Відмінність синуситів від гаймориту
Гайморит є приватним випадком синуситу. Фактично у кожної людини є ряд придаткових пазух – це верхньощелепні, лобові, клиноподібні і гратчасті порожнини. Вони покриті всередині слизовими структурами і об’єднані між собою канальної схемою.
Із-за сильного запалення, викликаного тим чи іншим чинником, слизова оболонка набрякає і перекриває струм рідини в пазухах, після чого тут починаються застійні явища, розмножуються бактерії, утворюється гній і т. д.
https://www.youtube.com/watch?v=zeZAhkSfKMA
Такого роду поразку верхньощелепних пазух зазвичай називається гайморитом (в окремих випадках одонтогенным). Якщо є проблеми з лобовими порожнинами, то лікар може діагностувати фронтит. Застійні процеси в гратчастих локалізаціях – етмоїдити, ну а набряк слизової у клиноподібної пазух – це сфеноидит.
Різновиди захворювання
В основі класифікації гострого та хронічного синуситу лежать певні критерії. До них відносяться:
- форма патології: экссудативное запалення слизової оболонки органа нюху, подразделяющееся на гнійний, катаральний, серозний вид синуситу, а також продуктивне полипозное або пристеночно-гиперпластическое ураження носа і пазух біля нього;
- етіологічний фактор, який призводить до розвитку алергічного, бактеріального, вірусного, медикаментозного, грибкового, травматичного синуситу або змішаної його різновиди;
- місце локалізації, визначає діагностування гаймориту, риніту, сфеноидита, фронтиту, етмоїдиту.
Гайморит являє собою синусит у дорослих пацієнтів, дітей, майбутніх матусь у період вагітності, що зачіпають верхньощелепні пазухи. При розвитку запального процесу слизової оболонки в ділянці клиноподібної кістки патологія називається сфеноидитом.
При одночасному запаленні порожнин носа і навколоносових пазух встановлюється діагноз риносинусит. У разі розвитку патології на одній половині обличчя отоларингологи хвороба називають геминосинуситом.
А одночасне запалення всіх синусів стає причиною діагностування пансинусита. У медичній термінології ще існує поняття «параназальный синусит», яке вважається загальною назвою лор-захворювання при ураженні будь-яких видів приносових пазух.
В результаті інтубації трахеї, проведенні процедур назогастрального зондування і носових тампонад може розвиватися ще один різновид патології, що зумовлює появу затемнених ділянок в області навколоносових пазух на тлі запального процесу інфекційної природи, підтвердженої результатами клінічних досліджень крові та бактеріального посіву.
Це — нозокомиальный синусит. З таким видом патології найчастіше стикаються пацієнти реанімаційних відділень, у яких більше 3-4 днів в носовій порожнині знаходиться чужорідне тіло у вигляді трубки, зонда, тампонів.
Нозокомиальный синусит ще називають внутрішньолікарняних лор-захворюванням, що з’являється після проведення лікувальних процедур в стінах медичного закладу. Всі види хвороби можуть мати легку, середню і важку ступінь розвитку патології, визначальну діагностичні заходи та ефективне лікування.
Щоб почати лікування патологічного вогнища в пазухах носа, потрібно знати, що це за хвороба. Всі види синуситів можуть викликати віруси, бактерії, грибки або алергени. Часто стає наслідком ГРВІ, грипу, ангіни. Причому симптоми бактеріального типу хвороби тривають довше, чим при вірусному зараженні.
Причиною хвороби синусит може стати тривала чи не долеченный нежить. Провокуючими факторами виступають знижений імунітет, сухий і брудне повітря.
Класифікація синуситів:
- Гайморит називають запалення пазух носа з поширенням інфекції до верхнещелепними зонам.
- Фронтит являє собою патологічний процес, що протікає в придаткових пазухах носа лобової частини.
- При этмоидите запалюються осередку гратчастого лабіринту.
- Запальний процес при сфеноидите локалізується в ділянці клиноподібної пазухи.
Найчастіше запальні процеси протікають в гайморових пазухах, рідше уражається клиноподібна область. До інших причин синуситу відносять:
- анатомічні аномалії у будові носових проходів;
- у носа синусит розвивається внаслідок травм і ударів;
- затяжний риніт (частіше гіпертрофічна різновид);
- пазухи можуть запалюватися з-за поліпів;
- запалення і розростання аденоїдів;
- переохолодження;
- неправильне лікування зубів;
- порушення в роботі імунної системи.
Як довго проявляються симптоми хвороби, залежить від різновиду хвороби пазух. Запалення приносових пазух в гострій стадії, що може тривати до двох місяців. Після цього настає одужання, або хвороба переходить в хронічну стадію.
