткове, але явне поліпшення стану хворого є доброю ознакою і дозволяє подовжити та оптимізувати консервативне лікування. У тому випадку якщо протягом 24 годин після початку лікування основні симптоми хвороби, такі як температура, біль в завушній області при пальпації і реактивні явища в області вуха, не зменшаться, пацієнт направляється на хірургічне лікування.
Лікування
Симптоми
Терапія цього небезпечного і підступного захворювання в клініці міжнародного рівня «Клініка До 31» проводиться комплексно. Як лікувати мастоїдит, вирішує лікар на підставі діагнозу і клінічної картини. На I етапі лікування практикуються лікарські методи – внутрішньовенне введення антибіотиків, обробка вогнищ протизапальними і антисептичними препаратами. Найчастіше лікування проводиться в стаціонарі.
Оскільки на початковій стадії потрібно діяти швидко, призначаються антибіотики широкого спектру дії. Після отримання результатів бактеріологічного посіву медикаментозна терапія коригується – підбирають більш специфічні антибіотичні препарати.
Якщо лікування протимікробними препаратами не дає швидкого результату, проводять хірургічне втручання – розтин і очищення гнійних порожнин. Найбільш поширена процедура – проникнення в проблемну зону через невеликий надріз в барабанної перетинки і введення спеціальної трубки для відтоку гною.
Виникнення ускладнень вимагає більш серйозних операцій. Руйнування кісткової структури і тканинний некроз – показання для проведення мастоидэктомии – висічення частини кістки разом з порожниною, яка містить гнійний ексудат.
Інші безумовні показання для проведення термінового хірургічного втручання:
- Ускладнення в прилеглих зонах;
- Утворення глибоких гнійних вогнищ;
- Розвиток запалення скроневої кістки;
- Парези і паралічі лицьового нерва.
Для дітей до 3 років характерно відсутність розвиненого соскоподібного відростка, у зв’язку з чим операція дещо відрізняється і іменується «антротомия». Радикальні втручання виконуються під загальним ендотрахеальний наркозом (препарати проникають в кров через тонку трубку, введену в органи дихання), або під локальною анестезією (у дорослих).

Після операції продовжують лікування антибіотиками, паралельно проводиться вітамінна і загальнозміцнююча терапія. Рана щодня обробляється антисептиками, в подальшому застосовуються ранозагоювальні місцеві препарати.
Кращий спосіб запобігти мастоїдит – своєчасно лікувати запальні захворювання середнього вуха. Якщо проведена грамотна антибактеріальна терапія в клінічних умовах, то подальшого поширення інфекції не відбудеться.
При виникненні перших симптомів отиту і мастоидита слід негайно звернутися в ММЦ «Клініка До 31», де в найкоротші терміни буде проведена адекватна і ефективна терапія. Професійні лікарі настійно радять не займатися самолікуванням при запальних та інфекційних хворобах, а звертатися за кваліфікованою і грамотної допомогою.
Зазвичай патологію можна зупинити на початковій стадії. У разі якщо людина негайно звертається за допомогою до фахівця і отримує своєчасну терапію (застосування антибіотиків), поширення інфекції припиняється і можна вважати, що у пацієнта в майбутньому не виникнуть ускладнення, які викликає мастоїдит.
Лікування виконують за наступною схемою. Спочатку застосовуються антибіотики широкого спектру дії. Далі, згідно з результатами лабораторних досліджень біологічного матеріалу, призначаються специфічні антибіотики, які надають вузьконаправлене дію саме на виявлені аеробні та анаеробні бактерії.
Повне усунення інфекції може вимагати тривалої антибактеріальної терапії. Це пов’язано з тим, що антибіотики з працею проникають в структури соскоподібного відростка. До того ж не виключені рецидиви хвороби, може виникнути хронічний мастоїдит.
На початковому етапі лікування мастоидита при відсутності ускладнюючих факторів у комплексі із проведеною терапією може призначатися фізіотерапія (УВЧ, СВЧ). Хороший лікувальний ефект роблять компреси на заушную область. До речі, вони можуть бути як зігріваючими, так і холодними.
Широке застосування антибіотиків у розвинених країнах різко скоротило захворюваність мастоідитом і призвело до переваги консервативних методів лікування над хірургічними.
Часто медикаментозна терапія не дає поліпшень у стані здоров’я пацієнта. У таких випадках вдаються до хірургічного лікування патологічних процесів, які викликає мастоїдит. Операція, однак, не скасовує паралельного консервативного лікування.
Серед хірургічних методів найбільш поширеними є миринготомия – розріз барабанної перетинки – та введення тимпаностомической трубки, що забезпечує виведення гною з вуха. По закінченні певного періоду часу – від двох тижнів до кількох місяців – трубка мимовільно усувається з барабанної перетинки, а надріз природно заживає.