Досить часто діагностується вазомоторний синусит. Його поява пов’язана з порушенням роботи нервових закінчень. Як розпізнати хворобу, є відмінні ознаки. Симптомами запалення пазух носа є закладеність носа, в результаті чого порушено дихання, відчуття сухості в носовій порожнині. Пацієнта турбує слабкість, сонливість, він стає дратівливим.
Причиною розвитку вазомоторной форми стають віруси, але не виключена поява на тлі алергії, стресів, гормональних змін в організмі.
Виділяють ще одонтогенную форму захворювання, яка розвивається з-за хворого зуба – маляра. У патологічному процесі беруть участь гайморові пазухи. Зрозуміти проблему можна за такими ознаками синуситу у дорослих:
- Почервоніння і ниючий біль щоки з одного боку щоки.
- Закладеність носа.
- Виділення гнійного слизу з різким, неприємним запахом.
- Біль у зубах верхньої половини щелепи.
Риногенних синусит стає наслідком хронічного нежитю, кору, грипу. Біль щоках і щелепи з’являється з обох сторін.
Іноді хвороба може протікати безсимптомно, у цьому випадку діагностують латентний синусит. Відсутність симптомів призводить до пізнього виявлення проблеми в пазухах.
Причини розвитку патології
Одна з головних і основних причин практично всіх синуситів – це недолікований або запущений риніт. Крім цього, часто розвитку хвороби сприяють алергії, наявність в організмі ГРЗ, ін.. Додатковими негативними факторами прийняти вважати хронічні риніти, зубні захворювання, присутність порожнинних поліпів, аденоїди, а також придбані або природжені проблеми з носовими перегородками.
Синусит, фото якого завжди можна побачити в інтернеті на спеціальних медичних сайтах, може розвиватися під впливом різних факторів. До них відносяться:
- вплив широкого спектру патогенних мікроорганізмів, серед яких відзначають гемофильную паличку з сімейства бактерій Pasteurellaceae, пневмококи, стафілококи, стрептококи, а також інфікування вірусами, анаеробами, грибами;
- вроджені або набуті зміни анатомічної будови органа нюху;
- ускладнення після хірургічних втручань, пластичних операцій, інтубації трахеї;
- деформація структури порожнин носа і гіпертрофія його епітелію;
- висока частота проведення назогастрального зондування і носових тампонад;
- поліпи і аденоїди, наявність яких призводить до появи синуситу, лікування якого передбачає їх видалення, проблем з диханням, розвитку патологій з мозковим кровообігом;
- вплив алергенів на слизову оболонку носових порожнин;
- шкідливі умови праці, пов’язані з наявністю хімічних, токсичних, отруйних речовин на робочих місцях;
- відсутність своєчасного лікування алергічного риніту, діатезу, гіпотиреозу, цукрового діабету, микозной інфекції;
- зниження функцій захисних сил організму пацієнта;
- застуда, грип, ГРЗ, ускладнені розвитком патогенної мікрофлори на слизовій оболонці порожнин органу нюху;
- переохолодження організму в осінньо-зимовий період, на робочих місцях в холодну пору року при не дотриманні температурного режиму в приміщеннях;
- використання стероїдів для збільшення м’язової маси атлетів;
- пристрасть до куріння;
- проведення неякісної екстракції твердих тканин ротової порожнини, що створює сприятливі умови для інфікування слизової оболонки навколоносових пазух і розвитку в порожнинах носа патогенної мікрофлори;
- муковісцидоз та інші види хвороб генетичного характеру, розвиток яких призводить до підвищення в’язкості секрету.
В результаті дії окремо взятих негативних факторів, що провокують розвиток хвороби синусит, або їх поєднання близько 10% населення земної кулі стикаються з патологією носа.
Основною причиною розвитку захворювання є застій секрету в носових пазухах. Згодом порушується дренаж, при цьому створюються сприятливі умови для існування хвороботворних мікроорганізмів.
Один з факторів розвитку патології – викривлення носової перегородкиПризводять до виникнення хвороби фактори:
- деформація внутриносовых структур. Часто на цей процес впливає гіпертрофічний риніт (хронічна патологія, при якій розростається кісткова тканина і слизові оболонки). Також причиною може бути викривлення носової перегородки, що виникає в результаті травм. Іноді деформація є вродженою;
- вірусні захворювання. Слизова оболонка носа реагує на впровадження вірусних агентів підвищеної набряком, а залози, розташовані в ній, починають виробляти надмірну кількість секрету, який стає густим і заповнює ходи між порожниною носа і синусами;
- бактеріальні інфекції. Найчастіше спочатку у пацієнта виникає вірусне захворювання, а в заповнених секретом пазухах створюються сприятливі умови для розвитку хвороботворних бактерій;
- грибкова інфекція. До грибкових синуситів призводить нераціональне використання антибіотиків, при якому порушується мікрофлора, і створюються оптимальні умови для розвитку хвороботворних грибів;
- переохолодження або вплив хімічних речовин. Передумовою для розвитку запалення може стати часте потрапляння хімічних речовин на слизові оболонки носа або тривале вдихання холодного повітря;
- вазомоторний риніт. Зазвичай він з’являється внаслідок алергічної реакції, синусит розвивається в результаті приєднання інфекції;
- хронічний періодонтит або ороантральный свищ. Патологія може виникнути при видаленні зубів або неправильної пломбуванню, коли матеріал потрапляє в гайморові пазухи і сприяє розвитку запального процесу.
Ознаки хвороби

Симптоми синуситу у дорослих, які важко не помітити:
- біль у різних відділах голови;
- підйом температури;
- слабкість;
- носова порожнина набрякає і утруднюється дихання;
- виділення з носа, найчастіше коричнево-жовтого кольору;
- почервоніння і набряк м’яких тканин;
- зниження або повна втрата нюху.
Прояви хронічної стадії хвороби наступають через 5-6 тижнів у тому випадку, якщо гостра стадія не була долечена або не було підібрано правильне лікування. Фаза загострення може змінюватися ремісією.
Ознаки синуситу у хронічній стадії відрізняються появою постійного кашлю, кон’юнктивіту, часті болі в голові. Спостерігається набряклість і почервоніння всього носа, верхньої частини щік, повік. Дуже часто загострення хронічної форми хвороби протікає без температури і виділень з носа, що може свідчити про небезпечний стан.
Якою може бути синусит і як його лікувати? Симптоми синуситу також залежать від різновиду діагностичної синуситу.
- Гайморит проявляється високим підйомом температури тіла, болю концентруються в лицьовій частині, біль посилюється при доторканні до будь навколоносовій частини або при нахилах голови вперед. Дихання через ніс порушується. Можуть спостерігатися густі, коричневі виділення з ніздрі ураженої сторони.
- При фронтиті біль може проявлятися в лобовій частині голови і посилюється при натисканні. Біль може поширюватися на орбіти очей, при цьому вона нерегулярна, найчастіше ниючого характеру. Почервоніння і набряк слизової призводить до порушення носового дихання. Ще одним відмітним ознакою синуситу у дорослих даного виду є зниження гостроти зору та розвиток хвороб очей. Температура може триматися на позначці 38 градусів.
- Неприємні, хворобливі відчуття в перенісся з’являються при этмоидите. Температури може і не бути. Знижується нюх, спостерігаються сіро-коричневі виділення з носа, помітна почервоніння та набряк очей, перенісся. Носове дихання утруднене.
- Визначити сфеноидит можна болю, яка гостро відчувається в потиличної та тім’яної області голови. Даний вид синуситів характеризується утрудненим диханням, підвищенням температури тіла і часто призводить до хвороб очей.
Всі види синуситів не можна залишати без уваги. Пацієнта, у якої вперше виникли неприємні симптоми, може хвилювати питання, який лікар лікує синусит. В першу чергу діагностування проводить отоларинголог, але може знадобитися допомога окуліста.
Вплив збудників синуситу, симптоми і лікування якого мають свої особливості, призводить до розвитку патологічного стану носа і пазух біля нього. Інші зміни органа нюху також зумовлюють появу хвороби. У перелік основних симптомів захворювання носа синуситу внесені:
- вироблення великої кількості слизу в порожнині синусів, яка може мати білястий, коричневий, зелений і жовтий відтінок;
- погіршення самопочуття пацієнта і його швидка стомлюваність;
- зниження нюху і апетиту;
- підвищення показника теплового стану тіла пацієнта, значення якого може змінюватись в межах від 37,2 ºС до 39ºС;
- закладеність органу нюху і поява гугнявості в голосі хворої людини;
- поява проблем зі сном, внаслідок порушень з носовим диханням;
- головні болі різної інтенсивності, підвищуються при нахилах вперед;
- неприємний запах з носоглотки;
- сльозотеча, чхання, поява кашлю;
- сухість епітелію порожнини органу нюху.
Причини синуситу обумовлюють клінічну картину перебігу захворювання, особливості проведення діагностичних заходів та лікування. Своєчасне звернення за допомогою до отоларинголога є запорукою якнайшвидшого одужання пацієнтів, а також виключення ризику розвитку серйозних ускладнень, які можуть стати причиною інвалідності або смерті.
Симптоми синуситу у дорослих можуть відрізнятися. Різниця залежить від того, яка саме носова пазуха вражена.
Гайморит
При гаймориті у пацієнта виявляються такі ознаки захворювання, як:
- больові відчуття, що локалізуються в області чола, верхньощелепної пазухи, кореня носа і виличної кістки. Їх вираженість зростає при нахилах голови або при натисненні;
- головний біль різної інтенсивності, що посилюється у вечірні години;
- закладеність носа, нежить і утруднення носового дихання;
- виділення з носових ходів, спочатку вони рідкі і серозні, а по мірі прогресування патології стають зеленими і каламутними;
- підвищення температури тіла і озноб;
- сльозотеча;
- загальні симптоми інтоксикації.