Антромастоидотомия – оперативне втручання, при якому розкривають антрум і трепанують соскоподібний відросток. Метою хірургії в даному випадку є повне видалення уражених тканин. Нерідкі випадки, коли при оперативному втручанні видаляють весь відросток разом з його верхівкою.
Така маніпуляція називається мастоидэктомией. Вона досить складна і вдаються до неї при виникненні ускладнень або при відсутності позитивної динаміки в лікуванні. Дітям до трьох років виконують антротомию – маніпуляції на антруме, так як у них ще погано розвинений соскоподібний відросток.
Лікування мастоидита по суті може бути двояким: консервативним і хірургічним.
Консервативне лікування мастоидита нескладно. Воно полягає, насамперед, у турботі про достатній відтік гною з середнього вуха, для чого потрібен своєчасний, іноді і повторний, парацентез, видалення пролапсов слизової оболонки та ін.
Також показані внутрішньовенні ін’єкції антибіотиків. Спочатку використовуються антибіотики широкого спектру дії (цефтріаксон та ін). Після визначення збудника призначаються більш специфічні антибіотики.
При незадовільних результатах консервативної терапії показане хірургічне втручання.
Операцію на сосцевидном відростку – просту трепанацію (операція, вироблена в гострих випадках, називається простою трепанацією, в хронічних – радикальної) проводять під місцевим і під загальним наркозом.
У всіх випадках, де тільки це можливо, намагаються оперувати під місцевою анестезією, так як остання пов’язана з мінімальним ризиком для хворого в післяопераційному періоді не спостерігаються неприємні явища, що мають місце після загального наркозу і кровотеча під час операції незначно.
Крім того, хворий, перебуваючи в повній свідомості, може сам вчасно попередити лікаря про подергиваниях обличчя або про появу лабіринтових симптомів. Загальний наркоз повинен бути застосовуємо тільки в дуже лякливих і нервових хворих, які не погоджуються ні за що на місцеву анестезію. Крім того, місцева анестезія застосовується при наявності субпериостальных абсцесів.
Мастоїдит дуже небезпечний для життя, тому лікувати його треба негайно, як тільки лікар поставив цей діагноз.
На ексудативному етапі, коли ще не відбувається руйнування кістки і не порушується відтік гнійного вмісту, показано лікування лікарськими препаратами в умовах стаціонару. В цьому разі призначаються антибіотики, які володіють широким спектром дії, наприклад, пеніциліни або цефалоспорини, і антибіотики місцевої дії.
Показання до проведення операції (антромастоидотомия):
- Внутрішньочерепні ускладнення;
- Абсцес;
- Лабіринтит;
- Прорив гною через соскоподібний відросток;
- Отогенний парез і так далі.
Антромастоидотомия проводиться для видалення гною з соскоподібного відростка і дренування барабанної порожнини. Після операції людині виписують антибіотики, вітаміни, імуномодулятори, місцеве лікування ультрафіолетом. Рану кожен день перев’язують, видаляють з неї турунди, сушать і промивають антисептиком.
Після антромастоидотомии можуть виникнути наступні ускладнення:
- Протягом гною з вуха.
- Зміни слухового сприйняття.
- Запалення оболонок мозку, абсцес.
- Тимчасове запаморочення.
- Тимчасова втрата смакових відчуттів з одного боку мови.
- Пошкодження лицьового нерва, параліч однієї сторони обличчя.
Прогноз
Мастоїдит латентний, хронічний викликає важкі наслідки рідко. До таких наслідків відносять:
- абцесс Чителли, Бецольда;
- менінгіт;
- порушення слуху;
- поразка нерва (лицьового).
Прогноз мастоидита може бути різним: повне мимовільне лікування і одужання після прийняття певних терапевтичних заходів. Крім того, мастоїдит може вести до виникнення ускладнень з боку внутрішнього вуха і вмісту черепної коробки.
Інформація, представлена в даній статті, призначена виключно для ознайомлення і не може замінити професійну консультацію та кваліфіковану медичну допомогу. При найменшій підозрі про наявність даного захворювання обов’язково проконсультуйтеся з лікарем!
Лікування мастоидита можливо при невідкладному лікарського втручання. Тому важливе значення має раннє звертання за медичною допомогою. Але оскільки антибіотики з працею проникають в структури соскоподібного відростка, інфекція піддається лікуванню з працею;
не виключені рецидиви. Можливі різні ускладнення, пов’язані з поширенням інфекції на сусідні анатомічні утворення. Ймовірно розвиток порушень слуху, запалення лабіринту внутрішнього вуха (лабиринтита), що викликає запаморочення; дзвін у вухах може прогресувати разом з туговухістю, ускладнюючи спілкування.
Інфекція може вражати лицевий нерв (черепної нерв VII), приводячи до слабкості або паралічу лицьової мускулатури на ураженій стороні. Серед інших ускладнень зустрічаються абсцес Бецольда (скупчення гною під грудино-ключично-соскоподібного м’язом шиї), абсцес Чителли, субпериостальный (поднадкостнічний) абсцес соскоподібного відростка скроневої кістки, в типовому випадку приводить до зміщення і выступанию вушної раковини.