При гострій формі захворювання ознаки виражені яскраво, температура тримається протягом тривалого періоду, а при хронічному перебігу симптоми гаймориту майже відсутні. У пацієнта в цьому випадку можуть спостерігатися поодинокі головні болі, що супроводжуються відчуттям тиску за очима. Іноді з’являється кашель у нічні години або кератит.
Етмоїдит
Запалення виникає в області гратчастого лабіринту і характеризується наступними симптомами:
- сильні больові відчуття в області кореня носа і перенісся;
- головні болі;
- утруднення носового дихання і порушення нюху;
- підвищення температури тіла;
- залучення в процес очного яблука, набряк повік і випинання очі, що видно навіть на фото пацієнтів.
Сфеноидит

Основні симптоми сфеноидита:
- біль, що локалізується в області потилиці, тімені або очниці;
- головний біль, що відчувається всередині голови;
- погане самопочуття, озноб, запаморочення.
Часто хвороба протікає приховано, і її симптоми виражені неяскраво. При хронічній формі захворювання в патологічний процес втягуються зорові нерви, і у хворого погіршується зір. Ізольований сфеноидит діагностується дуже рідко, в більшості випадків він поєднується з этмоидитом.
Фронтит
Фронтит вважається однією з найбільш важких форм захворювання. Його характеризують такі ознаки:
- інтенсивні больові відчуття в області чола або очниць, які посилюються в ранкові години. Після того, як вміст пазух виходить назовні, вони зменшуються;
- підвищення температури тіла до високих цифр;
- утруднення носового дихання, з носа виділяється серозне вміст;
- припухлість верхнього століття (в деяких випадках).
Якщо хвороба переходить у хронічну форму, можливе утворення поліпів, свищів або некроз кісткової тканини.
Симптоми хвороби
Гострий синусит має яскраво виражену симптоматику. Якщо ви самостійно діагностували у себе ряд нижченаведених ознак хвороби – обов’язково починайте лікування і зверніться до ЛОР-лікаря.
Класичними і найбільш типовими симптомами захворювання є:
- Тривалий затяжний нежить, часто з гнійними виділеннями зеленого або жовтого кольору, іноді зі згустками крові.
- Постійна закладеність носа, періодично «пробивающая» в одній з ніздрею по черзі.
- Сильний сухий кашель ближче до вечора і вночі (якщо тільки у вас цей симптом, то це, мабуть, наслідок хронічного бронхіту, а не синуситу).
- Потужне виділення соплів слизової структури вранці, загальна сухість носоглотки.
- Висока температура (в разі гострих синуситів) або субфебрильна лихоманка (постійна температура тіла в районі 37 градусів, при хронічних гайморитах).
- Часткова або повна втрата нюху.
- Швидка стомлюваність, нездужання, втрата апетиту та інші форми загальної інтоксикації організму.
- Набряклість обличчя, особливо проявляється в районі уражених пазух.
- Підвищена чутливість лицьової частини голови.
- Головний біль з локалізацією в області основи носа і під очима (гайморити), в районі лоба і над переніссям (фронтити), безпосередньо в переніссі, на лобі і позаду очних яблук (етмоїдити), а також на потилиці і у верхній частині лоба (сфеноидиты). Больові відчуття посилюються і втрачають локалізацію при нахилах голови вперед і в сторони, а також при середніх і сильних фізичних навантаженнях.
Вищенаведені «дорослі» симптоми синуситу у дітей зазвичай виражені в більш яскравій формі. Справа в тому, що у дитини гайморові пазухи повністю формуються тільки до 8-9 років. Невеликий до цього періоду, радіус соустий між окремими пазухами, провокує часту їх закупорку.
У дошкільнят, найчастіше діагностують етмоїдит і фронтит, а в окремих випадках – полисинусит, коли ураженими виявляються частину або навіть всі внутрішні порожнини: при цьому, найбільш «забиті» слизом і гноєм гратчасті і гайморові пазухи, менш «завантажені» лобові і клиновидні.
Оскільки у дітей до 8-9 років імунітет не завжди працює стабільно, то температура у міру розвитку хвороби може залишатися нормальною. Перші тривожні симптоми – це гнійні виділення з носа і сухий непродуктивний кашель, що виявляється у вечірній і нічний час більше десяти днів поспіль.
Гострий синусит проходить з яскраво вираженими симптомами. Хронічний синусит може протікати стерто, непомітно. На відміну від дітей і підлітків у дорослих симптоми виражені дещо слабше, деякі зовсім відсутні. Тому захворювання часто залишається непоміченим, не лікується і переходить в хронічну форму.
З перших днів захворювання відмічається закладеність носа, гугнявість голосу. Закладеність може бути як постійною, так і змінною – то з одного, то з іншого боку носа.
Нежить
Турбує більше 7 днів. На початку захворювання виділення прозоро-слизові, слизово-гнійні, мізерні. Потім їх стає більше, вони набувають жовтий, зелений колір, стають густими, важко відокремлюваними.
Нежиттю відрізняється фронтит і гайморит. При сфеноидите і этмоидите слизу з носа витікає мало, вона може стікати по задній стінці глотки або відсутні.
Зниження нюху – це характерна ознака синуситу. Різко порушується нюх при сфеноидите. Також людина може скаржитися на відчуття неприємного запаху.
На початку захворювання в пазусі і носа з’являються неприємні відчуття, які поступово наростають і переходять в біль. Біль цей ниючий, пульсуючий, розпирає, може віддавати в вухо, щоку, очі й зуби.
- При фронтиті турбує біль в області чола.
- При этмоидите – на очному дні, в глибині перенісся, нерідко захворювання протікає з болем без чіткої локалізації.
- При сфеноидите – нічна головний біль в середині голови, може віддавати в потилицю, скроню чи тім’я.
- Гайморит турбує з боків від крил носа, часто біль віддає у верхню щелепу, зуби.
Якщо в запальний процес втягуються кілька пазух, то біль втрачає певну локалізацію, і людина відчуває головний біль.
- при натисканні пальцем в проекції пазухи;
- при лікарських процедурах в порожнині носа;
- при нахилі голови вперед;
- при кашлі і чханні.
Біль не купірується знеболюючими препаратами. Відзначається деяке поліпшення, затихання болю, коли починає виходити гній.
Загальні симптоми
Гострий синусит може протікати з підйомом температури до високих цифр. При загостренні хронічного процесу температури зазвичай немає або вона не перевищує 37,7 °С. Висока температура поряд з болями і нежиттю проявляється нездужанням, слабкістю і втомою. Люди відмовляються від їжі, ходять сонні вдень, погано сплять вночі.
А також:
- При алергічному синуситі турбує чхання та сльозотеча.
- Якщо слиз стікає по задній стінці глотки, червоніє і болить горло; у нічний час, вранці може з’явитися рефлекторне покашлювання.
- При сфеноидите людина скаржиться на поганий сон, погіршення пам’яті, дратівливість. Може погіршуватися зір, з’явитися роздвоєння в очах. При односторонньому сфеноидите відзначається одностороннє запалення задньої стінки глотки.
- Гайморит і фронтит дають припухлість в проекції пазухи.
Чим небезпечний синусит
Якщо відсутнє належне лікування, то розвиваються ускладнення. Ускладнення можуть бути орбітальні та внутрішньочерепні. Орбітальні ускладнення характеризуються тим, що інфекція поширюється не тільки в сусідні органи, але і потрапляє в кров або головний мозок. У разі потрапляння хвороботворних мікроорганізмів у кров можливий летальний результат.
Інфекція може потрапляти до органів зору, викликаючи розвиток флегмони або абсцесу. У результаті знижується гострота зору, з’являється біль в очницях, може навіть бути зміщення очного яблука. З’являється набряклість навколо очей і зміна кольору шкіри.
Небезпечними вважаються внутрішньочерепні ускладнення. Такі ускладнення синуситу призводять до менінгіту, енцефаліту, абсцесів. Стан пацієнта різко погіршується. Турбує сильний біль у голові, запаморочення, слабкість, приєднується нудота і навіть блювота.
До інших ускладнень синуситу відносять розвиток ангіни, бронхіту, пневмонії, трахеїту, тонзиліту, отиту, фарингіту. Хворий може втратити зір і слух, негативно впливає хвороба на нервову і кровоносну систему. Тому так важливо звернутися до лікаря для отримання кваліфікованої допомоги.
Можливі ускладнення
Зі стрімким формуванням гострих форм синуситу або ж неспішної прогресією хронічної його форми, в патологічний процес можуть залучатися не тільки носові пазухи, але і інші внутрішньочерепні структури, включаючи очі.
В результаті значного скупчення гнійних мас, на тлі динамічної бактеріальної інфекції, можуть формуватися флегмони і абсцеси очного яблука, а тиск рідини часто повністю або частково позбавляє пацієнта зору.
Досить часто при запущених формах хвороби, лікарі діагностують у людини тромбози кавернозного синуса, в результаті яких інфекція стрімко поширюється по організму і викликає сепсис. Синусити також негативно впливають на стан нижніх дихальних шляхів, можуть зачіпати кісткові особові структури і приводити до ураження кісткової тканини та формування остеомієліту.
При відсутності лікування або неправильно підібраної терапії у пацієнта можуть спостерігатися наступні ускладнення:
- остеомієліт: патологія виникає у випадках, якщо процес поширюється вглиб і вражає кісткову тканину;
- втрата зору: при ураженні зорового органу порушується рухливість ока, розвивається екзофтальм, у важких випадках можлива повна втрата зору;
- арахноїдит або менінгіт: виникають при ураженні клиноподібної кістки і гратчастої пазухи;
- отит: розвиток цього ускладнення можливе при поширенні процесу на область вух;
- абсцес мозку: може розвинутися як наслідок фронтиту.