Важкі ускладнення мають місце при поширенні інфекції на тканини мозку. До таких ускладнень належать менінгіт (запалення оболонок мозку), епідуральний абсцес (між кістками черепа і твердою мозковою оболонкою), тромбоз синусів твердої мозкової оболонки, абсцес головного мозку.
Профілактика
При відсутності або недостатності лікування інфекція переходить на сусідні тканини, що може призводити до різних ускладнень, наприклад, до порушення слуху, лабиринтиту і як наслідок – до запаморочення, приглухуватості.
Інфекція може вражати лицьовий нерв та викликати параліч м’язів обличчя. Мастоїдит нерідко є причиною субпериостального абсцесу, пусковим механізмом у розвитку зигоматицита, сквамита, петрозита, отогенного парезу.
Завдання і лікаря, і пацієнта – не допустити розвиток мастоидита. Профілактика захворювання тісно пов’язана з профілактикою абсцесу середнього вуха – патології з назвою «отит». Мастоїдит – захворювання, яке не можна запускати.
Не останню роль тут відіграє і імунітет людини, його здатність чинити опір інфекції. Важливо доглядати за порожниною носа і рота, не допускати запальних захворювань носоглотки. Допомагає в профілактиці мастоидита рання діагностика хвороб вуха і правильна антибактеріальна терапія.
У статті висвітлена інформація про те, що ж таке мастоїдит; симптоми, лікування хвороби та її профілактика. Проте хочеться відзначити, що матеріал, викладений вище, є суто ознайомчим. Тому при будь-яких підозрах на захворювання необхідно негайно звертатися за медичною допомогою до фахівця.
Мастоїдит правосторонній і лівосторонній попереджається оперативною діагностикою запалення, відбувається в середньому вусі, а також правильним лікуванням отитів, проведення паранцетеза у своєчасному порядку.
Правильна терапія хвороб носоглотки, оперативна ліквідація інфекційних вогнищ також виступає профілактикою мастоидита. Важливе значення надається підвищенню імунітету. Це досягається правильним харчуванням і здоровим способом життя.
Наслідки захворювання дуже небезпечні:
- Приглухуватість і повна втрата слуху;
- Внутрішньочерепні захворювання – менінгіт, абсцеси мозку, черепних порожнин;
- Параліч мускулатури обличчя.
Прогноз лікування напряму залежить від його своєчасності. Чим раніше почати лікування, тим менше ризик розвитку ускладнень і супутніх захворювань. Найбільш доцільний варіант при виявленні перших симптомів захворювання – звернення в клініку професійного рівня. В Міжнародному Медичному Центрі «Клініка До 31» прийом хворих ведеться без вихідних.
Мастоїдит може вплинути на роботу лицьового нерва. В результаті розвиваються такі ускладнення як:
- Асиметрія обличчя.
- Опущення краю губ або очей.
- Неможливість зімкнути повіки.
До інших можливих ускладнень мастоидита відноситься запалення мозку, скупчення там рідини, абсцес, енцефаліт. Коли мікроорганізми поширюються по крові, виникає сепсис. Частинки гною можуть проникати в область шиї, в очні яблука, в скроневу, тім’яну і потиличну область.
Мастоїдит характерний для дітей, людей похилого віку, хворих на цукровий діабет і ВІЛ-інфекцією.

У дитячому віці соскоподібний відросток є єдиною порожниною без будь-яких перемичок. Туди дуже просто може потрапити інфекція, і в результаті виникне отит середнього вуха. Маленькі діти найбільш схильні до різних простудних захворювань, які теж можуть послужити початком мастоидита.
У діабетиків і людей старшого віку втрачається чутливість, тому не завжди можна помітити симптоми мастоидита. Саме ці групи осіб схильні до всіляких ускладнень. Найчастіше вони приймають різні знеболюючі лікарські препарати, що робить діагностику мастоидита більш складною.
Попередити мастоїдит можна своєчасною діагностикою отиту середнього вуха. Крім цього до профілактичних заходів належать:
- Правильне і своєчасне лікування запальних захворювань ЛОР-органів.
- Своєчасне усунення всіх вогнищ інфекції в організмі.
- Підвищення імунітету.
- Правильне харчування.
- Загартовування.
- Регулярні помірні фізичні навантаження.
Симптоми
Профілактичні заходи при мастоидите включають:
- Помірні фізичні навантаження,
- Ліквідація в організмі вогнищ хронічної інфекції,
- Стимуляція імунітету,
- Правильне, здорове харчування,
- Повноцінний сон,
- Ведення здорового способу життя,
- Профілактика захворювань, ускладненням яких є мастоїдит — отити, туберкульоз, цукровий діабет, риніти, синусити.
- Своєчасні діагностика і лікування запальних захворювань середнього вуха.