В деяких випадках без своєчасно наданої медичної допомоги ускладнення синуситу можуть призвести до летального результату.
Чим лікувати синусит у дорослих, домашні рецепти
Скільки лікується запалення в пазухах носа, в більшості випадків залежить від того, на якому етапі почалася терапія. Можна умовно виділити два етапи, як швидко вилікувати синусит. Перший етап в середньому триває 7-10 днів.
За цей час потрібно усунути збудника хвороби, припинити його розповсюдження і зняти гострі прояви. На другому етапі лікування синуситу спрямоване на усунення залишкових симптомів, таких як закладеність носа, біль в голові, нежить.
Лікування синуситу у дорослих може проводитися консервативними методами, але у важких випадках показано оперативне втручання. При гнійних процесах роблять прокол, а при виявленні поліпів розкривають пазуху з метою видалення наросту.
- При бактеріальному перебігу хвороби лікування у дорослих проводиться за допомогою антибіотиків системної дії: Амоксиклав, Азитроміцин, Цефуроксим. Місцево призначають Изофру, Биопарокс, Полидексу.
- Для підвищення захисних сил організму і зняття запалення призначають протизапальні, імуномодулюючі засоби: Віферон, Кагоцел.
- Для зняття набряку і зменшення інших ознак алергії рекомендовано приймати антигістамінні препарати: Кларитин, Цетрин, Зіртек.
- Для розрідження накопичилася слизу і якнайшвидшого його виведення назовні рекомендовано пити такі препарати, як Синуфорте, Синупрет. Вони додатково знижують запалення і полегшують носове дихання.
- Обов’язково необхідна допомога судинозвужувальних крапель в ніс: Отривин, Снуп, Назол.
- При високій температурі слід прийняти жарознижуючі ліки: Найз, Парацетамол, Ибуклин.
Як тільки температура знизиться, і перестане виділятися з носа гнійна слиз, можна підключити додаткові методи лікування. Ще одними способами, як вилікувати синусит, є прогрівання, кварцування порожнини носа, УВЧ, магнітотерапія.
Результативним способом лікування запалення пазух носа вважається промивання методом «Зозуля», яке проводиться в кабінеті отоларинголога. Завдяки створенню вакууму за допомогою приладів вдається витягнути все гнійний вміст з пазух носа.
Самостійно можна зробити краплі для носа з соку часнику, цибулі, буряка, моркви, каланхое, алое. Їх бактерицидні властивості допомагають припинити поширення мікробів, підвищити місцевий імунітет, розрідити слиз, усунути набряк і полегшити дихання. Закапувати отримані краплі можна 3-4 рази в день.
Як позбутися від синуситу допоможе ще один перевірений засіб народної медицини на основі бурякового соку і меду. Можна робити відвар із звіробою, квітів липи і ромашки. Отримані краплі можна закапувати в ніс по половині піпетки 3-4 рази на добу.
При синуситі допомагають впоратися з симптомами парові інгаляції. Можна використовувати паровий інгалятор або просто скористатися каструлею, накрившись рушником. Корисно дихати над парою картоплі, відвару з ромашки з додаванням ефірних олій або лаврового листа.
Зняти запалення пазух носа, набряк і полегшити дихання, допомагає масаж. Круговими рухами рекомендовано впливати на область надбрівних дуг, вилиць, перенісся, внутрішньої частини ока, крил носа.
Обов’язково проводити промивання носа сольовими розчинами, які можна приготувати самостійно. У кип’ячену теплу воду додають морську сіль і кілька крапель йоду. Можна купити в аптеці готовий розчин, наприклад, Аквалор або Аквамаріс.
Лікування запального процесу біляносових пазух
Лікування синуситу будь-якої форми і складності повинно проводитися виключно під наглядом ЛОР-лікаря. Особливу увагу в даному контексті, варто приділяти дітям – у них хвороба виникає і прогресує набагато швидше, чим у дорослих, а висока ймовірність виникнення дуже серйозних ускладнень ставить під загрозу потенційне здоров’я і навіть життя малюка.
При лікуванні синуситу в обов’язковому порядку застосовуються місцеві краплі або спреї, які мають судинозвужувальну дію – це ліки на основі нафазолина, ксилометазоліну і оксиметазоліну (Тизин, Санорин, Нафтизин, Назол).
Після тимчасового вивільнення блокади носових каналів, в ніс закопуються комбіновані ліки (Изофра, Полидекса, Протаргол), що включають у себе кілька активних компонентів (антибактеріальний, протизапальний, протиалергічний, підсушує).
При консервативній терапії практично завжди застосовуються антибіотики широкого спектру дії, як правило, на основі цефалоспоринів, макролідів і пеніцилінів (Цефтріаксон, Аугментин, Амоксиклав).
В якості додаткової терапії і зменшення сили запальних процесів, при відповідному призначення хворий може приймати антигістамінні препарати – Телфаст, Кларитин, Діазолін, Лоратадин, а в окремих складних випадках і кортикостероїди (Преднізолон).
Обов’язково під час лікування, регулярно вживати пробіотики – це знизить негативний вплив ліків на печінку і відновить мікрофлору кишечника. Після подолання гострої фази захворювання і настання фази ремісії, ЛОР-лікар призначає хворому фізіотерапевтичні процедури – УВЧ і УФО придаткових пазух і порожнини носа, а також диадинамическую обробку струмами.
На пізніх стадіях синуситу, класичні промивання носа в домашніх або ж стаціонарних умовах (так звана «зозуля») не допомагають вивести з порожнин пазух застояне гній: в даному випадку, призначає дуже неприємна, болюча, але ефективна процедура, звана пункцією і проколом.
Тут лікар пробиває через ніс м’які хрящові тканини спеціальним хірургічним шпателем? Потім вводить катетер, підключає до системи шприц з дезінфікуючим розчином і вводить рідина під тиском, таким чином, через ніс, вимиваючи весь накопичений в порожнині гній. При необхідності, катетер залишають у порожнині і повторюють процедуру вимивання кілька разів.
При сфеноидитах, прямим шляхом через ніс неможливо дістатися до клиноподібної пазухи – тоді лікар при відсутності протипоказань, робить резекцію на задньому кінці середньої раковини, вставляючи катетер в порожнину.

Лікування синуситу у дитини необхідно починати з оперативного і правильного встановлення діагнозу. Краще і якісніше всього це зробити на комплексному обстеженні у ЛОР-лікаря, який проведе не тільки візуальний первинний огляд, але і направить чадо на додаткові аналізи, в тому числі рентген, УЗД, диафаноскопию і комп’ютерну томографію.
Основні фактори успіху лікування – швидке усунення інфекції, нормалізація вентиляції пазух і відтоку слизу з порожнин, ослаблення і нейтралізація основних симптомів.
Курс нейтралізації симптоматики, крім застосування болезаспокійливих, протизапальних і жарознижуючих препаратів, прийняття теплих ванн і напоїв, по можливості постільний режим без відвідування вулиці, особливо в холодну пору року, а також інгаляції з ефірними есенціями евкаліпта, м’яти і хвойних компонентів.
Відновлювати нормальне носове дихання бажано за допомогою щадних судинозвужувальних ліків з невеликим дозуванням – це Назол Кидс, Ринофлуимуцил, ДляНос, тощо. Обов’язково варто організувати промивання носа за допомогою спеціально розроблених соляних ізотонічних розчинів – це системи Аква Маріс, Аквалор і т. д.
Призначати антибіотики для лікування синуситу у дітей, має виключно ЛОР-спеціаліст. У середньому, протибактеріальний курс триває від 9 до 14 днів. Якщо у малюка синусит у першій, найбільш легкій стадії, то оптимальними будуть антибіотики на основі цефалоспоринів або макролідів – це препарати Кларитроміцин, Азитроміцин, Спіраміцин, а також Цефтриаксон, Цефепім, Цефтобипрол.
При гострих синуситах у дітей, гарною альтернативою класичним антибіотиків широкого спектра дії, можуть стати комплексні локальні препарати місцевого застосування на основі антибіотиків, антигістамінних компонентів та антисептичних ліків – зокрема, це Полидекса і Биопарокс.
При сильному ураженні придаткових пазух інфекцією і гноєм і безуспішності медикаментозного лікування, лікар-спеціаліст зазвичай призначає микрохирургическую операцію – пряму пункцію пазух. В даному випадку маленькому пацієнту дають сильне знеболювальне і роблять операцію під загальним наркозом.
Після проколу, лікар за допомогою фізрозчину і створеного шприцом тиску, примусово вимиває вміст порожнини, яке виходить через ніс. При гострій необхідності, даний захід повторюють кілька разів, встановивши попередньо катетер, щоб наступного разу не пробивати повторно м’які тканини носової перегородки.

В окремих випадках навіть при дуже занедбаному синуситі, допомагає безопераційний метод переміщення рідини, в народі званий «кукушкою». Тут маленькому пацієнту вводиться в одну ніздрю фізрозчин у великій кількості, який м’яко «видавлює» накопичилася слиз і направляє її з другого вихідного паралельному носового каналу. Таких процедур зазвичай потрібно як мінімум 4-5 сеансів.
Народна мудрість і стародавня медицина зберегла десятки рецептів, які допомагають впоратися з синуситів. Нижче будуть позначені найдієвіші з них.
- Парові інгаляції з додаванням ефірних олій або ж екстрактів сосни, евкаліпта, чайного дерева, м’яти (досить кілька крапель) – дані засоби очищають і дезінфікують порожнини в пазухах, а також знімають набряклість слизових оболонок.
- Примочки з суміші прополісу і соку золотого вуса. Для їх приготування візьміть кілька кульок прополісу, розмочіть їх у суміші води та соку золотого вуса (50 на 50), трохи підігрійте на повільному вогні, закладіть в 2-3 щільних шматочка марлі, складеної в декілька шарів і додайте засіб район уражених пазух. Тримайте примочки 30-40 хвилин, здійснюйте вищезазначені дії не більше одного разу на добу, близько 10-12 днів.
- Класична фітотерапія. Візьміть дві столові ложки череди, 1 ст. ложку шишок хмелю, і три чайні ложки материнки. Проваріть відвар протягом 10 хвилин, додайте одну чайну ложку висушеної полину, розмішайте, відцідити, охолодити і пийте натщесерце два рази в день по 100 мг. засоби протягом двох тижнів.
- Чайний гриб. При синуситах народна медицина рекомендує використовувати в якості засобу для промивання носа, настій чайного гриба.
- Дитячий відвар. Дітям у старовину при синуситах готували наступне засіб: по одній чайній ложці кори осики, бруньки сосни, пижма, плодів коріандру, золотушника і едельвейса, необхідно заварити в 2 літрах води, після чого відсудити і профільтрувати настоянку. Приймати внутрішньо три рази в день по 100 мл, а також закапувати в ніс по дві краплі, також три рази на день. Курс лікування – два тижні.
Синусит, як захворювання, засноване на запаленні навколоносових пазух, вимагає негайного лікування, спрямованого на усунення симптомів хвороби, поліпшення самопочуття пацієнтів, ліквідацію патології.
До основним способам лікування синуситу, причини виникнення якого визначають його різновиди, відносяться:
- медикаментозна терапія, що включає призначення назальних крапель, спреїв, лікарських препаратів з протизапальною, протинабряковою, антигістамінну, протиалергічну, антибактеріальну дію, муколітиків, сульфаніламідів, нестероїдних і гомеопатичних аптечних засобів;
- проведення фізіотерапевтичних процедур, перелік яких внесено УВЧ і НВЧ -терапія, прогрівання теплом синьої лампи, інгаляції, ультрафонофорез;
- застосування рецептів народної медицини;
- промивання пазух за допомогою синус-катетерів і пункція гайморових порожнин з установкою дренажних тонких трубок для відтоку гною, регулярного промивання ураженої зони носа і введення ліків.
За результатами лікування лікар визначає, скільки необхідно проводити фізіотерапевтичних процедур і промивання порожнин органу нюху. При неефективності використання методів консервативної терапії для усунення синуситу, операція є єдиним ефективним способом вирішення проблеми.
Серед варіантів хірургічного втручання виділяють гайморотомію, этмоидотомию, фронтотомию, сфеноидотомию, лазерну деструкцію поліпів, синопластику. Пацієнтам також необхідно знати, наскільки важлива профілактика синуситів, що надає можливість уникнути діагностування серйозної патології носа.
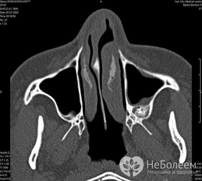
Лікар встановлює діагноз на підставі клінічної картини. До додаткових методів дослідження відноситься рентген навколоносових пазух у двох проекціях. Найбільш інформативною є комп’ютерна томографія.
Діагностику і лікування хвороби проводить лікар-отоларингологЯк лікувати синусит? Терапія повинна бути комплексною. Чим раніше воно розпочато, тим більш ефективна. Препарати, дозування і тривалість застосування визначає лікар після очної консультації. Легкі форми захворювання можна лікувати в домашніх умовах.
При тяжкому перебігу патології пацієнта госпіталізують і призначають дезінтоксикаційну, дегідратаційних і симптоматичну терапію. В особливо важких випадках при гострому синуситі проводять пункцію ураженої пазухи.
Профілактичні заходи
Профілактика синуситу включається в себе наступні принципи:
- своєчасне і правильне лікування запальних процесів у носоглотці;
- в якості попередження хвороби рекомендовано регулярне відвідування стоматолога і очищення ротової порожнини від інфекції;
- проведення заходів, спрямованих на зміцнення імунітету;
- не допускати загострення алергічних проявів;
- слід не допускати переохолодження;
- рекомендовано збалансоване і правильне харчування.
Профілактика дозволить уникнути наслідків запалення в пазухах носа. Для запобігання синуситів рекомендовано приймати імуномодулятори (Левамізол, Иммуновит), вітамінно-мінеральні комплекси. Дотримуючи всі ці рекомендації, можна забути про синуситах назавжди.